












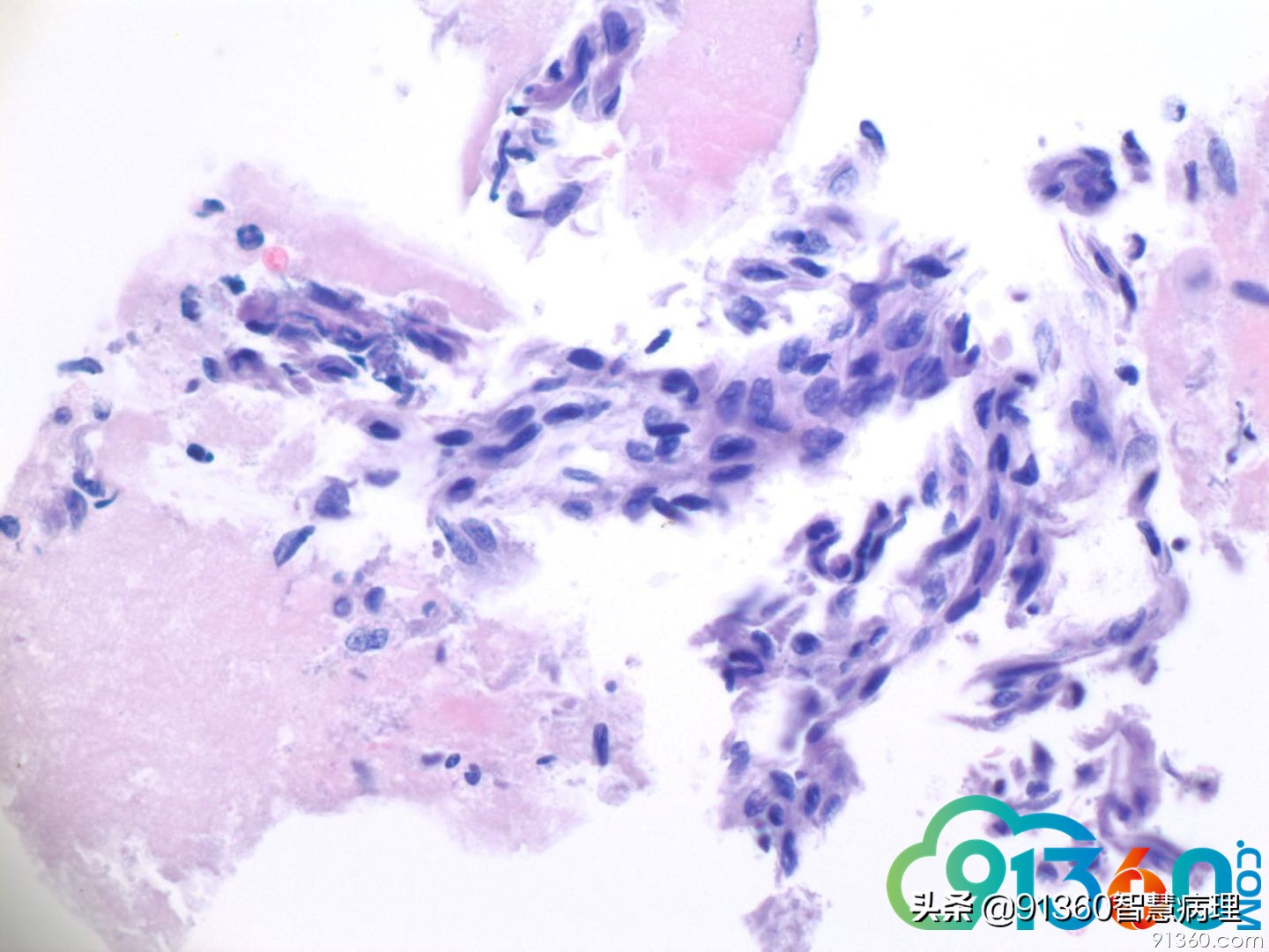
赵澄泉 70多岁,在过去四年HPV持续阳,几次Pap LSIL, ASCUS, 活检CIN 1。现查Pap test双查高危HPV阳性怎么发报告? 孙煜昀 和上次发的角化型鳞癌一模一样,表层角化不全。不发高级别疑癌显得我太怂了,不过要签字,我还是发AH 宋晓华 狂魔乱舞,张牙舞爪的样子,看起来不善良呀ASCH 阎培莎 我个人认为和最近赵老师发的那个病例不一样!细胞形态特征上有区别,年龄上那个病人是50多岁(年轻20 岁)。 这一例细胞不典型不明显(虽然有很多核梭性)并也沒有那么多的stromal 角化物质 。单纯以上照片诊断SCC 很难。萎缩不是不可能,但是如果是atrophy ,赵老师为什么又在这里show 呢?从实际工作的角色上讲,叫ASCUS plus HPV 阳性和叫 ASC-H 结果是一样的!都是end up with biopsy 王瑞辉 持续的HPV感染无进展,萎缩的停滞的低度或高度病变,定期复查高龄的妇女有些这种情况 石丽华 高级别 赵澄泉 此例细胞技术员叫鳞癌,为此我让技术室用剩余PAP 液体做了个细胞块, 如下图9-13现在应该报啥? 赵海鸥 高级别,不排外浸润 郭滟 平常不怎么看细胞学,但感觉问题不大啊 赵澄泉 @阎培莎 除了细胞病理专家外,你也是一很好的心理医生 郭晓静 hr~hpv阳性。游离高级别上皮内病变。 阎培莎 细胞pap 和细胞块HE 染色非常一致。To me this is atrophy! it isn’t in uncommon for 年长的妇女with 持续HPV positivity ( 许多妇女HPV 阳性不是HPV 17/18 而是other types ,后者时常不是那么的indicative!) . @赵澄泉UPMC 我做住院医师时inhospital exam 都是考了600+ 分!比我们那年的National scores 高出去200 多分!(我比较会“猜题”,考虑到最常见的情况应该是什,出考题的人想让要我们怎么回答)我纠正一下:细胞pap 和细胞块HE 染色非常一致。To me this is atrophy! it isn’t uncommon for 年长的妇女with 持续HPV positivity ( 许多妇女HPV 阳性不是HPV 16/18 而是other types ,后者时常不是那么的indicative!) . @赵澄泉UPMC 姜锦贵 萎缩 张杰 @郭滟 瑞金医院 我和您感觉一样 何长青 @赵澄泉UPMC 我看是萎缩的细胞,没问题!这样的细胞每天都会遇到 张杰 有了细胞块,可以做组化了。估计赵老师有免疫组化结果 李娟 赵老师,您这个病例看上去核比较温和呢但有的图核有些拉长细胞块不太支持高级别,但是hpv持续阳性,核有点异型 赵澄泉 Ki67, p16


赵澄泉 形态学和免疫都支持一定无高级或癌。昨天很放心的发了ASCUS.这个病例说明有时利用残余液基做个细胞块还是有用的。 张杰 @赵澄泉UPMC 谢谢赵老师,您这个病例细胞学还是挺吓人的,细胞块细胞形态就善良多了。细胞块确实可以解决很多问题 赵澄泉 如你有兴趣,可以比较这个病例与上边我发的那例不典型parakeratosis, 活检下面为鳞癌,这二例细胞学特佂是不同的。本例报ASCUS,萎缩还是比较合适的。病人应该不会有癌。anyway, ASCUS HPV positive, patient should have Colposcopy Thank you all for the discussion. Good night. Here is Friday morning. Will start to work 阎培莎 Thanks for sharing! 还是那句话: 赵老师自己花了时间让大家学习了!@赵澄泉UPMC 李娟 但是赵老师我们有时也做细胞块,但没有您做的这么好 张杰 赵老师这个鳞癌病人的液基有角化细胞,细胞有异性。@赵澄泉UPMC 谢谢您的分享

何长青 卵巢切除后的萎缩病例,常见赵老师给出的病例形态特点,核虽说有扭曲拉长,但是核染色质是温和的! 孙煜昀 @赵澄泉UPMC 好病例,学习到了