脑膜膨出是指脑膜从颅骨缺损处膨出使得脑脊膜腔内压力较高,导致颅内结构通过缺损的地方疝出颅外。分为脑膜膨出(脑膜自缺损处向外膨)和脑膜脑膨出(不但有脑膜膨出还伴有部分脑组织膨出)。近日,唐都医院小儿神经外科亚专业组接诊一例脑膜脑膨出患者,经手术治疗后,患者出院调养。
病情介绍
患者男性儿童,11岁,陕西西安人。
主诉:生长发育迟缓3年
病史:
1、患者从三年前开始发现发育较同龄儿童迟缓;
2、就诊于当地医院,医院给予口服生长激素治疗;
3、生长激素治疗共持续2年余,效果明显;
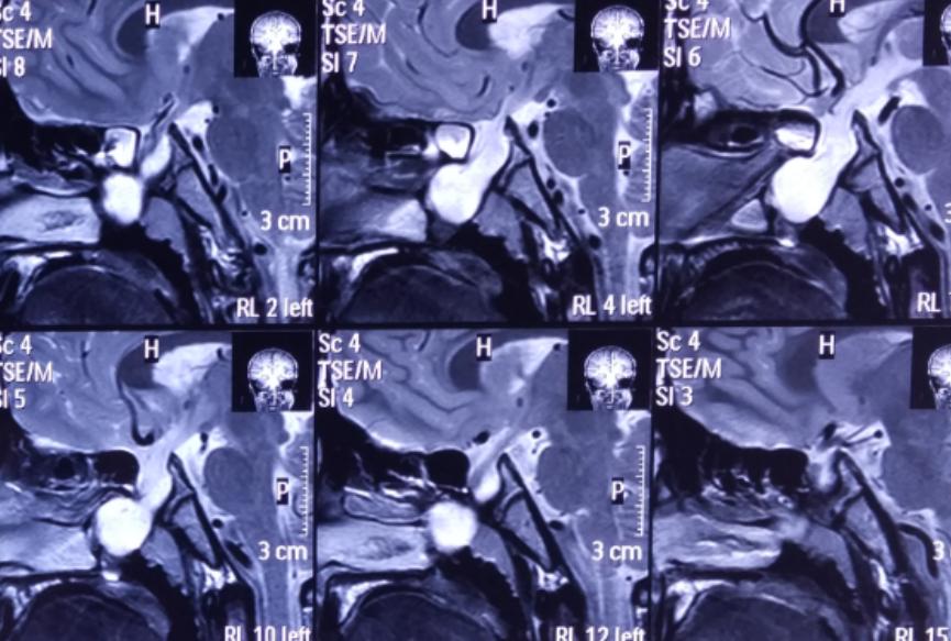
4、患者近期做头颅磁共振提示:鞍区占位性病变;
5、患者为进一步诊疗,就诊于唐都医院小儿神经外科亚专业组。
确诊
唐都医院小儿神经外科亚专业组组长王超博士结合患者病史、体征、影像学检查等诊断为先天性前颅底型颅裂,脑膜脑膨出建议及时手术。
影像资料




治疗
小儿神经外科亚专业组提请唐都脑科医院高国栋院长和神经外科屈延主任后,获得同意,并建议王超博士及时手术。
手术行“经鼻蝶脑膜脑膨出回纳并修补术”,一切顺利。术后患者恢复良好,无不适,不长出院调养。
术后影像




讨论:脑膜脑膨出
脑膜脑膨出为先天发育异常,一般认为与胚胎期神经管发育不良、中胚叶发育停止有关,可能受孕初数周内孕妇的外伤、感染、新陈代谢障碍等因素影响。
临床上,脑膜脑膨出患者一般以枕部、顶部、前额、鼻部、眼眶和颅底区多见,轻者无明显神经系统的症状,重者(特别是脑室-脑膨出者)可出现与脑膨出发生部位及受损程度相关的智力降落、癫痫和瘫痪等神经系统功能障碍表现。
目前,临床上针对脑膜脑膨的治疗以手术治疗为主。临床上,除巨大脑膜脑膨出或脑膜脑室膨出合并严重神经系统损害、智力低下和明显的脑积水者外,均主张在患者及早手术封闭颅骨缺损、切除膨出囊、还纳膨出的脑组织等内容物,防止发生进一步神经功能障碍。