
医脉通编译整理,未经授权不得转载。
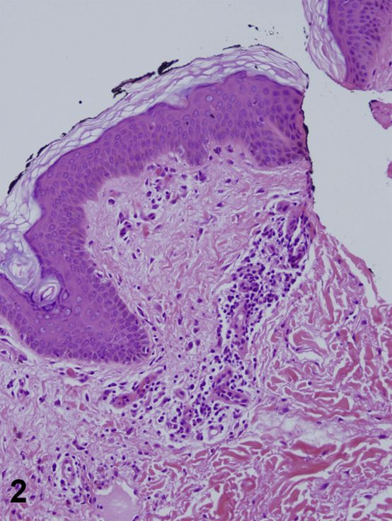
一名39岁妇女,有2周新发双侧腿部疼痛、关节痛和卧床史。此外,患者诉有2天的右膝、右侧腿部、后颈和头皮瘙痒皮疹病史,以及3天的咽喉疼痛和发烧史(每日最高温度39.4°C)。实验室值包括白细胞计数11.1,中性粒细胞90%;血小板469;铁蛋白3662 ;血沉115 ;c反应蛋白225;天冬氨酸氨基转移酶91;丙氨酸氨基转移酶67;抗核抗体(ANA)和类风湿因子阴性。体魄检查发现有剥落、线状、界限不清的紫色丘疹和斑块(图1)。侧翼活检显示交界性皮炎(图2和图3)。

图1

图2

图3
1.最有可能的诊断是什么?
A 皮肌炎
B 混合性结缔组织病
C间质肉芽肿性皮炎
D成人Still病(AOSD)
E系统性红斑狼疮(SLE)
点击下方空白区域查看答案
▼
答案:D 解析:AOSD可以有这种不典型的表现与持续的紫罗兰色丘疹和斑块,而不是经典的消失鲑鱼色皮疹。除了临床和组织病理结果与AOSD一致外,该患者还符合Yamaguchi 的AOSD标准。符合2个主要标准(关节痛持续2周,白细胞计数升高,多形核清中性粒细胞超过80%)和3个次要标准(喉咙痛,肝功能异常,抗核抗体和类风湿因子阴性)。
2. 以下哪个组织病理学发现最可能出现在这个病人身上?
A表皮有多个坏死的角质形成细胞,混合真皮浸润大量中性粒细胞。
B表皮萎缩,基底膜变性,空泡基底角质形成细胞,真皮粘蛋白沉积,真皮淋巴细胞浸润
C基底层液泡改变,角质形成细胞凋亡,表皮萎缩
D角化过度,不规则棘皮增生,基底层液化性退行性改变,真皮表皮交界处淋巴细胞浸润
E海绵状病,基底角质形成细胞的局灶性空泡变性,真皮表面水肿,真皮血管周围淋巴细胞浸润
点击下方空白区域查看答案
▼
答案:A
这些发现与AOSD的非典型变异有关,在我们的患者中表现为持续性的紫丘疹和斑块。典型的AOSD消失皮疹表现为组织病理学上的间质和血管周围混合浸润,伴有大量中性粒细胞。
3.以下哪种细胞因子是这种疾病的强中介因子,并与疾病活性相关?
A IL-8
B IL-1
C IL-23
D IFN-γ
E IL-10
点击下方空白区域查看答案
▼
答案:A
AOSD患者血清IL-8水平较高;然而,这种细胞因子通常与疾病活动无关。
医脉通编译整理自:Sandhu J K, Chacon A, Haden A D. Joint pain with violaceous papules and plaques[J]. JAAD case reports, 2019, 5(5): 463-465.