这几天,身边的好几个朋友都去看牙了。他们说 到了医院拍了个X光片,不拍不知道,一拍吓一跳,发现智齿要么躺着长,要么斜着长。
我还调侃他们,看看你懒得,连牙都是躺着的。
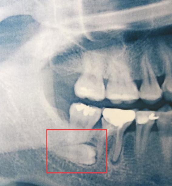
话说,智齿这样长在医学上叫阻生智齿,阻生牙不但会导致牙龈常常发炎,疼痛,还可能会引起邻牙蛀牙,牙根吸收,甚至松动。

高难度智齿
遇到这种智齿就得,拔!!针对那些不知道什么样的智齿该拔的同学,看下面:
1)导致牙疼腮疼下巴疼,拔
2)塞牙了,拔
3)阻生了,就是被前面牙挡住了,拔
4)上牙长了下牙没长或反之,拔
5)啥症状没有拍片子时发现,拔了没坏处。
那一般人什么时候可以不拔
1)上下都长了,正常咬合的
2)牙根靠近下牙槽神经或者其他重要结构,拔了可能有后遗症,而且不拔问题不大
3)卧槽拔牙太贵了、太贵了。

拔智齿后为什么不能吐口水?
拔牙后的要求还是挺多的,不能吐口水就是其中一项。因为拔牙后拔牙窝的恢复是从里面的凝血块开始的,具体过程比较复杂,总之,愈合的起始部分就是这个凝血块,吐口水会导致口腔内负压出血(愈合的血块会被吸吮出来),这样原来已经止血的拔牙窝再次出血,影响愈合,也有可能会导致干槽症。
所以,拔牙后口水要往下咽。一般上皮长入需要24小时,所以24小时之后才可以刷牙漱口吐口水。

拔牙关注事项:
○ 拔牙前
1)整理下自己凌乱的思绪。
2)寻找你认可的医疗机构,当然最最重要的是牙医(帅不帅)。
3)拔牙的前一天要休息好。拔牙后不要进行剧烈运动,不要饮酒。
4) (☆非常重要)爱美的小仙女们尽量素颜或者淡妆,头发不要扎辫子,口红什么的更不要了,牙医戴着手套倒无所谓,万一蹭你一脸怎么办。

5) (☆特别重要)穿衣服要舒适得体哈,不然你躺着衣服太暴露,会让牙医分心的(男医生的话),如果是女医生的话可能会嫉妒你哟,哈哈哈哈,你们懂得。
6)(☆无比重要)拔牙前一定要吃东西哦,当然,也不能吃太饱,万一恶心就很容易发生呕吐的情况。对了,还有很重要的一点,一定不要吃太有味的食物(臭豆腐、大蒜),那样牙医会把你赶走的。
○ 拔牙中
不要胡思乱想,全力配合你的主治医生,因为他们给你的都是专业,最适合的方法,放松就好,相信你的主治医生是最棒(帅)的。
○ 拔牙后
休息,休息,休息! 顺便附上拔牙后终极版术后须知。
1)首先拔牙之后的纱布咬合很重要。因为拔牙之后,伤口会立即被新鲜血液充满,大概15分钟会慢慢凝固,让伤口不再流血。一般咬合纱布30分钟,不宜过早也不宜过久。取出的时候不能用洪荒之力,那样会让伤口再次裂开。
2)拔牙后2h内禁食百分百。此时要辛苦下各位小仙女们了,不仅在2h之内百分百禁食,2h之后也不能吃温度过高,硬度过高的食物,吃流食、软食更好。那些吃火锅,串串,喝酒的,小乐只想说,控制寄几!no zuo no die ,后果会很严重的。
3)拔牙数小时内。轻轻咽唾沫,千万别反复往外吐,也不能用舌头舔创口,那样容易造成再次出血。当天不能漱口、刷牙,不宜剧烈运动。
4)24小时不要刷牙漱口,是不能漱口,和你用啥去漱口没关系,很多小仙女问“我用漱口水漱口行不?”...你们气死我得了,我说的还是很清楚了吧。
5)拔牙后疼痛肿胀是正常的,会慢慢缓解的,如果拔牙后三四天疼痛突然加重,记得及时联系主治医生。

好了,最后给你大家几句话,看牙趁早,听话就好,智齿拔不拔,听医生的,拔牙疼不疼,看医生的!
更多口腔姿势关注【lesasa-com】哦。