每个人都想要一口洁白整齐的牙齿,这样的牙齿不仅会给自己带来自信,而且也会增加自己的个人魅力。但是有很多人即使每天刷牙牙齿也不能变白,甚至牙齿还会长出一些黑黑的东西。那么,牙齿上黑黑的东西是什么?
牙齿上黑黑的东西是什么
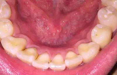
1.牙结石:

牙结石
由于长期口腔卫生条件不佳,大量细菌、色素沉积在牙齿上,尤其是根部,形成牙结石刺激牙龈,这种牙结石呈黄色或者黑色,刷牙很难刷掉,可通过洗牙去除。
2.龋齿

龋齿
当龋齿已经是深龋或者是中龋的时候,蛀洞相对比较深,非常容易进行分辨。牙体的组织受到细菌侵蚀之后形成一定的龋洞,而由于洞内的大量黑褐色腐质的存在,龋洞的周围受到感染的牙体组织也显现黑褐色。
3.色素

长期抽烟、喝咖啡喝茶等都可能产生色素沉积在牙齿上,造成牙齿发黄、发黑。牙齿是非常容易长烟斑的,因为烟里面含有“咖啡碱”,在酸性口腔之中反应非常容易形成烟斑,长年累月下去,牙齿上面的烟斑就非常多了。
而茶渍的形成则是与烟斑相类似。由于茶叶里面含有“生物碱”,在酸性的口腔之中反应或许就会形成茶渍。
2个方法让牙齿恢复洁白
1、龋齿导致牙齿发黑的处理方法:
如果是龋齿,要依「发展程度」进行治疗,如果是「轻度」的则有黑色,那么磨掉再「补牙」就行了,这是最轻最省钱的;如果已经坏到「牙髓」牙髓,就要「抽神经」,也就是根管治疗,大约得去三次,然后补好就行了,如果坏的不可救要就得拔了做「烤瓷牙」了。所以,牙病千万不能拖,越早治疗越小花钱自己受的苦也越少....

2、牙结石、色素导致牙齿发黑处理方法
目前去除牙结石、色素沉着最常用的方法就是洗牙,一般是半年到一年洗一次牙。针对小朋友们而言,可能比较难以配合牙科超声波这种方式的洗牙,所以家长们需要加强监督孩子进行刷牙。
此外,可以通过抛光的方式去除牙垢以及色素,牙医或许会使用非常柔和的低速手机上的毛刷或者是抛光橡皮杯去除牙垢以及色素。
总结
针对牙齿上面的色素以及牙结石,最为有效的办法其实就是洗牙+抛光。不要尝试用醋或者柠檬等土方法去除结石,说不定会损伤牙齿。而有了蛀牙要及时发现,早补早省钱!