
引用本文: 郑永飞, 郑海澜, 汪晟, 等. 子宫恶性血管周上皮样细胞肿瘤一例报道并文献复习 [J] . 中国全科医学, 2021, 24(18) : 2364-2367. DOI: 10.12114/j.issn.1007-9572.2021.00.001.

血管周上皮样细胞肿瘤(perivascular epithelioid cell tumor,PEComa)又称肌黑色素肿瘤(myolomelanocytic tumor),是一组临床少见的间叶源性肿瘤[1],主要累及肝、肺和肾,罕见于子宫。子宫PEComa多发于子宫体浆膜下,少数发生于宫颈及黏膜下,恶性者罕见。本文报道了1例发生于子宫颈的恶性PEComa病例,并进行文献复习,既往报道的子宫PEComa的影像表现无特征性[2,3,4],而本例特征性的MRI T1加权像(T1WI)高信号表现值得关注,提示该病的影像学表现有待进一步探究。
1 病例简介
患者,女,47岁,因"不规则阴道流血半个月,加重1 d"于2019-06-30入住台州市第一人民医院。患者9个月前因"阴道大出血"在本院行诊刮术,术后提示"子宫PEComa",患者选择保守止血治疗后出院,未手术。半个月前无明显诱因下阴道流血,量少,色暗红,无腹痛,于外院口服中药止血治疗效果不佳。1 d前患者自觉阴道流血量较前增多,伴较多血凝块,无腹痛、腹胀,无胃寒、发热,无恶心、呕吐,为求进一步治疗入住本院。专科检查:阴道内少量暗红色血液,无臭味,阴道黏膜完整;宫颈大,宫颈口微开,见血凝块堵塞,宫颈管膨隆,质地软,无举痛,无接触性出血。
本文价值:
子宫血管周上皮样细胞肿瘤(perivascular epithelioid cell tumor,PEComa)属罕见妇科肿瘤,术前极易误诊,且国内外针对该病的影像学研究极少。既往研究认为PEComa无特征性影像表现,而笔者发现的本例患者子宫PEComa具有特殊性的T1加权像(WI)高信号,究其原因或与肿瘤内的黑色素含量相关,不同黑色素含量的子宫PEComa或可显现出不同的影像表现,因此尚需要进一步积累病例进行视察。
实验室检查:肿瘤标志物未见明显异常。红细胞计数2.05×1012/L〔参考范围:(3.80~5.10)×1012/L〕,血红蛋白66 g/L(参考范围:115~150 g/L),血细胞比容0.19(参考范围:0.35~0.45)。
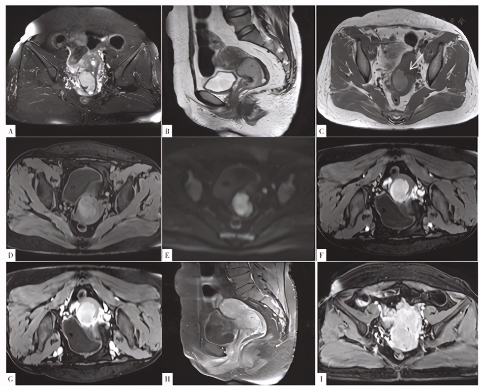
CT检查示:宫颈增粗,见一类圆形等密度占位,增强后动脉期明显均匀强化,静脉期呈等密度,边界尚清,大小31 mm×35 mm,盆腔左侧见数枚肿大淋巴结,见图1。MRI检查示:宫颈见一大小40 mm×35 mm×32 mm的占位,T1WI、T2WI以高信号为主,内见点状T1WI、T2WI低信号影,弥散受限,病灶边缘见流空血管,增强后病灶较均匀、明显强化,界尚清(见图2)。盆腔左侧见数枚肿大淋巴结。

图1 患者CT检查结果
Figure 1 Result of uterus CT scan

图2 患者MRI检查结果
Figure 2 Result of uterus MRI
手术:行腹腔镜下筋膜外子宫全切+双附件切除+盆腔淋巴结切除术+腹主动脉旁淋巴结活检+阴道壁囊肿切除术+肠粘连松解+盆腔粘连松解术。术中见子宫大,宫颈管增粗明显,宫颈前壁见一大小35 mm×30 mm× 30 mm的肿块,质软,切面灰黄。宫颈壁与膀胱、直肠紧密粘连,肠管与侧腹膜紧密粘连,直肠陷凹封闭。
病理:镜下见肿瘤细胞呈弥漫分布,纤细分隔呈巢团状,腺泡状,细胞大小较一致,核深染,核仁明显,胞质丰富多为嗜酸性,大量脉管内瘤栓,肿瘤细胞内见色素细胞沉着。病灶浸润深度至宫颈管全层,向下累及宫颈下段,脉管内见瘤栓,未见神经侵犯,两侧宫旁以及双侧附件均阴性,右卵巢黄体囊肿;送检左髂外3颗淋巴结,其中2颗淋巴结见肿瘤转移(2/3)。免疫组化:黑色素瘤特异性抗体45(HMB-45)(++)、TFE3(+)、Ki-67(散在个别+)、CD10(+)、Melan-A(-)、S-100(-)。病理诊断为子宫颈恶性PEComa。术后辅以放疗化疗4次,随访至今,无瘤生存中(见图3)。

图3
患者病理检查结果
Figure 3
Pathological images
2 讨论
2013年世界卫生组织(WHO)将PEComa定义为免疫表型和病理组织学上以血管周上皮样细胞(PEC)为特征的间叶性肿瘤,包括淋巴管平滑肌瘤病(lymphangioleiomyomatosis,LAM)、肺的透明细胞"糖"瘤(clear cell"sugar"tumor of the lung,CCTL)、网韧带或镰状韧带的透明细胞肌黑色素细胞肿瘤、肝和肾上皮样血管平滑肌脂肪瘤(angiomyolipoma,AML)及非特异性PEComa(PEComas-not otherwis specified,PEComa-NOS)[5]。PEComa-NOS为累及子宫、外阴、直肠、大腿、胰腺、腹壁浆膜或心脏等特殊部位的PEComa,临床少见。子宫是PEComa-NOS最常发生部位,多见于宫体,少数报道发生在宫颈,恶性者相对罕见[2,3]。
子宫PEComa发病年龄跨度大,19~75岁均可发生,多见于中年女性,可能与雌激素有关,中位年龄为49岁[4]。子宫PEComa多表现为不规则阴道流血、下腹疼痛,可引起腹腔积血,甚至出现失血性休克。本例患者为47岁女性,临床表现为不规则阴道流血,其年龄、性别及临床症状均符合子宫PEComa。
子宫PEComa光镜下特征是肿瘤细胞呈上皮样,围绕血管排列,呈片状、巢状分布,胞质透亮,可出现不同比例的梭形细胞,间质富于薄壁血管,偶可为厚壁或玻璃样变性,并可见黑色素颗粒。PEComa恶性表现:浸润生长,核大且深染,核分裂增多,不典型性核分裂及凝固性坏死[6]。子宫PEComa的免疫表型通常为表达黑色素瘤特异性抗体45(HMB-45)、黑色素细胞分化标志物A(MelanA)和小眼畸形相关转录因子(microphthalmia-associated transcription factor,MiTF),其中HMB-45最敏感[5,7]。近年来,研究发现部分PEComa与TFE3基因易位融合或扩增有关[8]。TFE3是MiTF家族成员之一。本病例的光镜及免疫组化结果提示子宫恶性PEComa的诊断。
目前鲜见针对子宫PEComa的影像学报道,所见报道多认为子宫PEComa不具有特征性影像表现[2,3,4,9]。但本病例的影像表现具有一定的特征性。盆腔见数枚肿大淋巴结,提示子宫占位或为恶性肿瘤的可能。宫颈占位边界较清,明显较均匀强化,病灶边缘见粗大的血管,提示病灶血供丰富。肿瘤实性部分在MRI平扫图像上显现出特征性的T1WI、T2WI高信号表现,可能与肿瘤细胞内黑色素颗粒含量有关,本例患者病理检查图像可见一定数量的黑色素颗粒。研究发现,黑色素瘤可因黑色素含量不均匀而表现为混杂信号。ISIKLAR等[10]将颅内黑色素瘤根据黑色素含量不同分为4种类型:(1)黑色素型,T1WI呈高信号,T2WI呈低信号;(2)无黑色素型,T1WI呈低或等信号,T2WI呈高或等信号;(3)混合型,表现多变;(4)血肿型,只表现为出血的MRI特征。当黑色素瘤中黑色素细胞含量为10%时,才会出现黑色素顺磁性所致的典型黑色素瘤MRI特征,即T1WI呈高信号表现,T2WI呈低信号表现,具有高度特异性[10,11];无黑色素型、混合型及血肿型黑色素瘤均属于非典型性黑色素瘤,临床上罕见[12,13]。子宫PEComa与黑色素瘤一样含有黑色素颗粒,故笔者推测本例PEComa患者的MRI表现与肿瘤细胞内黑色素颗粒的含量密切相关。
本例子宫颈恶性PEComa患者应与下列疾病鉴别:(1)宫颈癌:表现为接触性出血,T1WI呈等低信号,T2WI较高信号,增强扫描后肿瘤于动脉期强化明显,门脉期及延迟期肿瘤呈轻度强化,与正常子宫肌层相比呈相对低信号,而本例子宫颈恶性PEComa患者无接触性出血表现,MRI表现亦不符合宫颈癌表现;(2)子宫颈癌肉瘤:子宫癌肉瘤瘤内异质性明显,常伴有坏死、囊变及出血,使得肿瘤信号混杂、强化不均,与本例患者较均匀强化的子宫颈恶性PEComa不同;(3)子宫颈肉瘤:T1WI呈等低信号,T2WI呈较高信号,分叶状,信号不均,常可见中心大片坏死区,增强扫描不均匀强化,边界不清,以囊性为主的病灶,其内小囊数目多且呈网格状改变,可作为子宫肉瘤的一种特征性表现,易可与本例子宫颈恶性PEComa鉴别;(4)子宫颈肌瘤伴变性:红色变性、脂肪、黏液变性表现为T1WI、T2WI高信号,但信号不均匀,脂肪变性区呈低信号,黏液变性区域增强无强化,且不伴有盆腔淋巴结肿大,可与子宫颈恶性PEComa鉴别。综上,以下影像表现结合病史可提示存在子宫PEComa的可能:(1)T1WI高信号;(2)宫颈肿瘤密度/信号相对均匀,强化均匀;(3)增强扫描中心或边缘见粗大迂曲强化血管。然而针对无特征性影像表现的子宫PEComa,仅能依靠病理诊断,免疫组化尤其重要[14]。
子宫PEComa是一种恶性潜能未确定的肿瘤,临床发病率低,缺乏疗效确切的治疗指南[14],手术是子宫PEComa的主要治疗手段,手术范围根据患者的具体情况及肿瘤生物学行为而定;但针对已经出现远处转移或淋巴结阳性患者,术后仍需辅以放、化疗[2],因临床病例少,无长期随访结果,远期疗效尚不清楚[15]。目前,雷帕霉素靶蛋白(mTOR)抑制物针对子宫PEComa的靶向治疗尚处于研究阶段,文献报道疗效不一[14,16]。有报道称子宫恶性PEComa易侵犯卵巢、阴道和肠管等盆腔脏器,或转移至肺部,复发和转移多见于术后3年内,子宫PEComa无论采取哪种治疗方案,均应术后坚持长期随访[4]。本例子宫颈恶性PEComa患者伴盆腔淋巴结转移,术后辅以放化疗,至今已随访11个月,尚未见肿瘤复发及转移情况。
综上所述,子宫颈PEComa少见,恶性者罕见,病理为诊断金标准,手术是主要治疗方式,术后随访必不可少。既往文献多称子宫PEComa影像上无特征性表现,而本例实性病灶特殊性的T1WI高信号值得关注,或与肿瘤内的黑色素含量相关。子宫PEComa少见,其影像表现的深入探索值得期待,且需要病例的进一步积累。
本文无利益冲突。
参考文献 略