金华的某A,女性,56岁,去年8月份检查发现左肺下叶结节,是实性的,还中间有个空洞,我们说若磨玻璃结节伴空泡或空腔多为恶性范畴的,实性的也是可能性会大一些,但不如磨玻璃确切,因为结核、感染等也会类似的。我们先来看她当时的CT图像:

左下结节与血管关系密切,此层似磨玻璃结节,还夹在小血管之间,其中有血管紧贴病灶,略迂曲

上层见病灶偏实性密度,边缘不光滑

上图见病灶为实性,中间有小空洞,边上有血管进入病灶,靠后侧有棘突样

上图示病灶边缘不光滑,中间有小空洞

上图见病灶边上有血管

上图示病灶血管征较明显,有微小血管从不同方向走向病灶
其实若从以上影像上看,恶性还真不能除外的,相对来说,恶性的可能应该大于良性。但看肺结节,我们在看细节特征的同时,还要看其他肺野有没有异常,综合来考虑。因为她的左下肺其他部位有病变存在,先来看下图像:



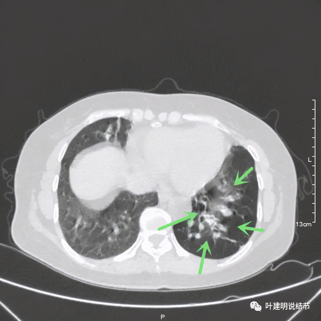
左下肺野多发支气管扩张呈囊状,也有一些实性密度的结节(考虑扩张支气管内的痰栓)。右侧也有实性炎性病灶。所以综合来看,左下之前的结节也得考虑与这些同源,一个原因来解释更为合理,所以恶性的可能性又小了。我建议其随访视察。昨天来复查,我们来看下这次的CT图像:






可见同样部位的左下结节已经较去年密度明显低了一些,说明有所吸收了!基本上已经只是磨玻璃密度了。那么其他病灶的情况呢?



也是有所变化,但病灶仍仍在,是异常的。最后这同图上还见到似乎也是实性伴小空腔的病灶(红色三角形标注处),是不是与之前的病灶有点像?
实性肺小结节的性质判断,一是看影像细节特征;二是看他处有没有类似病灶或病变;三是不太肯定是随访复查对比。这几点缺一不可,冒然过于积极手术,绝非最佳选择。网络问诊的病人的,经常有病友说,在某些大医院就诊咨询,大专家们经常会给似是而非的答案,告诉他们肺结节可能良性,也可能恶性,要病理化验才能确定。这样其实给病人仍是非常忐忑的心理负担,我们要用自己专业的判断,给他们尽量有倾向性的判断,帮助他们下决定随访抑或手术。我想,说清楚了,病人也会理解仅凭影像的判断达不到百分之百的。在避免过于积极干预的同时,也要避免耽误病情,而医生的不断努力能向更准确的术前诊断迈进!
(此处已添加医疗卡片,请到*今条头日**客户端查看)