
本文为作者授权医脉通发布,未经授权请勿转载。
第二十六章: 弓形虫——老鼠的壮胆酒
钟爱,一位30岁柔美典雅的女性,一位不幸的AIDS患者,孑然一身,唯有一只家猫伴其左右。
此猫唤作一一,代表钟爱此生唯一的精神寄托。
一日傍晚,钟爱坐在家中的沙发上看书,一一似睡非睡的倚在房屋的一角,忽然从厨房里窜出一只老鼠,一一的耳朵瞬间竖了起来,老鼠也显然看见自己的天敌,按理说老鼠本能反应是撒腿就跑、溜之大吉,可奇怪的是,这只老鼠竟然毫无畏惧,大摇大摆的踱步朝着猫的方向走去。
钟爱看着眼前的一幕,对老鼠的反常行为诧异不解,好奇心驱使她继续坐在沙发上暗暗视察。
一一显然也觉得奇怪,但到了嘴边的美食哪有不吃的道理,待老鼠走到其身旁,一一以迅雷不及掩耳之势伸出猫爪,将老鼠死死压住,饱食一顿。
吃老鼠的过程实在有些血腥,钟爱还是第一次见一一吃老鼠,看的直作呕,待整个捕食过程结束,她捉紧清理了“战场”,打开了窗户,自己到卫生间清洗了好一阵子。
生活依旧平淡无奇的日复一日,几天后,那只因“盲目自大”而“枉送性命”的老鼠,早就被无足轻重的挤到了钟爱记忆里的一个偏僻角落,唯一让她稍感烦恼的是,一一最近总是无精打采,焉焉的不爱吃东西。
一一可是钟爱的心肝宝贝,她看着心疼,对一一的起居更是无微不至,打扫猫房,清理猫便,经过钟爱的细心照料,一一很快康复,重拾昔日活力。
然好景不长,猫咪没事了,钟爱自己却开始不舒服,她开始有低热,并逐步出现头痛、厌食、嗜睡的症状,而且记忆力也有降落。
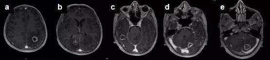
她不敢耽搁,到医院就诊,做了头部MRI(见下图)和肺部CT,提示:颅内多发占位:转移瘤?、右侧肺炎。
诊断过程并不复杂,因为钟爱就诊之初就坦承了自己AIDS的病史,常与AIDS相伴的肿瘤是中枢神经系统淋巴瘤,常与AIDS相伴的生物源性感染是弓形虫、结核分支杆菌、隐球菌、梅毒螺旋体等。弓形虫作为AIDS患者最常见的颅内占位性病变,血和脑脊液弓形虫抗体是必查项目。

钟爱的头部MRI虽然报告转移瘤可能,但临床和病程演变更像是感染性疾病,结合其弓形虫抗体IgM、IgG均为阳性,故高度怀疑弓形虫脑病,即可启动了磺胺类药物的治疗,2周后复查头部MRI,提示大部分病灶已消失,小脑和左侧顶叶的病灶也明显缩小。
诊疗过程异常顺利,但作为钟爱的责管医生,找到感染的源头至关重要,因为弓形虫和猫之间密不可分的关系,王小鹏很自然的问到了钟爱的养猫史,钟爱身体恢复,很是高兴,兴奋之余,谈起了她亲眼目睹的“猫鼠之战”,说到那只“不怕死”的老鼠,她现在仍然感叹:世界之大,无奇不有。
王小鹏听完,已深知感染源头之所在,哪有什么离奇之事,啮齿动物和灵长类动物被弓形虫感染后会导致微妙的行为变化,这对啮齿动物来说是很危险的,可能会使小鼠因为不再“胆小”而被猫吃掉,从而使寄生虫传播到猫的身上,感染了弓形虫的猫会出现发热、困倦、厌食等症状,并且在感染急性期排除的弓形虫的卵囊,卵囊的生命力强,人接触误服后就会感染弓形虫。
弓形虫也是个欺软怕硬的主,对正常免疫力的人,它无可奈何,但AIDS患者,免疫力低下,CD4+的T细胞明显低于正常,弓形虫就可以攻击大脑,严重时可引起坏死性脑炎。
王小鹏建议钟爱不要再养猫,如果实在割舍不下,一定要吃正规猫粮,宠物定期检查。养狗几乎不会感染弓形虫,养只狗作伴也不错。
知识点
弓形虫是一种较为常见的寄生虫,大约30%的人身上都存在这种寄生虫。弓形虫能够感染许多物种,如黑猩猩、老鼠、人类等。但是,它们生命周期中有一定时期是呆在猫身上,目的在于繁殖。
当然,针对大多数免疫系统健康的人来说,这种弓形虫通常是无害的。但在免疫系统受损的个体可能会出现严重的弓形虫感染并出现感染并发症,甚至会对眼睛,大脑以及其他器官造成伤害。
处于妊娠期的母亲也可以将弓形虫传给未出生的孩子,造成严重的后果。弓形虫可能会导致胎儿产生畸形,这也是目前胎儿畸形的几个主要原因之一,所以孕期妇女应该避免与猫接触。
感染了弓形虫的老鼠性格会发生改变,由“谨小慎微”变的“盲目自大”,可能会使老鼠因为不再“胆小”而被猫吃掉,从而使寄生虫传播到猫的身上。
弓形体脑病是AIDS患者最常见的脑内占位性病变,随着抗逆转录病毒治疗的普及,该病的发病率在逐渐降落。弓形虫是专性细胞内寄生虫,主要包括卵囊、组织囊和速殖子等三种形态,猫科动物为其最终宿主,由粪便排出后卵囊后,由进食受感染的猪肉、羊肉等传染给人,在肠道中释放出速殖子,通过血流播散,并在有核细胞内增殖,存活的虫体主要藏身于脑、心肌、肺、骨骼肌和视网膜中,一般处于休眠态势直至宿主死亡。据报道全世界约有1/3的人群存在弓形虫慢性感染,随着AIDS患者细胞免疫的不断衰退,尤其当CD4+T淋巴细胞数低于100/ml时,弓形虫潜伏感染被激活,转而攻击宿主,导致弓形虫脑病的发生,额叶和顶叶是最常受累的脑区,尤其是皮髓交界区和基底节区,颞叶、枕叶、小脑或丘脑亦可受累。头痛和发热是TE最常见的临床表现,发生率高达90%,意识模糊、嗜睡亦很常见,也有以癫痫为首发症状者。
弓形虫脑病患者大多数血清抗弓形体抗体阳性,通过留取脑脊液标本行PCR检测弓形体基因组中一条529bp的特征性片段,其诊断灵敏度为68.8%,特异性高达100%。弓形虫脑病在影像学上特征性地表现为多发环状强化病灶,周围伴有水肿和占位效应,MRI检查较CT更为敏感。多数情况下,依据CD4+T淋巴细胞数,血清学检查,临床表现,以及特征性的影像学表现,即可拟诊TE并启动治疗,如果经验性治疗有效,便可确定诊断,仅仅在上述证据不够而导致诊断困难时才考虑开颅活检。
磺胺嘧啶联合乙胺嘧啶是首选治疗方案。磺胺嘧啶不耐受而中止治疗的患者,可改用克林霉素、阿奇霉素或甲氧苄氨嘧啶联合乙胺嘧啶的治疗方案。新近的一项RCT研究发现50mg/d乙胺嘧啶联合4g/d磺胺嘧啶,辅以25mg/d叶酸缓解骨髓抑制副作用,6周内的死亡率最低。在完成急性期的六周治疗后,如贸然停药仍可导致弓形虫脑病的复燃,因此仍然需要长期维持治疗。TE患者往往预后不佳,住院治疗期间死亡率即可高达30%,其中局灶性体征、颈部强直和CD4+细胞数低均为患者死亡的预测因子。为预防弓形虫脑病,HIV感染患者需尽早开始抗病毒治疗,尤其在严重免疫功能缺陷的患者中,可考虑预防性治疗。