碘缺乏病

碘
作为机体的必需微量元素之一,主要参与甲状腺激素的合成。甲状腺激素具有促进骨骼、大脑等多个器官的生长发育,增强新陈代谢等多种重要作用。
🔹 针对处在生长发育关键时期的8-10岁儿童,充足的甲状腺激素是保证儿童合成足量蛋白质,促进骨骼、牙齿快速生长及神经系统发育和成熟的重要前提条件,因此儿童对碘缺乏更加敏感。
🔹 儿童如果缺乏碘,可能导致甲状腺肿大、甲状腺功能低下、智力缺陷、体魄发育落后等多种疾病,部分疾病甚至可能伴随终生,无法治愈。

根据中国居民膳食营养素参考摄入量推荐,8-10岁儿童每日碘的推荐摄入量为90ug、成人120ug、孕妇230ug、母乳240ug。但蔬菜、肉蛋、鱼虾或谷物提供的碘仅占14.6-27.9%,也就是说居民不能通过外环境和一般食物摄入足量的碘。因此通过食盐加碘来降低居民碘缺乏的风险。

怎么样科学补碘?
重点补碘人群
重点补碘人群是孕龄期妇女、孕妇、产妇、0至2岁的婴幼儿、学龄儿童。因此,碘营养不够的孕期和哺乳期妇女,还可适当吃些海带、紫菜、虾皮等含碘量高的食物。
不宜补碘人群
☀非缺碘地区居民,如沿海等地属于高碘地区,已取消强制补碘;日摄入海鱼达750g的渔民,也不需要补碘。
☀甲亢患者不需吃碘盐,补碘会加剧病情。
☀甲状腺炎患者不能吃碘盐,补碘会加重炎症。
购买或使用碘盐关注事项
✔购买食盐时应关注是否有碘盐标志,购买后应避免碘盐受热而挥发;
✔应购买在有效期内和密封的小包装碘盐,随吃随买;
✔最好在汤、菜或饮食即将做好,或已经做好后再添加碘盐;
✔避免用碘盐爆锅、长炖和久煮。
小不点补碘关注事项
🔹 虽然一般来说8-10岁儿童一直会保持碘营养水平良好的态势,但碘缺乏病的预防需要保持长期适量的碘摄入,切不可盲目脱碘。
🔹 由于8-10岁儿童生长发育需要碘,对碘缺乏较为敏感,在日常膳食中,如无其他禁忌疾病也可以适当食用紫菜、海带等海产品,以保证碘的充足摄入。
包虫病
又称棘球蚴病,是棘球绦虫的幼虫感染人体引起的寄生虫病。人通过食入被虫卵污染的食物、水等方式感染而患上包虫病。包虫病对人体健康的危害非常严重。其中,泡型包虫病又被称为“虫癌”,患者如得不到治疗,10年病死率达90%以上。这也是农牧区群众因病致贫、因病返贫的主要原因之一。
包虫病的主要传染源是犬类。牧民宰杀了家畜之后,会把内脏投喂给狗。狗会因食用含包虫包囊的脏器而造成感染,它们的排泄物则会对水、土壤和植物造成污。当牛羊等家畜动物食入被棘球绦虫的卵污染的草和水后,虫卵又会在肝脏、肺脏等器官内发育形成包囊。这就形成了终末宿主和中间宿主之间的自然循环。

包虫病是绦虫中危害较为严重的—种。寄生人体的部位以肝脏最多,约占病例的70%,肺脏占20%,其他部位10%

怎么预防包虫病?
1、不喂食和接触狗,及时处理狗粪。现进入了冬宰,不再吃生肉和生的内脏

2、接触狗后及饭前要用肥皂和清洁水洗手。这是预防包虫病的重要的行为。

3、给狗定期驱虫是控制包虫病传播的有效方法。“犬犬投药、月月驱虫”是非常有效的措施。

4、患有包虫病的牛羊脏器要烧毁或深埋不能喂狗。
地方性氟中毒
什么是地方性氟中毒?
地方性氟中毒是在特定的地理环境中发生的一种地球化学性疾病,在自然条件下,人们长期生活在高氟环境中,主要通过饮水、空气或食物等介质,摄入过量氟而导致的全身慢性蓄积性中毒。青海省主要有饮水型、饮茶型两种类型地方性氟中毒流行。
儿童牙齿发育过程中摄入过量的氟会引起氟斑牙:

可疑:上中切齿唇面有白色薄雾状或条状白色横纹

极轻度:上中切齿唇面有条状白色斑纹,占牙面1/4以下。

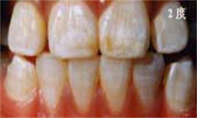
轻度:白色条纹或斑块,占牙面1/2以下,可出现浅棕色着色。

中度:上中切齿或全口牙整个牙面出现白垩,失去光泽,有明显着色。有的出现小点状凹坑。

重度:全口牙面呈白垩,出现散在坑凹状缺损或融合成片状缺损,有较重的着色。
怎么预防地方性氟中毒?
地方性氟中毒目前,尚无有效的治疗手段,关键在于预防。减少机体对氟的摄入,增加对氟的排泄,改善生活条件,增加机体抵抗力。
饮水型氟中毒病区,以改换饮用低氟水,如打建新的低氟水源井、引用低氟的江、河、湖、泉水以及物理化学方法除氟。主要的除氟剂有硫酸铝、氯化铝、碱式氯化铝、骨炭、羟基磷灰石等。饮茶型地氟病的防治主要是供应低氟砖茶为主,同时提倡喝淡茶水、多喝牛奶、多吃新鲜蔬菜、多食用汤菜,减少高氟砖茶水的摄量,改善营养也不失为有效的防治方法。

来源:中国疾控中心、青海疾控
本期编辑:李文鹏
责任编辑:马鹏程
审核:赵贵江