最近后台收到了一条求助,看头像是个貌美动人的姑娘,发了一大段长文。她讲自己22岁那年,曾因为牙齿不齐自卑,听别人推荐去做了“美容冠”。当时刚做完还是蛮开心的,牙齿变得又白又齐,颜值也提升了不少。没想到后来牙龈开始出血,甚至变成每次刷牙必出血,嘴里也经常有异味儿了。她现在准备备孕,很担心会影响怀孕。
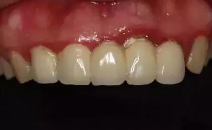
还配了一张牙齿自拍图↓

(为保护粉丝隐私没用她原图,此图来源于网络,比较接近)
能看出来她牙冠边缘的牙龈有渗血,牙龈明显红肿,整个牙周态势很差。
南先森理解,20多岁的小姑娘们为了变美会做很多努力,但她可能没有意识到“美容冠”要付出的代价。
“美容冠”是什么?
在所有正规医院和医疗机构,所有权威的口腔学术杂志,没有所谓“美容冠”这个称呼。美容冠是一些民营整形美容机构等为了圈钱包装出来的,其本质是对全冠修复的滥用。
正常情况下,全冠修复是对严重龋坏、残冠、畸形过小牙等情况的修复手段,不会直接用于健康牙齿。但“美容冠”,尤其是号称“快速矫正”的美容冠,都是通过加厚冠壁、过多过度磨掉健康牙齿等方式来改变牙齿位置,对整个口腔破坏性重建。

牙齿越不整齐,“美容冠”为了让牙齿到“理想位置”,过度磨掉的牙齿部分就越多。牙齿会变得更敏感,甚至会露牙髓。听说有的诊所还做“美容冠”赠送抽牙髓杀神经,本来健康的牙齿,直接弄成“死牙”,简直是杀人还送火化一条龙服务。
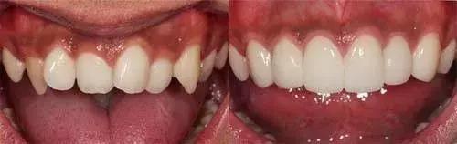
“美容冠”宣传的出来效果是这样↓

刘涛的美容冠

△图片来自网络,宣传的“美容冠”
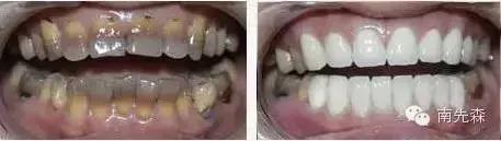
但你的牙齿可能已经磨成了这样↓

△图片来自网络
“牙齿不好看怎么办?
如果你想改善牙齿不齐的现象,可以选择正畸矫正牙齿↓


牙列拥挤、牙齿稀疏、地包天、龅牙等都可以通过正畸来改善。正畸是通过托槽给牙齿加力,把牙齿排列整齐的,还会调整咬合,恢复正常咬合功能。而且不是只有儿童才可以矫正,只要牙周状况够好,正畸没有年龄限制的。
如果你只是想美白牙齿,牙齿有轻微发黄、轻度氟斑牙或者轻度四环素牙,可以考虑冷光美白↓

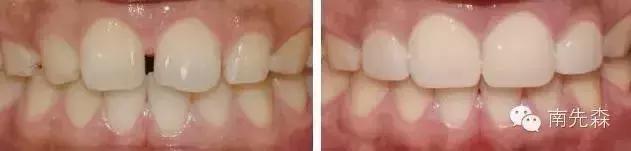
如果你是比较严重的中重度氟斑牙或者四环素牙,可以考虑贴面修复。把前牙区能露出来的牙齿,贴个“膜”遮一下↓

贴面修复还可以关闭前牙缝隙,恢复少量的牙体组织缺损。只需要磨除极少量牙体组织,甚至不用磨除,就可以达到修复效果↓


千万不要磨掉健康牙齿去做这种“美容冠”,磨掉的牙齿不会重头长出来,损害是不可逆的。(更多美白方式可以移步阅读牙齿美白的秘密。)
“依旧黑暗的竞价广告
可怕的是,现在如果在网上搜搜“美容冠”,最靠前的还都是竞价广告↓

还有百科背书↓

百科上挂着推荐诊所,点进去就会弹对话框,咨询就会赠送“免费口腔检查”“免费牙片”“免费出方案”。不出意外,只要你人到店检查,一整套的*脑洗**说辞早已经备好,什么7天快速矫正、永不龋坏、高仿真假牙更好看好用、两次到店搞定可以用一辈子等,简直可怕。
找个靠谱的牙医做朋友吧,或者可以来问南先森,南先森愿意做大家身边的牙医朋友。