乳腺增生性疾病是乳腺外科中常见的一种疾病,占乳腺专科门诊病人数的80%以上,明显影响女性健康。
乳腺增生症又名乳腺结构不良症,国外多命名为乳腺囊性增生症,而针对中国妇女,在近万例乳腺增生病例中,出现肉眼囊肿不过3%,显微镜下囊肿不过20%,以囊肿为主要病变表现的乳腺增生症不过9%,因此,有学者建议该病正式命名为“乳腺增生症”。
一、乳腺增生症的病生病理
正常妇女乳腺的发育及变化受性激素调节,其腺体和间质随女性周期(月经周期)的性激素变化而重复增生和复旧过程。在卵泡期,雌激素作用使乳腺腺体的末端导管和腺泡上皮细胞增生,DNA合成及有丝分裂增加,间质细胞增生,水分潴留;在黄体期,雌激素和孕激素共同作用,促进正常乳腺小叶中导管、腺泡结构生成,同时孕激素调节和拮抗部分雌激素的作用。

抑制细胞的有丝分裂,减轻间质反应,通过抵消醛固酮在远端肾单位的作用,促进肾脏的水、盐排出;黄体期末,腺泡上皮细胞高度分化,在基础水平催乳素的作用下,腺小叶可生成和分泌小量液体;在月经期,由于下丘脑-垂体-卵巢轴的反馈抑制作用,性激素分泌降低,伴随着月经周期开始,乳腺导管-腺泡结构由于失去雌激素支持而复旧。如此循环往复,维持着乳腺的正常结构和功能。

在育龄期妇女各种原因引起的卵巢分泌功能失调,导致在月经周期中雌激素占优势,孕激素绝对或相对不够,或黄体期相对缩短,乳腺组织长期处于雌激素优势的作用,使之过度增生和复旧过程不完全,造成乳腺正常结构紊乱即导致本病发生。
患者可在卵泡期血浆雌二醇含量明显高于正常,在黄体期血浆孕酮浓度降低,雌激素正常或增高,黄体期孕酮浓度低于正常,可降低至正常的1/3或出现黄体期缩短。
部分患者可伴有月经紊乱或既往曾患有卵巢、子宫疾病。在绝经期后,卵巢分泌激素锐减,乳腺小叶腺泡结构萎缩,代之以脂肪和结缔组织,仅较大的导管保留,此时往往乳腺增生明显改善。但如果绝经后应用雌激素替代治疗,因缺乏孕激素的协调作用,易导致乳腺导管上皮细胞增生。

乳腺增生症在疾病的不同时期其病变特征不同,使病理组织学改变形态多样,其基本过程为:
初期:首先引起上皮下基质反应,结缔组织水肿、成纤维细胞增生,在典型病例黄体末期乳房实质体积可增加15%,患者出现月经前期乳房胀痛。继之乳腺小叶内腺上皮细胞增生,并可有分泌现象,如卵巢功能失调恢复,组织学改变可完全恢复正常。
进展期:乳腺小叶增生进一步发展,腺小叶增大甚至相互融合,致使小叶形态不规则,变形。部分腺小叶因纤维组织增生使原结构紊乱,部分区域导管增多、密集、受压,并有纤维组织增生,呈腺瘤样改变,此时临床查体易与乳腺肿瘤混淆。部分导管腺体内液体集聚而表现为较弥散的小囊肿,亦称为纤维囊性增生症。
慢性期:因纤维组织增生压迫血管,乳腺小叶退行性改变,导管-腺泡系统萎缩、变硬,间质透明变性,存留的导管或腺泡可扩张。常见纤维组织包绕到扩张导管内上皮细胞增生。部分表现为孤立的较大的囊肿。
需要指出的是上述过程常常不能截然分开,可在病灶中同时存在进行性和退行性变化,因而组织学上表现为以某一形态为主的多形性改变。
二、乳腺增生与乳腺癌的关系
已有的临床、病理和流行病学研究表明,乳腺良性疾病癌变是乳腺癌发生的重要原因之一,其机制尚不清楚。乳腺增生症是最常见的乳腺良性疾病之一,它与乳腺癌的关系一直为人们所重视。

早在上世纪中期就有很多学者通过对乳腺癌旁病变共存性研究和临床回顾调查的结果,提出乳腺囊性增生病与乳腺癌相关。
其中最重要的文献包括Duppont和Page等1985年在新英格兰医学杂志发表了超过1万例随访17.5年的结果。
其结论明确提出:
1、下列病变癌病的机会甚少,如囊肿病、导管扩张、硬化腺病、硬化病及纤维腺瘤病;
2、活检发现轻度上皮增生症及大汗腺化生,在45岁以下无明显意义;
3、乳腺不典型增生癌发生率较对照组增加4.7倍,如有乳腺癌家族史,乳腺癌发生率增加近10倍。证实了乳腺上皮增生和不典型增生与乳腺癌发生的关系。此后又进一步将活检明确的不同病理形态学病变妇女与同龄未取乳腺活检妇女比较,以随访10~20年发展成乳腺浸润癌的比率作为危险度。

把乳腺囊性增生病按组织学类型分为囊肿、大汗腺化生、腺病、硬化性腺病、炎症、钙化、导管内乳头状瘤和(或)上皮增生,经随访发现非增生性病变,如囊肿、大汗腺化生、腺病、硬化性腺病或炎症等,与普通人群比较,乳腺癌发生危险性并不增加;有乳腺导管上皮增生无不典型增生者包括一般性、中度增生,危险性轻度增加(发生乳腺癌的危险为对照组的1.5-2倍);有上皮不典型增生者,包括导管不典型增生和小叶不典型增生,危险性中毒增加(发生乳腺癌的危险为对照组的4-5倍);而原位癌包括小叶原位癌和导管原位癌,发生浸润性癌的危险性高度增加(发生乳腺癌的危险性为对照组的8-10倍)。
明确了良性病变癌病与不典型增生的关系,其发展过程为正常乳腺上皮细胞――一般性增生上皮细胞――不典型增生上皮细胞――原位癌――浸润性癌。
三、乳腺增生症的临床表现与诊断
患者多为育龄期女性,以30-40岁发病率较高。主要表现为乳房疼痛、压痛、腺体局限性增厚或形成包块。初期可能在一个乳房,以乳房外上象限居多,之后逐步发展为多灶性,双侧乳房均可发病。病程常较长,初期往往与月经有关,表现为月经前疼痛加重,月经后逐渐减轻,发展到一定程度后乳房疼痛渐失去规律。

部分病人可有乳头溢液,多为双侧多个乳腺导管溢液,溢液可为水样、黄色浆液性、乳样或呈混浊样,需与乳腺癌或乳腺导管内乳头状瘤所致乳头溢液鉴别。40%-60%伴有月经不规则、经期提前、痛经、月经过多或有卵巢囊肿。
另外,多数病人的乳房疼痛常为吵架,生气等剧烈的心理与情绪变化所诱发和加重。绝经后乳腺腺体萎缩,逐渐被脂肪组织所代替,多数患者的症状、体征可缓解。
乳腺增生症的临床诊断标准尚不统一,目前临床上一般以女性有明显乳房疼痛、乳房团块样增厚或伴有多导管乳头溢液者诊断为乳腺增生症。

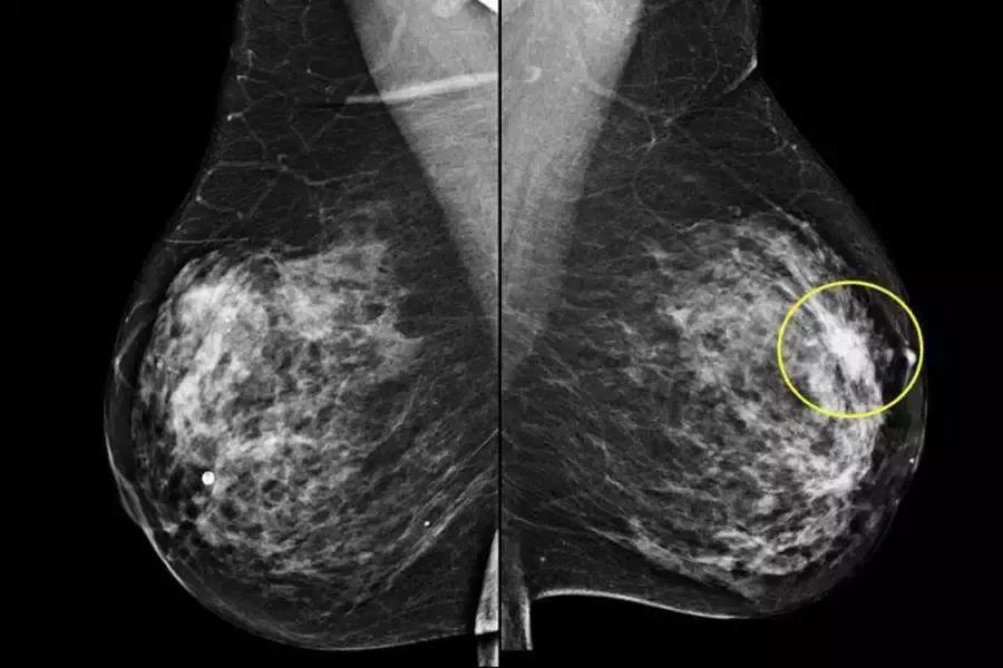
辅助检查是进一步明确诊断的手段,主要包括彩色超声检查,乳腺X线钼靶摄片和选择性乳腺导管造影X线检查,对有乳头溢液者还可选择进行纤维乳管镜检查。
对可疑病灶进行病理学穿刺活检排除乳腺癌。对乳腺增生症病理形态学诊断仍然是临床诊断的金标准。
需要指出的是,针对40岁以上的女性患者,特别是有乳房局限性增厚或肿块样改变者,不能轻易诊断为乳腺增生症,需要进行上述检查排除乳腺癌之后方可诊断为乳腺增生症。
四、乳腺增生症的治疗
乳腺增生症的治疗主要包括以下四方面:心理治疗;药物治疗;手术治疗;随访视察。
1、心理治疗
传统认为乳腺痛的女性常伴有神经质表现。针对一些乳房疼痛轻微,体征不明显但又表现出非常紧张情绪的乳腺增生患者,可给予心理安抚治疗。
此类患者往往非常重视乳腺疾病,常常怀疑自己是否患有乳腺癌,这类患者可给予相应的辅助检查以解除患者的顾虑,并给予讲解乳腺增生相关方面的知识,打消其恐癌心理,往往收效甚好;还有一部分患者应因家庭和夫妻关系不和睦,常常生气,过度焦虑,这部分患者一定要嘱其尽量克制自己的情绪,多参加户外活动和社交活动,保持平和的心理,学会自我心理调节,必要时给予调节植物神经功能的药物治疗。
2、药物治疗
临床上针对不同情况对乳腺增生症患者给予有针对性的积极治疗,并密切监测随访,以预防和早期发现乳腺癌。常用的药物包括以下几类:
① 中药类
乳腺增生症的中医辨证分析主要包括肝郁气滞型,痰瘀交结型,肝肾亏损型,冲任失调型。治疗本病的中药、成药包括调理冲任、疏肝解郁、活血化瘀、软坚散结、舒筋通络、散结止痛等作用的药物,根据患者具体情况选用常有一定疗效。
② 维生素类药物
维生素A、B、C、E能保护肝脏及改善肝功能,从而改善雌激素的代谢。维甲酸是上皮细胞的生长和分化的诱导剂,对预防乳腺癌的发生有一定作用。维生素E可防止重要细胞成分过氧化,对维持上皮细胞的正常功能其重要作用。目前维生素类常作为乳腺增生症治疗的辅助*药性**物,但也有资料显示其疗效并不高于安慰剂。
③ 激素类药物
❶ 三苯氧胺具有雌激素样活性,作为雌二醇的竞争剂竞争靶细胞的雌激素受体而使雌激素对靶细胞失去作用,而不影响血浆雌激素水平。对乳腺不典型增生细胞生长具有抑制作用,对乳腺增生症有较好疗效。但该药可引起月经紊乱和阴道分泌物增多,应在医生的指导和视察下用药。

❷ 溴隐亭是半合成的麦角生物碱衍生物,具有多巴胺活性。可抑制催乳素的合成和释放,并可直接作用与垂体前叶,解除催乳素对促性腺激素的作用而促使黄体生成激素的周期性释放等,对治疗乳腺增生症有一定疗效。该药常引起恶心,呕吐,严重者有体位性低血压,需要在专科医生指导下用药。
❸ 甲基睾酮,丹那唑等系雄激素药,可对抗雌激素,抑制卵巢功能,对乳腺增生起一定的治疗作用。
④ 其他药物
❶ 天冬素片,原由鲜天冬中分析提取,后经人工合成,有效成分为天冬酰胺,临床验证对部分乳腺增生症有治疗作用。
❷ 碘制剂类,其作用是刺激垂体前叶,产生黄体生成激素以促进卵巢滤泡囊黄体素化,调节和降低雌激素水平,从而治疗乳腺增生症。

❸ 月见草油,含活性成分伽玛亚麻酸(GLA),属必需脂肪酸(EFA),可有效地缓解乳腺疼痛,但作用很慢,治疗两个月后起效,但明显的效果要在用药后4个月。它在中度疼痛和希望继续口服避孕药的妇女中较为常用。
⑤ 用药方法及关注事项
乳腺增生症的治疗一般首选以中药或中成药为主的联合用药,并辅以维生素类药物。一般而言,所选药物既要缓解症状,又要达到调整机体周期性激素平衡,防止增生性病变发展之目的。因此用药时间一般应以2-3月为一个疗程,连续用药,待症状完全缓解、乳腺增生主要体征消失、辅助检查提示病变好转或消退后可停药。

应用三苯氧胺需掌握指征,一般用于雌激素水平过高,其他药物治疗效果不佳者,针对40岁以上发病患者、有乳腺癌家族史和其他高危因素、活检证实有乳腺上皮不典型增生者应首选三苯氧胺治疗。
3、手术治疗
针对药物治疗效果不好,有乳腺癌高危因素和不能除外癌性病变者可考虑用手术方式进行检查和治疗。

(1) 空心针活检术
针对乳腺增生局限性增厚,疼痛无规律性,药物治疗效果不好,40岁以上出现乳腺增生症状者,以及有乳腺癌家族史者或辅助检查发现有可疑病灶者,应积极行空心针穿刺活检,必要时在B超或X线定位下穿刺以提高对微小病灶的诊断准确性。该方法较之其他手术有微创和无(或微)疤痕之优点。
(2) 包块切除术
对乳腺增生症经一般药物治疗无效,或治疗后其他增生性病变改善而孤立的乳腺肿块不消失者,合并有单个乳管溢液者,超声或X线提示有瘤样病灶者应积极行包块切除术,术前做好乳癌根治术的准备工作。
(3) 乳房切除术
对活检证实有多灶性Ⅱ级以上不典型增生者,伴有乳腺导管内乳头状瘤者,或同时证实有乳腺癌易感基因(BRCA1/2)突变者应行乳房切除术,此类病人可以选择腔镜乳房皮下切除加一期假体植入术,这样可以在切除病灶的同时恢复女性乳房完美形态。
4、随访视察
针对具有高危因素的乳腺增生患者,在积极治疗的同时应制定合理的随访视察方案,应至少半年复诊一次,对极高危者需每季度复诊一次,警惕乳腺癌的发生。初诊时教会患者做自我检查。

五、乳腺增生症的预防
随着人们生活水平的提高和生活节奏的加快,乳腺增生症的发病率逐渐上升,因此,采取积极的防治措施非常重要。
结合乳腺增生的发病机理,我们认为应当从以下方面进行预防:
1、选择适宜的年龄结婚生子;
2、产后尽量母乳喂养;
3、平时关注采取有效的避孕措施;
4、关注保持规律而有质量的*生活性**;
5、生活中善于调整自己的情绪,保持开朗和平和的心态;
6、多方位采取科学的生活方式,起居有规律,少熬夜,戒烟戒酒,低脂肪饮食,少喝含咖啡因、茶碱、可可碱等成分的饮料,慎用丰胸产品,选用合适型号的支撑型胸罩等;
7、积极防治各种妇科疾病;8、每年进行一次乳腺专科检查。