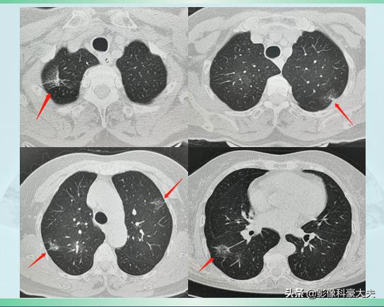
一位70岁的老妇人,头晕恶心5天住院,查房时候跟主治医生说,最近感觉有点胸痛、有点闷,医生于是为她安排了胸部CT检查:

结果很棘手:老人的双侧肺脏,一共发现9个不规则结节灶,最大的3×2cm,几乎都是混合磨玻璃结节,边界清晰,有分叶,有些伴有胸膜牵拉,有些在肺门一侧可以见到供血血管影(右下角箭头所指病灶),这些特点,都符合肺腺癌的影像表现。
老人一共有9个肺癌病灶,都是原发性的,遍布双肺5个肺叶(正常人有5个肺叶,左2右3),难以全部切除了。
为什么会一下子发生9个肺癌?跟基因有关吗?
老人所患的这种肺癌,是一种特殊类型,称作多原发肺癌(MPLC)。
多原发肺癌是指同一个体,一侧或双侧肺内不同部位,同时或先后发生两个或两个以上的原发性肺癌,组织学类型可以相同或不同。第一个发生的癌称为初原发癌或首癌,其后发生的称重复癌,有的患者可以有多次重复癌,即多重癌。
根据肿瘤发现时间,多原发肺癌分为两种类型:
1.发生时间间隔<6个月的同时性多原发肺癌(sMPLC);
2.发生时间间隔≥6个月的异时性多原发肺癌( mMPLC)。

其实早在1924年,就已经有学者关注到这个现象,并提出了多原发肺癌的概念,但因为当时检查手段有限,一直到上世纪后半叶,也仅仅见到散在的少数个案报道(1924年,Beyreuther在尸检中报道了第一例双原发肺癌)。近年来随着胸部CT性能的进步和技术提高,尤其是多排螺旋T的使用和人们对肺癌筛查意识的增强,多原发患者数量开始快速增加,据统计,高达8%的非小细胞肺癌(NSCLC)为多发病灶,其中7%~64%是多原发肺癌,其中尤以肺腺癌多见。如何对这种多原发恶性肿瘤进行精准诊治,就成为了临床医生们亟需解决的问题。
多原发肺癌的发病原因是什么?
目前尚没有确凿的病因与发病机制,考虑可能的原因有:
1.遗传因素和基因变异
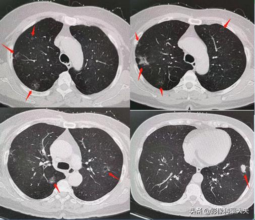
有研究发现,多原发肺癌与遗传及后天获得性基因缺陷有关,比如杂合性缺失、p53、HER-2、K-ras过表达等。有肺癌家族史的肺癌病人更容易发生多原发肺癌。有一项基于瑞典人群的研究表明:有肺癌家族史的病人发生多原发肺癌的几率是无肺癌家族史病人的9倍。这方面还需要更多的大样本研究支持,如果能明确找出病因,也许会为此类高危人群提供预防肺癌的可行性办法。

上图是我们今年遇到的另一例多原发肺癌,患者为54岁女性,有肺癌家族史。
2.人口老龄化
随着年龄的增长,人体细胞中的DNA更容易发生点突变、缺失、扩增、易位等,从而导致原癌基因的活化。据统计,54岁-64岁之间的多原发肺癌发病率为5%-12%,而到了80岁以上,这个数值上升为12%-26%。
3.吸烟
*草烟**中的有害物质导致p53突变,与多原发肺癌的发生关系密切;在多原发肺癌患者中的吸烟者明显高于单原发肺癌。
4.精神心理因素
患第一原发癌后,焦虑、抑郁的精神心理因素对自身免疫力会造成不良影响,免疫监控减弱,增加了第二癌症的发生率。所以癌症病人没事出去旅旅游,感受一下大自然的美好,还有合理增加营养,都是有益的。

多原发肺癌该怎样治疗?
目前针对多原发肺癌的治疗尚未形成统一认识,但国内外文献针对其治疗原则是一致的,大家都认为只要没有绝对禁忌症,应当采取积极的以手术为主的局部治疗,结合放化疗等辅助治疗的多学科综合治疗模式。并且有一点,多原发肺癌的预后要明显好于肺癌多发转移和复发,后者常常就不能手术了。
假如有条件手术,应遵循两个原则:1.最大限度地保存正常肺组织;2.最大限度地切除肿瘤。
针对同时性多原发肺癌(sMPLC),手术切除原则为:
如果病灶位于同侧肺内则尽可能1次手术同时切除;位于双侧肺者先切除分期较晚一侧的病灶,待患者完全恢复并有足够的肺功能储备后择期手术切除对侧病灶,两次手术的间隔时间通常为1个月左右,先切除中央型肺癌或进展较快的病灶,后切除周围型肺癌;先切除体积大者,后切除体积小者;先切除临床诊断有纵隔或肺门淋巴结转移的肿瘤,后切除无淋巴结转移的肿瘤。但无论何种手术,系统的淋巴结清扫都是必要的。有文献报道无论病变位于单侧或双侧,如果肺功能储备良好、淋巴结阴性的患者均应尽可能采取肺叶切除,如果病人无法承受肺叶切除术,可选择亚肺叶切除,另外应尽量避免全肺切除。
针对异时性多原发肺癌(mMPLC)的治疗,要受到病人的肺功能、年龄、相关合并症、重复癌的临床分期、首癌的治疗方式等多种因素影响。若患者无手术禁忌症,应积极选用手术治疗。
晚期多原发肺癌患者可以采用放疗、化疗、靶向治疗、介入治疗、免疫治疗、中医中药、支持治疗等姑息性治疗,延长寿命,提高生存质量。

多原发肺癌病人能活多久?
有文献报道,行手术治疗的多原发肺癌病人的生存期,明显长于未经手术治疗的病人,手术者中位生存期为32-49个月。其中同时性多原发肺癌(sMPLC)的5年生存率约为35%-87%,异时性多原发肺癌(mMPLC)的5年生存率为37.0%-60.8%,均明显优于IV期肺癌患者的5年生存率。其中淋巴结是否转移是关联最强的预后因素,未发生淋巴结转移的多原发肺癌病人术后5年生存率可达45%-87%。
怎样鉴别多原发肺癌与肺内多发转移呢?
这个问题就交给专业的医生去解决吧,涉及的专业知识点比较多,术业有专攻。
有一点大家可以了解:二代基因测序可以准确区分多原发肺癌和肺癌肺内转移,目前有点昂贵,并且大部分医院尚未开展。
攻克肺癌是一段艰难的征程,如果用珠穆朗玛峰来形容战胜肺癌的难度,那我们当前所处的时代,就好比海拔7300米的前进补给营地,还需要不断完善靶向治疗、免疫治疗、基因探索等多种准备工作,多学科协作,共同搭建最后的人工阶梯,做勇敢而荣耀的《攀登者》,把胜利的红旗插上峰顶!

我是影像科豪大夫,分享小病例,传递正能量,欢迎关注!
#清风计划# #健康真相馆# #健康真探社#
本文参考文章:
1.多原发肺癌的诊断与治疗,中国肺癌杂志2 0 1 5年1 2月第1 8卷第1 2期Chin J Lung Cancer, December 2015, Vol.18, No.12;
2.计算机断层扫描监测时代的异时或同时多原发性肺癌,The Journal of Thoracic and Cardiovascular Surgery;
3.多原发肺癌诊治新进展,临床肿瘤学杂志,2014Vol.19(10):953-956。