补牙的具体步骤有哪些?相信想要补牙的人都想了解清楚。一般来说,补牙补的是因为龋齿造成的龋洞,所以这里就说龋洞造成的补牙步骤具体有哪些。补牙的具体步骤缺一不可,要去补牙的朋友关注了。

在前期签好字,医生准备好器械材料之后,就进入补牙阶段了,补牙分为三大步骤:
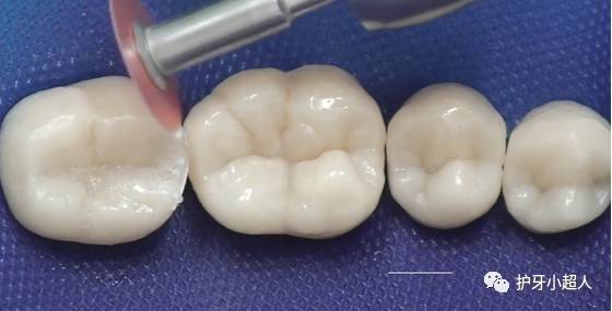
补牙第一步:窝洞制备
窝洞指采用牙体外科手术方法去除龋坏组织,并按要求备成洞形。这个阶段,医生会先用仪器将龋坏发黑的这一部分全部磨除,抠出龋洞内的腐败物。如果龋洞很深的话,则会继续把洞口扩大。窝洞制备一般遵循以下原则。
1、除净病变组织,否则会造成继发龋;
2、保护牙髓和健康牙齿组织;
3、建立良好的固位力和抗力形,以避免充填体折断,脱落和不密和造成继发龋。

补牙第二步:充填
在制备好窝洞之后,就会隔离唾液了。医生会用材料将要补的牙进行隔离。调配充填材料填入窝洞中,即时雕刻外形,要关注除去超过咬合面过高的部分,以免造成医源性的咬合创伤。邻面不能留有充填物的悬突,以防刺激牙龈引起炎症。
既然是补牙的充填材料,应当具有无毒、耐磨、有抗压强度、充填后体积不改变、与窝洞密合、不被唾液腐蚀或溶解、操作简便及色泽美观等特点。但目前尚无完全符合上述性能的材料,只能依据牙齿缺损部位、受力大小和美观的要求等选用较为合宜的充填材料。一般在后牙多用银汞合金,在前牙,特别是影响美观的部位多选用树脂类。

补牙第三步:清楚残渣
做完前面两个步骤,补牙也就差不多完成了,这一步骤属于收尾工作了。这个环节,牙科医师会对牙面进行抛光及对附着在牙体周围的残渣进行清理。

做到这三个步骤,补牙就算是完成了。这三个步骤缺一不可,想要去补牙的朋友可以大概的记一下。
护牙小超人 资讯栏目
保护口腔健康,正在进行时