因为“脚后跟疼”来门诊看病的人很多,这种疾病有一个比较统一的说法,叫足跟痛或跟痛症。究其发病的原因是多种多样的,比如常见的足底筋膜炎、跟腱炎骨刺以及骨质疏松,还有一些少见的疾病因素,今天我们就来给大家详细的科普一下。

写在前面:一直觉得跟痛症是不会被大多数人重视的问题,所以我的科普文章一直没有写这方面的内容,但是谢医生前不长回答了一个题目,叫“脚后跟痛,是什么原因?”居然达到了111万的阅览量,我才发现常见的问题才是朋友们最关心的问题。在这里谢谢曾经阅读过这篇问答朋友们,是你们给了我更详尽的科普跟痛症的动力,谢谢了!

足跟疼痛是一种常见的足部问题,疼痛通常发生在足跟或紧跟在足跟后面,有时它会影响脚跟的侧面。
脚跟下方发生疼痛的诱因多见于足底筋膜炎。这是足跟痛的最常见原因。

脚跟后面的疼痛,多由于跟腱无菌性炎症诱发,称为跟腱炎。

在大多数情况下,疼痛是由于对足踝部的过度使用、劳累、外伤或者有糖尿病等一些内科因素导致的。起初,它通常是温和的,所以很多人在开始发病的时候并不给于重视。但它可能会变得严重,有时甚至会导致功能丢失。有时跟痛会在没有治疗的情况下消失,但有时它会持续存在并变成慢性病。
足底筋膜炎导致的跟痛
在我们的足底有一层致密的肌腱和筋膜组成的结构,我们称之为足底筋膜。足底筋膜在我们维持足弓角度以及承受行走以及跑动过程当中产生的应力中起着非常重要的作用。当由于剧烈跑跳以及反复使用足踝的过程中会刺激足底筋膜,很有可能导致筋膜纤维中的小撕裂,引起出血,诱发无菌性炎症,导致足底筋膜炎。
足底筋膜炎几乎可以在任何人身上发展,但在下列人群中尤为常见:糖尿病患者,肥胖者,孕妇,跑步者,排球运动员,网球运动员以及参加健美操或爬楼梯的人。

足底筋膜炎的症状
足底筋膜炎和跟腱炎都有一个特异性的症状,就是晨起开始走路时那几步的剧烈疼痛。
很多确诊为足底筋膜炎和跟腱炎的患者,都会有这样的感受,就是当他晨起的时下地的那第一脚会诱发剧烈的足跟疼痛,难以忍受。这主要是由于炎症的累积导致的。很多时候,在久坐以后改变体位站起来的时候也会诱发疼痛,随着走动症状会明显缓解,这是足底筋膜炎和跟腱炎的特殊症状。
足底筋膜炎治疗建议:
第一,休息。一旦我们出现上述所讲的足底筋膜炎的症状,那么建议一定要改变运动或长时间行走等刺激足底筋膜炎的动作,给足底筋膜一个适当的休息。
第二、冰敷。冰敷可以很好的控制,由于无菌性炎症导致的足底筋膜,诱发的疼痛和肿胀。建议一次,20分钟,一天三次。这里给大家建议可以在冰箱里冻一个矿泉水瓶子,拿出来的时候略微缓一下,让瓶子里有冰有水,隔着手巾做冰敷,不仅可以达到按摩的目的,还可以达到冰敷的效果。

第三,自我拉伸。自我拉伸可以很好的缓解,足底筋膜的紧张,促进局部的血液循环,减轻炎症的症状。

第四,药物。疼痛明显可以口服或外用非甾体镇痛药,建议外用非甾体镇痛药为主要的治疗方式,不建议长期口服镇痛药来达到缓解疼痛的目的。
第五,鞋。无论是喜欢运动的人群,还是由于其他原因导致足底筋膜炎疼痛的患者都建议换一双,底儿略厚,最好是略软的鞋子,过薄的鞋子和过硬的底儿都会导致足底筋膜炎的症状加重。
第六,康复治疗师手法治疗。如果您经过以上的5种措施,足底筋膜炎的疼痛仍没有缓解,那么建议您到相应的医院找寻专业的康复治疗师,给您手法治疗。
第七,中药泡脚。很多中医医院都有专门的中药方剂,通过中药浸泡的办法来治疗跟痛,很多患者受益。
第八,冲击波治疗。针对经过以上保守治疗无效的足底筋膜炎患者,谢医生强烈建议进行终极波治疗,冲击波是一种新型的治疗方式,针对足底筋膜炎跟腱炎这一类慢性无菌性炎症具有非常好的疗效,而且价格便宜,很多人都能接受,最关键的是对身体没有创伤。

第九,局部封闭。局部封闭治疗是谢医生最不建议的治疗。一定要采取系统保守治疗无效以后,才考虑进行局部的封闭治疗。
跟腱炎导致的跟痛
跟腱是由连接小腿后方肌群与跟骨的带状肌腱纤维组成。当我们在运动的过程当中或长时间的行走、爬山等一些活动当中,小腿的腓肠肌和跟腱承受了反复过度的牵拉,就容易导致在跟腱与跟骨连接的地方出现无菌性的炎症,从而诱发疼痛,我们就称之为跟腱炎。

跟腱炎的症状
跟腱炎早期的症状和足底筋膜炎的症状极其的类似,也是会有明显的晨起下地行走的剧烈疼痛。也是在改变体位的时候会出现跟骨上方的疼痛。尤其是在上下楼梯的时候,对跟腱的刺激比较大,会诱发明显的跟部疼痛。
跟腱炎的治疗
跟腱炎的治疗也遵循我在足底筋膜炎治疗过程所建议的那九点。在跟腱疼痛发作的早期,建议采取冰敷、休息、自我牵拉以及外用药物等治疗办法。

当这些办法无效的时候,谢医生强烈的建议采取跟踺的冲击波治疗。请一定把封闭治疗放在所有治疗的最后,一定不要着急,因为疼痛困扰就过早的进行局部封闭的治疗,这样首先会干扰跟腱和足底筋膜内的内环境,有可能导致感染,也很有可能导致症状的反复发作。
跟骨骨刺导致的跟痛
据数据统计,诱发足跟疼痛的诸多因素当中,跟骨骨刺占其中的15%,但是谢医生本人对这个几率存疑,因为这个几率太高了,临床上太多的患者足跟疼痛特别严重,但是并没有任何的跟骨骨刺。很多体检发现有巨大跟骨骨刺的患者追问病史反而没有丝毫症状。

谢医生认为这些骨刺究其原因,还是因为足底筋膜受到了刺激,在于跟骨连接的部位出现了撕裂、出血,有一些患者在这个部位出现了钙化,最终导致了骨刺的形成。
跟骨骨刺的治疗
无论是否是骨刺诱发的足跟下方的疼痛,只要存有症状,都可以参照足底筋膜炎的治疗方案,治疗建议以保守治疗为主。即使骨刺再大也不建议采取手术切除的办法治疗,很可能手术无效。
针对较大的跟骨骨刺暂时不建议采取冲击波治疗的办法,可能会导致骨刺骨折。
骨质疏松导致的跟痛
以往我们针对骨质疏松诱发的症状认识不够深入,随着这些年针对骨质疏松疾病的重视,这个号称伤人于无形的“寂静杀手”也开始渐渐显露它的真颜,很多以往原因不明的骨痛也逐渐被大家发现。
我们建议65岁以上的女性、 70岁以上的男性以及50岁以后有过骨折的人群,如果出现跟骨骨痛,建议检查双能X线,明确是否存在骨质疏松,并给与针对性的治疗。
以上是一些常见的诱发跟骨疼痛的病因,下面给大家介绍一下一些比较少见的诱发跟痛的疾病。
Haglund综合征诱发的跟骨痛
这种疾病其实并不少见,只是很多时候并没有被诊断出来,只是当做了普通的跟腱炎去治疗了。下面这个患者就是谢医生在门诊发现的一例这种疾病的患者照片,看过之后大家就会对这种疾病有一个比较深的认识。

这个疾病有三个特点,就是跟腱止点处的无菌性炎症、骨性增生肥大以及皮下或跟腱下滑囊炎,这其中以骨性的增生肥大最为显著。在这个疾病的早期,骨质增生并不影响生活的时候,我们采取保守治疗的办法。当发展到晚期需要的治疗和其他的跟痛疾病不同,我们建议手术治疗,切除增生的骨赘,重建跟腱。

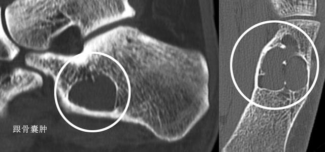
跟骨囊肿诱发的跟痛
说到这个疾病谢医生是感到非常愧疚的,因为在这个疾病上吃过亏。
十余年前有一个朋友的孩子因为跟痛找到了我,当时经验还是比较浅薄,查体之后简单判断了是由于跑跳诱发的跟腱炎,未给与重视。后来一周后疼痛加重,检查X光才发现是跟骨囊肿,还好并未影响孩子的治疗,否则后果不敢想象。
所谓吃一堑长一智,也是从那以后我都会建议跟痛的患者做一个X光检查, 排除囊肿和骨破坏的可能。

小的囊肿一般不会有任何症状,但是如果囊肿较大,产生了疼痛症状,建议手术切除囊肿给与植骨的手术治疗,否则随时有跟骨骨折的风险。
赛佛病---孩子也会得的跟痛症
足部是第一个成长为全尺寸的身体部位之一。这通常发生在青春期早期。在此期间骨骼通常比肌肉和肌腱生长得更快。结果肌肉和肌腱变得紧绷,使鞋跟区域变得不那么柔软。在承重活动期间,会伤到脚跟诱发疼痛导致塞弗病(Sever's Disease)。
赛佛病主要的症状是在运动时,尤其是跑跳时出现明显的足跟痛。
在生长突增期间,您的孩子在青春期早期受伤的风险最大。
Sever病在8至10岁的身体活跃女孩中最常见。最常见的是10岁至12岁的身体活跃男孩。足球运动员和体操运动员经常得到塞弗病。任何跑步或跳跃活动的儿童也可能面临更大的风险。Sever's疾病很少发生在年龄较大的青少年身上,因为足跟的背部通常在15岁时完成。

这种疾病诊断主要还是依靠核磁检查,在核磁图像中我们可以看到明显的跟骨周边的无菌性严重表现,从而判断孩子是否得了赛佛病。
这种疾病的治疗以保守治疗为主,冰敷、休息以及外用药物可以得到很好地治疗效果。
疾病治疗的难点不在于治,而在于是否能否发现孩子患病!
总结
足跟痛的常见原因主要还是见于足底的筋膜炎以及跟腱炎,但这不代表是所有诱发足跟痛的原因。今天比较详尽和大家介绍了一下诱发跟痛症的其他多种原因,限制于篇幅有一些特别少见的疾病并未再给大家展开,比如跟骨脂肪瘤等疾病。

足底筋膜炎和跟腱炎有特异性的症状,诊断并不困难,但是很多人都会常年的受到足底筋膜炎和跟腱炎的困扰,临床上治疗效果并不是很好。谢医生本人也有足底筋膜炎,也曾经写过文章总结作为一个医生是如何治疗足底筋膜炎的。本人认为很多患者治疗效果差的原因主要在于针对这个疾病的不在乎。
如果大家详细看过我写的文章的话,大家应该看到我把休息冰敷以及拉伸放到了第一第二和第3点,这往往是我们改变症状最关键的点。
但是往往很多患者一旦出现足跟痛一开始不在乎,所以错过了最佳的治疗的时间。一般谢医生门诊看过的患者都是疼痛超过三个月左右以后才来医院寻求帮助的。到了这个时候,很多患者来到医院查体确诊是足跟痛的时候,首先第一点都会询问您能给我开点药吗?让我立刻好。其实这时已经错过了最佳的治疗时机。往往到了这个阶段,进行拉伸、冰敷或者休息,并不会让患者很快的缓解痛苦,所以很多患者就坚持不下去。从而导致了足跟痛的治疗效果相对较差。
但是有了冲击波治疗以后,为我们治疗足跟痛提供了另一个好的选择,个人的感觉冲击波的治疗可以媲美局部封闭的治疗,关键对患者没有创伤,个人是强烈推荐这种治疗方式的。
写了很多,希望能传播给大家一些关于足跟痛的知识,也希望对所有被足底筋膜炎和筋膜炎困扰着的患者提供些许的帮助。以上的这些治疗建议不代表是所有的治疗方式,只是我个人的一些感悟和经验,也希望有经验的朋友和老师能不吝赐教,给与指导,大家共同进步。
我是坚持用简单语言解释复杂疾病知识的谢新辉,码字不易,如果您赞同我的点,请帮忙点个关注或点个赞吧,谢谢!
