穿“针”引“线”,妙手回春。提起*安泰**市中医医院(*安泰**市骨伤医院)创伤骨科、手足外科,人们口耳相传:“这里能治越来越多的难病,危急时刻总是他们挺身而出,很多微创手术恢复快,效果好。”近年来创伤骨科、手足外科立足技术前沿,不断创新突破,仁心妙手,与患者“手足”情深。

医者匠心 持续推进区域“骨伤”品牌建设
作为山东省重点中医骨伤专科,*安泰**市中医医院(*安泰**市骨伤医院)创伤骨科、手足外科得益于先进技术的引进和合理的人才梯队建设,辅之中医药传统特色的融会贯通,奠定了该科室走上快速发展的道路;同时科室围绕“以病人为中心”的服务理念,以仁爱之心守护患者,让患者享受优质满意的治疗,收获了百姓的口碑,科室多领域多方向更取得累累硕果的可喜局面。科室现有主任医师3名,副主任医师2名,主治医师7名,骨科硕士研究生9名。
妙手仁心 立足技术前沿护航生命健康
技术创新,锐意进取,*安泰**市中医医院(*安泰**市骨伤医院)创伤骨科、手足外科临床经验不断积累,医疗设备不断更新,现已成为擅长手术、中西医结合治疗各种骨科疾病的特色科室。科主任李军主任医师的带领下,成立了*安泰**市第一个“糖尿病足中西医结合诊疗中心”。科室科研项目获省科技进步二等奖1项,市科技进步三等奖2项,发表国家级省级论文50余篇,SCI论文1篇,专著10余部。
*安泰**市中医医院(*安泰**市骨伤医院)创伤骨科、手足外科开展“手法复位闭合穿针”技术治疗四肢骨折,具有不需切开,创伤小、痛苦少、复位固定牢靠、恢复快、花费少、不需二次手术取内固定等优点。此技术开拓了医院骨折微创治疗的新领域,使众多患者避免了开放手术所带来的弊端。骨科手术微创化已成为重要的发展的趋势,脊柱微创技术——椎体成形术目前该科室已成功开展100余例,术后半小时即可下地,术后第二天即可出院,改善患者生活质量优势显著,效果优良,均无并发症发生。
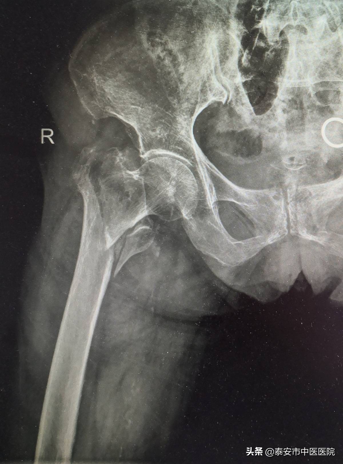
随着社会人口老龄化的发展,中老年人骨折发生率逐年上升,若治疗不当,会出现严重并发症,大大缩短患者的预期寿命,针对此类骨折,保守治疗由于卧床时间太长,易发生深静脉血栓,褥疮,肺部感染等并发症,危及患者生命。该室采用微创经皮内固定治疗股骨粗隆间骨折,具有手术创伤小(切口仅4cm左右),住院时间短,痛苦少,恢复快等优势特点,能让患者迅速恢复正常活动,减轻了患者家庭负担。

微创经皮椎体成形术治疗脊柱疾患
针对骨质疏松症是临床常见病,*安泰**市中医医院(*安泰**市骨伤医院)创伤骨科、手足外科充分发挥中医在慢*病治性疗**方面的优势,根据个人体质不同,辨证论治,结合现代医学理论,给予补充钙剂、抑制破骨细胞活性,达到提高骨骼强度,防止骨折发生目的。科室传承中医传统医疗方法,可将中药方做成膏剂、丸剂等,避免了传统中药的煎煮程序及口感差等问题,以便于患者长期服用。


微创经皮内固定治疗股骨粗隆间骨折
作为*安泰**市第一个“糖尿病足中西医结合诊疗中心”,对提高患者生存质量,改善患者预后具有重要意义,为*安泰**市众多糖尿病足患者带来福音。 该中心以创伤骨科、手足外科为基础,联合内分泌科、介入科,对糖尿病足患者进行多学科综合治疗,最大限度地发挥各学科专长,加强学科间协作,发挥团队优势,为糖尿病足患者提供规范化、专业化的“一站式”治疗。*安泰**市中医医院(*安泰**市骨伤医院)创伤骨科、手足外科主任李军与中心人员技术卓越、创新发展,在对糖尿病足患者精准控制血糖的基础上,开展了外科彻底清创技术、持续负压引流技术、横向骨搬运技术、抗生素骨水泥技术、血管介入技术、显微外科技术、中药外用内服技术等七项技术,辩证论治,一人一方案,实现糖尿病足患者的个体化精准治疗,大大缩短糖尿病足患者的住院时间,降低糖尿病足截肢率和致残率,提高糖尿病患者的生存质量,受到广大患者的好评。
扬帆奋进正当时,凝心聚力谱新篇!*安泰**市中医医院(*安泰**市骨伤医院)创伤骨科、手足外科将始终坚持以百姓健康为使命,在专科建设、品牌建设上锐意进取、开拓创新,以一流的服务,良好的信誉,不断朝着“高、专、精”上发展,以精湛的技术为区域内百姓健康保驾护航!(通讯员:张男)