江苏省徐州市肘关节僵硬的患者问:
高主任您好!我今年50岁了。在工地上干瓦工垒墙20多年了。经常拿瓦刀磕砖头。最近一年多,发现我的肘关节越来越僵硬,伸不直,也屈不下去,关节还疼痛,肘关节伸屈活动范围越来越小、越来越严重。听说您是中国医药教育协会肩肘运动医学委员会的常务委员,还是华裔骨科学会骨科康复专业委员会委员,在肘关节方面很有经验,并且俺村上有人就是您给治好的,所以我特地来找您看看我这个肘关节怎么办?怎么治疗?还有康复的希望么?

上图:高绪仁医学博士、博士后、副主任医师、副教授在为肘关节僵硬、伸不直、屈不下来的患者进行肘关节体魄检查。
高绪仁(徐州医科大学附属医院暨徐州二院骨科关节外科医疗组组长、医学博士、博士后、副主任医师、副教授)回答:

您好!您的肘关节还有康复的希望!
我们徐州1000万人口。其中有很多和您一样肘关节伸屈不行的患者。去年习*平近**主席两次到徐州视察进一步推进了我们徐州的快速发展。我们徐州发展过程中需要很多建筑工人。建筑工人师傅中有很多人来找我看肘关节问题。很多人都是由于肘关节骨性关节炎、肘关节游离体、肘关节骨质增生导致的肘关节僵硬。

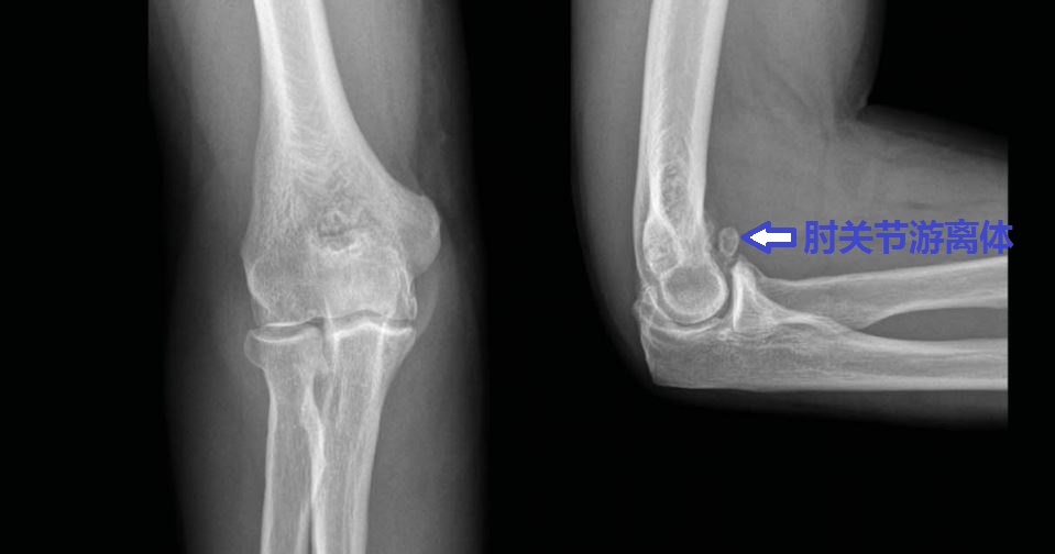
您的肘关节为什么会有肘关节骨性关节炎、肘关节游离体、肘关节骨质增生呢?
这大多是和长期拿瓦刀磕砖头,肘关节过度受力、劳损有关。
您的肘关节为什么会疼痛呢?
肘关节骨性关节炎往往存在肘关节内的滑膜发言、软骨面磨损,从而出现肘关节疼痛。

为什么您的肘关节伸不直呢?
伸不直往往是因为:1、尺骨鹰嘴骨质增生;2、肱骨远端后侧的尺骨鹰嘴窝骨质增生填塞;3、肘关节前侧的关节囊挛缩;4、肘关节内的游离体卡住了;等等。

为什么您的肘关节屈不下来呢?
屈不下来往往是因为:1、尺骨冠状突骨质增生;3、肱骨远端前面的尺骨冠状突窝骨质增生;4、肘关节后侧的关节囊挛缩;等等。
怎么治疗您的这种肘关节僵硬呢?
一般来说:1、针对疾病早期的患者,我们一般推荐休息、口服非甾体消炎药、理疗、康复治疗。2、针对保守治疗三个月效果欠佳的患者,我们一般根据患者的具体情况采用肘关节关节镜镜微创手术或小切口切开手术的方法来为患者解决问题。有的患者我们采用人工肘关节置换手术的方法帮助患者解决肘关节伸屈受限的问题。3、我们非常重视手术后的康复治疗。我们有专门的骨关节康复师和肘关节手术后全套的康复方案帮助患者早日康复。

上图:高绪仁医学博士、博士后、副主任医师、副教授在为肘关节僵硬、伸不直、屈不下来的患者进行肘关节关节镜微创手术治疗。
祝您早日康复!