本文转载自chenspine微信公众号
专家介绍:陈宇,医学博士,第二军医大学附属长征医院脊柱外科副教授,副主任医师,硕士研究生导师。长期从事脊柱外科临床及科研工作,以脊柱退变、创伤、畸形、肿瘤等疾病治疗为特色,尤其在颈椎病、腰椎间盘突出症、滑脱、椎管狭窄症、脊柱韧带骨化病、复杂脊柱骨折脱位、脊柱侧弯畸形、脊柱结核炎症、椎管内外肿瘤等疾病的治疗上积累了丰富的临床经验。
69岁的王阿姨5年前开始出现走路时腰背部疼痛,随着时间推移,症状越来越厉害,休息后疼痛也没有明显缓解,还出现左下肢的疼痛麻木,因为严重的腰疼,需要歪着身子走路,坐在沙发上的时候也只能斜靠着。睡觉只能侧卧,腿一伸直就会疼痛,备受煎熬。
近日,王阿姨来到上海长征医院脊柱外科就诊,入院检查后确诊为“腰椎退变性侧弯”。陈宇副主任医师带领团队讨论后决定予以手术矫正治疗。术后王阿姨腰背部及左下肢疼痛得到缓解,恢复了正常行走。
1、什么是退变性脊柱侧弯?
脊柱侧弯是一种脊柱的三维畸形,包括冠状位、矢状位和轴状位上的序列异常,一般正位X线片显示脊柱有大于10度的侧方弯曲,即COBB角度大于10°才能称之为脊柱侧弯。
脊柱侧弯的原因分为先天性和后天性,先天性的侧弯往往是由于遗传因素引起,年轻的时候就会发病。后天性的侧弯就是退变性侧弯,是由于椎间盘、腰椎关节等脊柱结构退变老化及骨质疏松而导致,多见于中老年人,男女比例约为1:2。
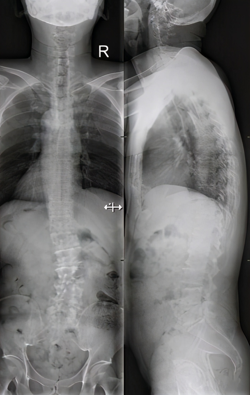
退变性脊柱侧弯以腰段最为多见,常伴随有腰椎前凸减少、椎管狭窄等病变。导致顽固的腰背痛和下肢神经根症状,可严重影响老年人的生活质量。外观上可以看到人向一侧偏斜、后背不正、弯腰时一侧背部凸起等。从后面看,正常的脊柱像一颗笔直的松树,而退变性侧弯的脊柱像一颗弯曲的柳树。
2.、老年脊柱侧凸怎么办?
目前治疗方式有保守治疗和手术治疗。根据X线结果及患者年龄分析,轻度的脊椎侧凸及年龄过大的患者应采取保守治疗,可将运动康复作为保守治疗的方式但需要专人进行评估和动作测试以及针对性的指导训练。当脊椎侧凸度数较大,保守治疗无效及出现神经压迫症状的老年脊柱侧弯患者,可采用脊柱矫形术等手术方法治疗,能够矫正脊柱畸形、解除神经压迫、恢复脊柱的稳定性。
3. 老年脊柱侧凸可以微创手术吗?
脊柱微创手术对身体创伤比较小,需要特殊的医疗设备才能完成,而且,现阶段的微创手术设备,也只能完成一部分脊柱外科手术。因此如果只是1~2个脊柱间隙引起的疼痛,可以做考虑微创手术或者开刀比较小的手术;如果患者的脊柱侧凸发展严重,影响正常生活,则不可采用微创手术,就需要开大一点的刀口才能矫正脊柱侧凸,把多个节段的椎体“钉”在一起进行矫正,也就是做脊柱融合+内固定手术。
4. 高龄脊柱侧凸能做手术吗?
高龄脊柱侧凸患者最好是进行保守治疗,如果患者身体条件较好且脊椎侧凸不严重,仅仅是由1~2个间隙退变引起,可以采用微创手术治疗,来缓解对神经压迫,从而缓解疼痛及其他症状。如果需要进行更大的手术治疗,必须要检查患者身体的各项机能是否可以接受手术,但手术风险是非常高的,要慎重考虑。
典型病例:
病例1:
患者老年男性,因“腰痛伴有双下肢疼痛、麻木”入院,腰部疼痛为主。查体:间歇性跛行,腰背棘突及棘突间叩击痛,双下肢肌力降落。影像示:腰椎退行性变,腰椎向左侧突,椎体旋转,Cobb角为29.2°,腰椎诸椎间隙椎间高度减低,L1/2-L3/4及L5/S1椎间盘突出。患者接受胸、腰后路减压植骨融合内固定术。术后患者腰椎侧突矫正,术后Cobb角降低至10°。




病例2:
患者男性,61岁,因“腰部沉重感伴双下肢疼痛、麻木2年加重2月”入院,查体:间歇性跛行,腰背棘突及棘突间叩击痛明显,左足肌力3级,右足肌力4级。影像示:腰椎退行性变,腰椎右侧突,Cobb角为26.7°,腰椎管狭窄,L4/5、L5/S1椎间盘突出。患者接受腰后路减压植骨融合内固定术。术后患者腰椎侧突矫正,术后Cobb角降低至7.8°。




专家介绍:

陈宇,医学博士,第二军医大学附属长征医院脊柱外科副教授,副主任医师,硕士研究生导师。长期从事脊柱外科临床及科研工作,以脊柱退变、创伤、畸形、肿瘤等疾病治疗为特色,尤其在颈椎病、腰椎间盘突出症、滑脱、椎管狭窄症、脊柱韧带骨化病、复杂脊柱骨折脱位、脊柱侧弯畸形、脊柱结核炎症、椎管内外肿瘤等疾病的治疗上积累了丰富的临床经验。曾赴英国伦敦大学附属Guy’s & Thomas医院进修学习脊柱外科微创技术。担任国际矫形与创伤外科学会(SICOT)中国学会上海分会委员,AOSpine和NASS国际会员,上海市中西医结合学会脊柱分会委员,上海市中西医结合学会骨科微创分会委员,Yonsei Medical Journal、Journal of International Medical Research、脊柱外科杂志特约审稿人等学术职务。以第一申请人承担国家自然科学基金3项,以及AOSpine国际研究基金、医院青年人才基金等多个研究项目,科研经费累计200余万;获得国家专利授权4项;以第一作者和通讯作者在Bone、Spine、Eur Spine等国际权威专业杂志发表SCI论文共计30篇;主编专著《脊柱韧带骨化病》和卫生部医学视听教材《腰椎后路椎体间融合术》,参编(译)专著8部;获得教育部科学技术进步奖二等奖2项、*队军**医疗成果奖二等奖2项、三等奖1项。