我们怎么才知道自己有没有虫牙呢?
虫牙容易发生在牙齿不易清洁的地方
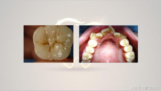
特别是牙齿咬合面的沟隙或牙齿拥挤嵌塞食物的地方,如下图

根据牙齿烂的深度,我们把虫牙分为3种
第一种叫浅龋,也就是烂的比较浅的虫牙,它在牙齿上表现为白色斑块或者灰黑色斑块,用牙签或者探针检查时有粗糙感,但我们感觉不到疼痛,这时也最容易被忽略。

浅龋,虫牙早期
第二种叫中龋,这个时候牙齿烂的就比较深了,我们可以看到牙齿上面已经变黑,有洞形成了,当我们吃冷热酸甜的敏感,用牙签或者探针检查时会敏感。

中龋,中等深度虫牙
第三种叫深龋,当吃东西塞到牙洞里,或吃冷热酸甜时,就会有明显的疼痛,用牙签或者探针去探牙洞,疼痛剧烈。

深龋,烂的深的虫牙
那当我们发现自己有了虫牙怎么办呢?
当我们发现自己有虫牙了,就要尽早去看牙医了,因为虫牙一旦发生了,就需要牙医把牙齿烂掉的部分清除,然后用牙科材料把牙齿坏掉的部分补起来。

补牙前后
那有人肯定会想,如果我有虫牙,但是我没有及时去补,那么结果会怎样呢?
结果当然会糟糕了,因为虫牙里面的细菌会不断地生长,最后会感染牙齿的神经,导致牙齿神经发炎。而牙神经发炎就会相当痛苦了,吃冷的牙疼,吃热的牙痛,到了后来就是不吃东西牙都会疼,半边脸都是疼的,晚上疼痛的觉都睡不着,而这个时候就只有找牙医给牙齿进行治疗的,这时的治疗耗费时间长,花费高,治疗过程也会相对痛苦。

牙病发展过程
所以当大家发现自己有虫牙了,一定要尽早找牙医补牙,不要拖延。