关注公众号 葉子口腔科普 科学护牙

你家的孩子是不是正经历着换牙期?你是不是在头疼着他的牙齿怎么还不长?或者担心着他的乳牙怎么还不掉?
本篇文章,将带你重头认识换牙期。只有学习了才知道,怎么让孩子顺利度过换牙期,也让家长在孩子换牙期时不再焦虑彷徨。
孩子什么时候换牙?
孩子大约6个月开始萌出乳牙,自6岁左右乳牙牙根开始陆续发生吸收乃至脱落,至12岁左右全部被恒牙替换。
每个孩子牙齿萌出的时间各有不同,这与种族、性别、地域等因素相关,如女孩的牙齿萌出往往较男孩早,生长在寒冷地区的孩子比温热地区的儿童牙齿萌出迟缓。
很多家长会来医院就诊询问孩子牙齿为什么还没有萌出?其实牙齿萌出的顺序较萌出的时间早晚对孩子来说更为重要,因为萌出顺序的紊乱常导致牙齿咬牙合畸形的发生。

恒牙萌出,换牙时期需要关注些什么呢?
一
最早萌出的第一恒磨牙又称“六龄牙”,对咬牙合的建立至关重要, 但六龄牙的形态与乳磨牙相似而容易被误认为是乳牙而不重视,往往更容易发生蛀牙。

所以,我们需要及时请专业牙医检查孩子的六龄牙萌出情况,及时做窝沟封闭对保护第一恒磨牙至关重要。

窝沟封闭前后比较
二
在孩子的换牙期会出现一些暂时性的牙齿排列异常表现,随着孩子的生长发育有时候会自行调整,无需矫正。
比如,下前牙替换后的暂时性拥挤会随着颌骨的发育得到改善;又如上颌中切牙萌出后的间隙,会随着侧切牙、尖牙的萌出而关闭。
但如果有地包天、唇系带附着过高、多生牙等情况,需要及时去医院就 诊治疗。

尖牙萌出的压力导致中缝关闭
三
学龄期的孩子,爱运动、活动强度大,而自我防护意识又较弱,在运动中容易因为冲撞跌倒造成牙齿外伤。
其中,刚刚萌出的上颌中切牙最易受到伤害,此时中切牙牙根还没发育完成,外伤后损伤牙髓容易造成牙根发育停止。 因此,家长需要加强监督,同时在进行冲撞性较强的运动时最好佩戴运动防护牙托保护牙齿。家长与老师在孩子门牙发生外伤时,要第一时间正确保存外伤脱落或撞折裂的门牙。

防护牙托
四
换牙期间需要关注纠正孩子的不良口腔习惯:吮指、吐舌、咬唇、口呼吸、偏侧咀嚼、咬铅笔以及夜磨牙。
这些不良习惯均可引起牙列周围肌力不平衡,造成牙齿排列紊乱,甚至影响颌骨的发育和影响孩子未来的面型。(对孩子的颜值影响会很大)
通常,如果家长针对孩子的不良习惯表现出焦虑甚至训斥孩子,往往不利于不良习惯的破除。我们家长需要对孩子进行心理的疏导,最好采用正向强化的方法鼓励孩子配合。如果仍无法纠正,需要寻求牙医的帮助。

吮指习惯
五
在牙齿替换时还会发生一些替换异常:
1/ 早萌
恒牙早萌多见于乳牙严重的根尖周病变引起的牙槽骨破坏,使得恒牙过早地萌出,此时恒牙的牙根并没有准备好,有时会出现牙冠发育不良。

第二前磨牙早萌
2/ 迟萌
最为常见的是上颌乳切牙过早脱落,致使牙龈反复摩擦增厚,导致下方的恒牙萌出困难,此时就需要去医生进行助萌了。
另外,多生牙、牙瘤、囊肿也会导致牙齿迟萌,所以定期检查拍片十分重要。一些先天性疾病也会导致牙齿迟萌,但比较罕见,如颅锁骨发育不全综合征。

上颌切牙迟萌
3/ 乳牙停留
是指恒牙已经萌出而乳牙仍未脱落,最为常见的是下颌中切牙,呈 “双排牙 ”,此时 应及时拔除乳牙。

双排牙
4/ 锯齿状的门牙
新换的门牙刚萌出时呈锯齿状。"锯齿"是牙齿的发育结节,会随着进食咀嚼逐渐磨平,这个不是异常情况,无需处理。


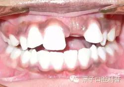
5/ 呈“外八字”的门牙可以矫正吗?
由于侧边两个还没有萌出的牙齿的牙胚挤压大门牙的牙根,刚长出的门牙会显现“外八字”,这种"丑小鸭"阶段只是过渡期,随着侧边牙齿的萌出,暂时的"异常"就会自然消失。

6/ 新换的牙怎么那么黄呢?是不是没发育好?
新长的恒牙比乳牙黄是正常现象,这是由于恒牙钙化的程度比乳牙高,也就是说,恒牙最外层的牙釉质透明度比乳牙好,所以就容易透出内层呈黄色的牙本质。
但如果牙齿变色严重,请及时就诊,请牙医鉴别。

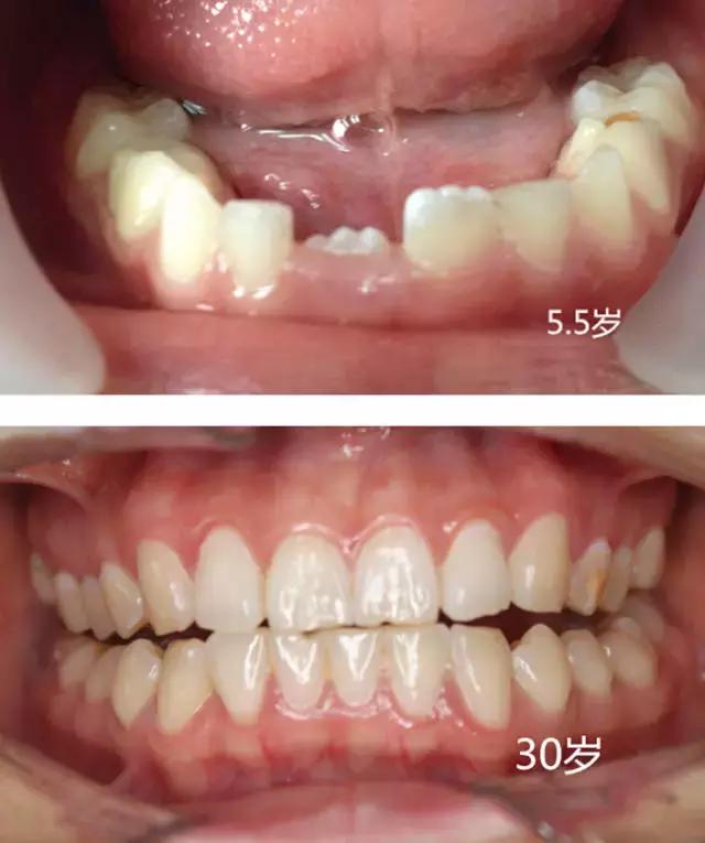
孩子的换牙期,也叫"丑小鸭"阶段。一些生理性的不整齐会自行调整,待全部替换完成后,孩子就会华丽地转身变为"白天鹅"了。但也有一些牙齿的情况属于异常,需要及时干预,所以建议您定期带孩子去看牙医,有问题早发现、早处理。
图片 | 网络
整理自 | 葉子口腔科普资料库
作者 | @儿童牙医豆豆、@儿童牙医嵘
编审&排版 | 牙医麻麻Debbie
