几年前遇到一个病人,73岁的老太太,十年前做过右肾癌根治术,把整个右肾都切除了。手术后恢复的很好,一开始几年年年去复查,过了5年,一直很好,没有任何问题,自己包括家人都认为这癌症是治好了,确实,效果很好,没有复发,没有转移。老太太甚至连头痛脑热都很少。
十年后,老人73岁了,有几天胃口不太好,就去医院检查,做了腹部B超,发现胰腺有问题。
胰腺是人体重要的器官,有内分泌腺和外分泌腺,外分泌腺协助消化系统工作。内分泌腺则主管血糖调节等等各种功能。这个器官跟其他*体器人官**一样,会生各种各样的毛病,有原发也有可能继发。

胰腺是图中的pancreas
那这次胰腺有问题,会跟10年前的肾癌手术有关系吗?赶紧做增强CT吧。CT出来了,胰腺上长了一个不到一厘米的小瘤子,增强扫描明显强化,提示血供很丰富。

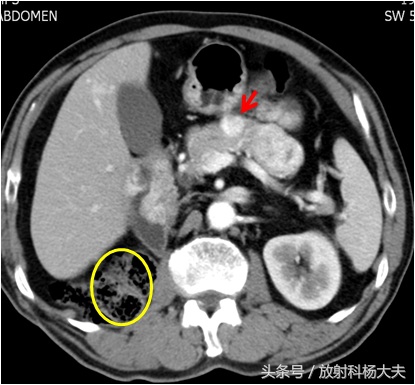
图中黄圆圈应该是右肾的位置,10年前因为肾癌全切掉了。红箭所示的白色结节就是胰腺的转移瘤,血供丰富
一般胰腺的肿瘤,比如常见的胰腺癌血供大多数不丰富,病人会出现体重降落,黄疸等症状。这个老人不符合。另外一种常见的血供丰富的肿瘤就是神经内分泌肿瘤,如乔布斯先生,就是恶性神经内分泌肿瘤肝转移的。多数会出现一些神经内分泌方面的症状,老人查了,各种激素都很好。那就剩一种可能,肾癌转移到胰腺了,老人的肾癌是一种叫透明细胞癌的常见类型,血供丰富,所以它的转移瘤也血供丰富。
肾癌发生胰腺转移的特点是往往实在术后多年,如本例的10年,甚至还有报道17年后发现胰腺转移的。而术后5-10年不复发,不转移,一般人都会认为这是癌症治愈的表现。因此,癌症是防不胜防。不过好在,肾癌胰腺转移的预后较好。

胰腺转移瘤比较少见,是肿瘤的晚期表现,好发于中老年人,在胰腺恶性肿瘤中占2%- 5%,在一组基于胰腺穿刺的大样本中,原发恶性肿瘤有3%-11% 的概率发生胰腺转移。发生胰腺转移的肿瘤最常见的是肺癌,其次是胃癌和肾癌。