子宫肌瘤不罕见,但如果肚子里装了一个比西瓜还大的肌瘤,足足有5个婴儿那么重,这可就太少见了!
近日,广州55岁王阿姨因肚子异常隆起,被家人带来广州医科大学附属第三医院就诊。医生一检查竟发现,王阿姨肚子里长了一个巨大的子宫肌瘤,直径足有40cm,比西瓜还大,占满了整个盆腹腔。
巨大肌瘤严重影响了王阿姨吃饭、排便,由于肿物压迫影响血液循环,王阿姨下肢静脉还出现了血栓。面对巨大罕见肿物,广医三院妇科、麻醉科、泌尿外科、普外科、放射科等多学科组成“拆弹部队”,成功拆除重达33斤的子宫肌瘤。

手术前,患者王阿姨腹部膨隆如小丘。
广州阿姨肚子隆起如小丘,竟藏巨大肌瘤
55岁的王阿姨因为巨大的肚子时常被人调笑“要生”了。王阿姨身材苗条、四肢纤细,但唯独肚子大得吓人。
王阿姨说,其实肚子从四五年前就开始变大,前两年以为是长胖肚子有赘肉,直到近一年来,肚子越来越夸张,甚至影响到吃饭、排便。“有时候坐在那里就不停地放屁,但排便又有点困难”王阿姨尴尬地说道。与越长越大的肚子相反的是,这几年,她却越来越瘦了。
意识到有问题,家人赶紧带着王阿姨来到广医三院看病。随后,检查结果震惊了家人——王阿姨的子宫长了一个巨大的肿物,占满了整个盆腹腔!医生初步判断可能是子宫肌瘤。

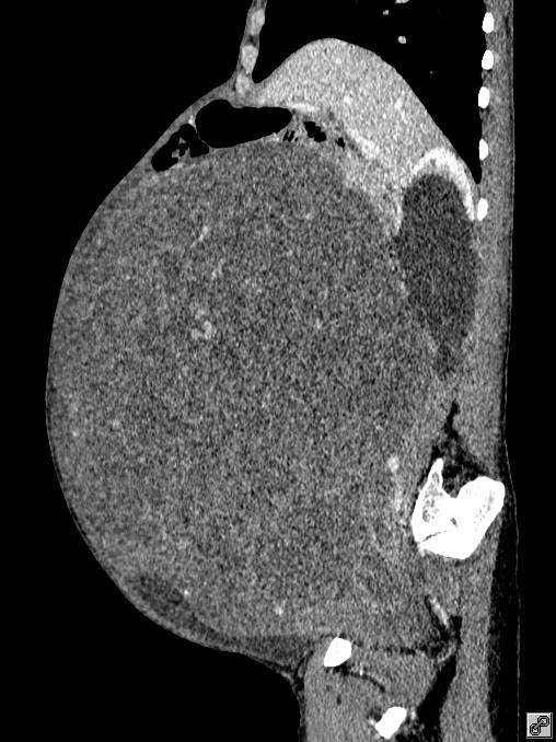
手术前患者的CT影像图。
“子宫肌瘤很常见,但如此巨大的肌瘤比较少见”接诊的妇科主任生秀杰介绍:“巨型肿物在盆腔内生长,不停‘吸取’身体的营养,让身体长期处于消耗态势,导致了患者越来越消瘦。此外,肿物也压迫影响了盆腹腔多个脏器,如果继续发展,很可能进一步膈肌上抬,患者呼吸都会受限。”
“这颗‘巨型*弹炸**’必须尽快手术移除!”生秀杰立即将患者安排入院。
情况复杂手术风险高,稍有不慎可能大出血
巨大的肿物不得不切除,但手术风险和复杂程度却不低。首先,患者的肿物巨大,不能完全排除恶性肿瘤的可能性,如果是恶性的,手术范围、转移、出血等问题接踵而至,甚至 可能无法切除肿物,仅能行开关腹手术。
另一方面,巨大的肿物压迫了肾脏、肠管、输尿管多个脏器,“而且能长到这么大,说明这个肿物的供血非常丰富,手术中稍有不慎可能会引起大出血或其他副损伤”生秀杰介绍。手术前还发现,患者下肢静脉血栓形成,术后发生血栓脱落风险很高,甚至有可能发生肺栓塞等致命并发症。
此外,切除肿物后腹压骤降,下腔静脉压力突然解除,全身血流动力学将会发生剧烈变化,对麻醉医生也是很大的考验。
为了将手术风险降到最低,手术前,妇科、麻醉科、泌尿外科、影像科、普外科、血管外科等多学科会诊,评估手术及麻醉风险,预判术中可能出现的各种困难和意外,在多学科的讨论下制定了详细的手术方案。
多学科专家联合完整切除33斤巨型肌瘤
做好了完全准备,6月10日,王阿姨终于迎来了手术。
因肿物太过于巨大,输尿管受压移位,术前泌尿外科进行协助以防损伤输尿管。随后,妇科生秀杰打开王阿姨的腹盆腔。如术前所预料的,王阿姨的巨大肌瘤充满整个盆腹腔,肌瘤与周围脏器关系复杂,肠管包围环绕这肿瘤,输尿管从肿瘤上穿行而过,腹盆腔的脏器都被巨大肿瘤挤压改变了正常的位置。
供应肿瘤的营养血管非常粗大,手术稍有不慎可能引起大出血。巨大的肿瘤遮挡了视野,医生甚至很难看清腹盆腔的重要结构,进一步加剧了手术难度。
幸运的是,凭借充分的术前准备和多学科专家的密切配合,终于完整切除了肿物。医护人员对切下来的肿物进行测量发现,这个巨型的肌瘤,最长处直径超过40cm,竟然重达16.5kg(33斤左右),相当于5个足月胎儿重量的总和!这么一个巨型“*弹炸**”,幸亏顺利取出了。

术后测量:巨大肌瘤有16.4kg(33斤),有5个足月婴儿那么重。
手术成功后,王阿姨的术后恢复也面临巨大挑战。随着巨大肌瘤的移除,腹腔压力降低,腹腔及下肢静脉重头开放,大量血液涌向静脉系统,导致血压降低,血流动力学不稳定,加之术前已发现下肢静脉血栓,发生肺栓塞的风险很高。
因此术后医护人员也丝毫不敢松懈。心电监护、视察生命体征、维持水电酸碱平衡、营养能量支持、抗凝、伤口护理,全都安排上了,近日王阿姨已康复出院。
取下的巨型肿瘤经过病理检查,查出是良性,这让医护人员和王阿姨一家都松了一口气。
王阿姨平安出院后,特意写来感谢信,向医护人员致谢。

王阿姨给广医三院医护人员写的感谢信。
提醒:女性定期体检,发现异常尽快就医
子宫肌瘤并非什么可怕的疾病,它是女性生殖器肿瘤中最常见的良性肿瘤,其发生与女性性激素相关,常见于30~50岁的女性。子宫肌瘤一般无明显症状,绝大多数不会发生恶变,在绝经之后萎缩或消退,像王阿姨绝经后发现这么大的子宫肌瘤实属罕见。因此生秀杰提醒,无论育龄期还是绝经后的女性体检都不容忽视,尽量做到“及时发现、及时治疗”。
图:广医三院提供
来源:南方都市报
编辑:悠客