
慢性胃炎是普遍存在的病症,在老年人尤其多见。那么老年人的慢性胃炎该如何诊治呢?今天让我们一起回顾上海复旦大学附属华东医院郑松柏教授在医学站的授课内容《老年人慢性胃炎诊治策略》,好好学习其诊治方法。
作者: 医学界消化频道
来源:倒霉蛋蛋
胃黏膜模式图

如图所示,最上面为黏膜层,其内为胃主要的功能腺体,在胃底主要为胃体腺,在胃窦主要为幽门腺。黏膜层下为黏膜肌层,是黏膜层与黏膜下层的界限。黏膜下层为疏松的结缔组织,其内分布血管和神经,为胃黏膜的营养层。再下方为肌层,最外侧为浆膜层。
而慢性胃炎主要发生于黏膜层。急性胃炎/慢性胃炎都是指发生在胃黏膜层内的急性/慢性炎症。
老年人慢性胃炎概念
老年人胃黏膜层的慢性炎症,以慢性炎性细胞(单个核细胞,主要是淋巴细胞、浆细胞)浸润为主。(如下图所示)

慢性胃炎的发病情况
慢性胃炎可能是人类患病率最高的疾病之一。不论是病理医师还是内镜医师,在组织学上、在内镜下都很少看到无炎细胞浸润的正常的胃黏膜。除了刚出生的婴儿,几乎人人都有慢性胃炎,但大部分人无症状。
幽门螺杆菌是慢性胃炎发生的主要原因,所有幽门螺杆菌感染的患者都存在慢性胃炎。下图为幽门螺杆菌的感染率,可见发展中国家Hp感染率明显高于发达国家,且其随年龄的增长而增加。而除Hp外,食物、NSAIDs药物等也可引起慢性胃炎,故慢性胃炎的发病率高于幽门螺杆菌的感染率,由此可见老年患者慢性胃炎发病率之高。

慢性胃炎的病因
老年患者和非老年患者慢性胃炎的病因是相同的,主要为以下几个方面的因素。
1)生物因素:幽门螺杆菌(HP)或海尔曼螺杆菌(Hh);
2)物理因素:食物、异物;
3)化学因素:药物、食物、反流物(胆汁、肠液等);
4)其他。
其中HP为最主要的因素;而老年人常伴其他疾病,需服用较多药物,故药物因素在老年患者也是一个重要的因素。
慢性胃炎的分型
慢性胃炎的诊断主要依靠内镜和病理,下面让我们来学习下慢性胃炎在内镜下的分类。曾经的分类、现在的分类和我们在日常工作中所谈及的概念,它们之间的关系很重要。
目前的分类通常将慢性胃炎分为以下3种类型(对内镜医师,应描述出其是否伴有以下病变):
慢性非萎缩性胃炎:可伴平坦或隆起糜烂、胆汁反流、出血等。
慢性萎缩性胃炎:可以伴平坦或隆起糜烂、胆汁反流、出血等。
特殊类型胃炎:化学性、放射性、淋巴细胞性、肉芽肿性、嗜酸细胞性等。
既往,包括现在的某些医院的内镜医生也这样表述:
慢性浅表性胃炎(即慢性非萎缩性胃炎)
慢性浅表-萎缩性胃炎:胃内既有萎缩的区域,也有非萎缩的区域。此类型非常常见,可视为对新的分类的补充。
慢性糜烂性胃炎:慢性非萎缩性胃炎伴糜烂或慢性萎缩性胃炎伴糜烂的统称,老年人患病率高。
此外,还可以根据病变分布,在内镜下将慢性胃炎分为胃窦炎(B型胃炎)、胃体胃炎(A型胃炎)、全胃炎胃窦为主或全胃炎胃体为主。

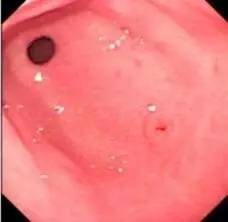
此图可见慢性非萎缩性胃炎:胃窦比较厚实、有质感、似羊绒地毯,看不清其黏膜下的血管纹理。

此图示慢性萎缩性胃炎:黏膜变薄,其下血管纹理清晰可见。
慢性胃炎的病理组织学分类
胃炎:各种病因所致的胃黏膜慢性炎症;
急性胃炎:以急性炎性细胞(中性粒细胞)浸润为主;
慢性胃炎:以慢性炎性细胞(单个核细胞,主要是淋巴细胞、浆细胞)浸润为主;
慢性活动性胃炎或慢性胃炎伴活动:当胃黏膜在慢性炎性细胞浸润的同时见到急性炎性细胞浸润(Hp感染的胃炎中常见)。
慢性胃炎病理组织学报告内容:
6项组织学变化:Hp感染、慢性炎性反应(单个核细胞浸润)、活动性(中性粒细胞浸润)、萎缩(固有腺体减少)、肠化、异型增生或上皮内瘤变。如下图所示:

其中,Hp感染在组织学的检测方法有两种:吉姆萨染色和嗜银染色,但操作麻烦,有创,局限性大,故现在很多医院的病理科已不报告有无Hp感染。
4个分级:无(0),轻度(+),中度(++),重度(+++)。
注:有时,是否是萎缩性胃炎,病理和胃镜结果是不一致的,此时我们应全面综合的判断。内镜下视察为宏观视察,视察面积较广,但为内镜医师的肉眼视察和主管判断;病理为微管视察,萎缩、肠化、异型增生常局限分布,活检时可能未能取到,影响结果。故应相互弥补,而非人为的认为其结果矛盾。
欢迎投稿到小编邮箱:[email protected] 来稿邮件主题为:【投稿】医院+科室+姓名
小编微信:choudan110