这周,联合来了一位年仅3个月的骨折小患者——六一,一只小狸花。3个月的猫咪正处在最活泼调皮的阶段,却不幸“玩脱了”。

六一小朋友
根据主人来院描述,猫咪六一从高处跳下后,左前肢悬跛行,患肢肿胀敏感,猫咪食欲降落,疼痛反应明显。

经过DR诊断发现,这并不是六一第一次骨折,而是陈旧性骨折愈合过程中发生了二次骨折!

小小年纪就经历了两次骨折,生活不易,猫猫叹气......

术前x-ray显示,六一的骨折为 左前肢肱骨中远段骨折 ,骨折类型为横骨折。

手术中

手术中

手术中

术后X线片
六一小朋友的年龄仅有3个月,体重仅1kg,针对这样的幼猫,陈旧性骨折发生二次骨折的内固定手术无疑是一个严峻的挑战。六一的主治医生张海峰院长使用接骨板板对六一进行了骨折的内固定。
由于猫的骨骼结构与狗不同,针对肱骨远端骨折,尤其是粉碎性骨折,猫的手术会比狗难度更大、更棘手。

一例猫肱骨远端内侧踝骨骨折
下图是狗的肱骨(上腕骨)结构,肱骨末端的那个洞就是冠状窝,与下方尺骨的鹰嘴窝构成了前肢的肘关节。

但猫就不同了......

猫咪的肱骨远端仅有一个附孔,孔中有神经穿过 ,手术稍有不慎就会损伤神经,对医生技术的要求非常高。
可喜的是,经过内固定手术后的六一第二天就能下地了。早日康复哦小六一!

术后恢复中的六一
骨折,无论是放在人身上还是动物身上,都是一件大事。
可能有人会觉得,养猫家中封阳台封窗,养狗出门牵绳,只要毛孩子们不跳楼不出车祸,这等大事横竖不会摊到自家宠物的头上。但是,六一的案例足以为我们敲响警钟。即使弹跳性好如猫,也会因从高处跳下而骨折。
骨折在宠物身上,从来都不是什么罕见病!
当家中宠物不幸骨折,有不少网友会在网上咨询:
猫咪骨折能不能自愈?
狗狗骨折能不能保守治疗?
猫咪骨折了喂钙片能好吗?
家里狗骨折了,太贵了不想治怎么办?

麻!你不爱我了我!
首先需要承认的是,猫咪狗狗的恢复能力确实很强,即使是骨折恢复速度也比人类更快。但这并不代表它们骨折就可以不接受任何手段的治疗自行痊愈。

无论是何种类型、程度的骨折,是需要手术还是保守治疗,只要发现猫咪狗狗有骨折的迹象,必须要做的就是送医检查。
那么,我们要如何判断宠物是否骨折呢?


当猫咪狗狗骨折时,会有程度不同的疼痛和压痛,骨折处的疼痛最为明显。 因为疼痛,骨折的猫狗会明显地表现出拒绝主人的触碰。


由于骨的正常连续性中断,骨折处尖端还可能会刺伤周围组织,软组织损伤、肿胀疼痛都会导致活动时疼痛会加剧,骨骼功能明显受到障碍,活动明显受限。骨折的猫咪狗狗,尤其是四肢发生骨折, 主人可以视察到宠物患肢难以着地,跛行甚至无法站立等症状。


骨折通常会引起周围组织损伤、肿胀和瘀血,皮肤表面可能会出现瘀斑, 骨折处可视察到肿胀 。但如果骨折位置较深,如股骨颈骨折,肿胀则不明显。


骨折端因受外力作用、肌肉牵拉、肢体或骨本身重量的影响,可发生明显的移位,使伤肢发生相应的畸形。 如用手摸,常感到凸凹不平,压之则产生剧烈疼痛。


开放性骨折时通常伴有软组织的重大外伤、出血及骨碎片。这种情况下,猫咪或狗狗全身症状明显,疼痛不安,有时体温升高,可能拒食。


骨折的猫咪或狗狗还可能出现精神不振、食欲不佳、饮食废绝。某些部位的骨折也会有特有的表现,如脊椎骨折可能出现肢体麻痹不能动弹的症状;肋骨骨折可能造成呼吸困难。
当你发现自家毛孩子出现了任何异常(包括但不限于以上症状),请第一时间送医。当然,如何把一只骨折的狗或猫送到医院也有讲究。

这样的包包就不要再用了!
虽然网络上有各种宠物骨折后的急救措施,如消毒,固定。但是,我们不建议毫无经验的主人自行处理,擅自使用夹板固定。因为, 如果处理不当,或是猫咪狗狗因疼痛挣扎严重,可能加重病情 。
主人需要做的,就是小心移动受伤的宠物, 用足够大的航空箱、硬质宠物包或是纸箱把宠物运送至医院,让医生做检查和处理。

当怀疑或是通过相应症状确定了自家宠物已经骨折,接下来,需要做的就是进一步的专业检查。
骨折的主要检查方法


X线想必大家都不会陌生了。无论是宠物还是人类,大多数的骨折都是通过 X 线片检查,适用于大多数的骨折的类型。X 线片都是平面成像,为了成像的准确, 一般都要从不同的投射方向进行检查 , 有时从一个侧面上看不到骨折线,但从另一个角度就可能看到骨折线。


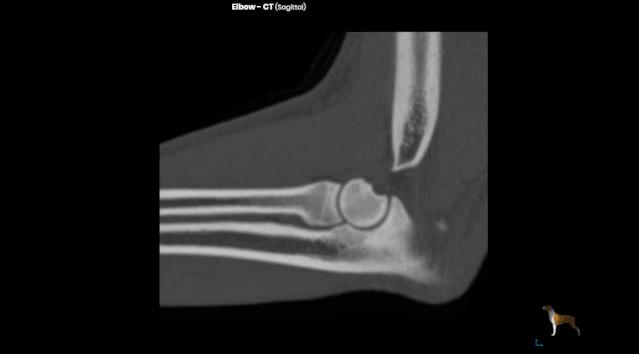
CT也是一种 X 线检查,它能对骨折部位进行多层的扫描,提供每一层的截面图像,使骨折的图像显现避免了其他组织的干扰,更清楚地显示出来。在普通的X线片上显示不出来骨折都能在CT片上清楚地显示。


MRI即磁共振成像,又叫做核磁共振。MRI 图像有很高的分辨率,特别对骨和骨之外的软组织具有特殊的鉴别力。MRI 可以很清晰地显示骨周围的肌肉、脂肪、神经、脊髓、韧带等软组织。
扒完了骨折的症状与检查方式,接下来再谈一谈造成猫狗骨折的原因 。
猫狗骨折的主要原因


直接或间接的*力暴**都可导致犬猫骨折。摔倒、奔跑、跳跃时扭闪、重物轧压、肌肉牵引、突然强烈收缩等都可引起骨折。车祸、高处坠落、打架及人为的打击都是犬猫骨折的常见原因。像车祸、坠楼这类因素造成的骨折极有可能是开放性骨折,导致感染及骨髓炎的概率很高。


某些疾病,如骨质疏松、骨髓炎、骨肿瘤、佝偻病、骨软症等,或是先天骨骼发育不良等都使犬猫发生骨折的概率增加。
宠物骨折到底该如何治疗呢?
具体的治疗方案需要根据医生的检查和诊断来制定。除去保守治疗,总得来说,手术的方法不过五六种,听起来很简单对不对?
实际上,骨科手术是个体力活,加上骨折位置各不相同,骨骼周围各种神经密布,如脊椎处的脊神经控制着身体从内到外的躯体运动,骨科手术的难度和复杂程度可见一斑。根据骨折情况不同,医生也会结合多种骨折的固定方式进行手术。



主要用于一些大块的非粉碎性骨折 。用骨螺钉加压,使骨折断端之间紧密联合,实现骨折断端之间的挤压,让骨折处的复位和固定,恢复骨骼的稳定性。


接骨板(钢板、钛合金板)几乎可以用于任何部位的骨折。文章开头讲到的六一就是用这种方式进行的固定。接骨板可按不同的部位可以设计成不同的形状,同时,根据力学原理的不同还分成不同的种类。




髓内针固定是在骨髓腔内插入较粗的钢针使骨折复位和固定。髓内针技术对手术的硬件和宠物医师的操作技术要求更高。




钢丝通常使用环扎术和半环扎术。钢丝也常与髓内针和接骨板联用,从而更加稳固的固定骨折。环扎钢丝固定广泛使用于各类骨折内固定,如指骨骨折、骨裂,还常用于一些不完全骨折,常与其他方式搭配使用。




当宠物的保守治疗不能满足需要,而宠物 又不适合或者不能接受复杂的内固定手术时,外固定支架固定手术是非常合理的选择。


主要是髋关节置换手术。人工关节置换手术是一些股骨颈骨折的首选方法。在一些美国、欧洲、日本的动物医院临床应用比较广泛。


金吉拉胖嘟嘟,在家自己玩,回家主人发现躲沙发底下不出来,强行拉出来后,发现后腿流血跛行,去其他医院检查发现为开放性骨折,主人也是惊呆了,在其他医院做了初步处理后转诊联合。




开放性骨折最让人担心的就是感染问题,因为骨折断端暴露在外界,大量的细菌能够轻而易举进入骨髓腔,导致骨髓炎,最终结果就是骨不愈合、骨头坏死甚至后期需要截肢才能保住生命。
为保证手术成功率,手术采用双骨板技术进行内固定,大量的杀菌药物反复由内到外一层层组织冲洗,后期配合有效的抗生素治疗,恢复速度惊人。
视频加载中...
视频中分别是胖嘟嘟术后的第一天、第三天、第七天。胖腿腿“长势”喜人~


布偶二筒从七楼摔下,屁股被晾衣架戳出一个洞,强大的冲击力把坐骨直接折断成三块,坐骨结节完全游离。
坐骨下方碎片与坐骨棘能够连接处仅剩1毫米左右宽度,勉强拼出闭孔形状却无处固定。
最后只能先拼凑出后方骨块,再通过后方坐骨结节强大的骨皮质与闭孔前端坐骨棘连接,术后非常漂亮,与正常侧基本完全对称。





宠物骨折术后如何帮助恢复?
●骨折初期:关在笼子里静养,尽可能地限制其活动,这种方法有利于骨骼在骨折初期的愈合。
●骨折中期:一般情况下,2周后局部肿胀消退、疼痛消失、软组织修复,骨折端已被纤维连接且正形成骨痂。此期应开始进行骨折上、下关节活动。
●骨折后期:这一阶段应继续加强骨折周围及全身关节的活动,加强患肢主动活动,增加关节活动范围和促进肌肉力量的恢复。可以给骨折的猫咪狗狗补充钙和一些微量元素,有利于其骨骼的恢复和健康成长。
●定期复查骨骼恢复情况,以预防二次骨折的发生。
●骨折后的适当活动很有必要,不可长期关在笼中静养。

如何防止骨折的发生?
●带狗狗出门牵绳,可预防绝大部分车祸、咬伤等造成的骨折。
●封阳台封窗,防止坠楼的发生。
●针对爱跳高的宠物,尤其是老年猫,在冰箱、衣柜等较高的家具处设置可缓冲的“跳台”,防止从高处跳下而骨折。