
师天鹏,解放军306医院,口腔医院,全军口腔疾病诊治中心,儿童口腔科
品牌质量管理办公室刘超凡编辑
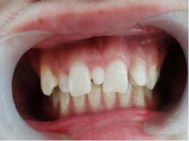
李奶奶的宝贝孙子六岁半了,上颌前面的两颗门牙已经替换了三个多月,可是两颗新牙间缝隙不见变小,反而越来越大了,远没有乳牙长得那么整齐,马上要上小学了,和其他孩子相比,门牙有大缝这事最近让李奶奶一直着急上火,平日总挂在脸上的笑容也不见了,今天一大早就带着孩子到口腔科检查。

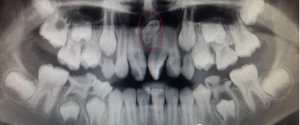
儿童口腔科的医生经过专科查体并配合X线检查,发现是孩子的两颗新长门牙之间有一颗多生牙在作怪,这让李奶奶更紧张了。
孩子怎么会有多余的牙齿呢?要怎么处理?不处理会有什么危害?儿童口腔科的医护人员从发病情况、发病原因、临床表现和治疗手段等几个方面为李奶奶介绍了多生牙的相关知识。

正常情况下,每个人应该有20颗乳牙,32颗恒牙,超过这些数目的牙齿就是额外牙,也就是大家所说的多生牙。多生牙可以在牙列里多生一个或者多个牙齿,在乳牙列里少见,多见于混合牙列和恒牙列,其顺序大致是混合牙列>恒牙列>乳牙列。
多生牙的发病率在1%-~3%之间,男孩的发病率高于女孩,上颌的发生率大约是下颌的8倍,上颌前牙区是其好发区域,最多见的多生牙就是位于上颌中切牙之间的正中牙。

多生牙的形态变异很多,发育完整的多生牙与正常的前牙或后牙形态相似,发育不够的多生牙则多为锥形和结节形,有时也会有其他不规则的形态。多生牙可位于颌骨的任何部位,有的萌出于口腔内,有的则埋伏在颌骨内,有的甚至会位于鼻腔、上颌窦内,据统计,大约有1/4的多生牙埋藏在颌骨内未能萌出。
多生牙常常导致正常恒牙发育和萌出障碍,表现为恒牙迟萌或阻生、牙根弯曲、牙齿移位或萌出方向改变,伴随的就是乳牙停留、邻牙扭转、牙齿出现间隙等,有时还会造成邻牙牙根的异常吸收,形成滤泡或牙源性囊肿。有的多生牙虽不会表现为上述复杂的情况,但排在牙列中有碍美观才引起患儿和家长的关注。

造成多生牙的病因目前尚未认定,相关研究推测可能与以下因素有关:①进化过程中的返祖现象;②牙胚的异常分裂;③牙板局部的活性亢进;④遗传因素;⑤某些综合征疾病的一种口腔表现。
临床上发现或有多生牙时,需要拍摄X线片来明确诊断,如牙齿根尖片、全口曲面断层片或CBCT等,确定多生牙的数目和位置。为了减少多生牙对恒牙和恒牙列的影响,应尽早发现,及时处理。已经萌出的多生牙应及时拔除,以有利于邻近恒牙的顺利萌出并减少恒牙的错位。若萌出的多生牙形态与正常牙相似或牙根有足够的长度,而相邻的正常牙齿有牙根吸收、牙根弯曲等问题,可以综合考虑全牙列的情况后拔除相对较差的正常牙而保留多生牙。针对埋伏的多生牙,如果影响恒牙的发育、萌出及排列,在不损伤恒牙胚的情况下应尽早拔除,若不影响恒牙胚发育和萌出,则可等到恒牙牙根发育完成后再拔除。埋伏的多生牙拔除术后还要关注定期复查。
心头的顾虑消除了,李奶奶带孙子做了多生牙拔除术前的相应检查,并预约了手术时间,灿烂的笑容又爬上了李奶奶的脸颊。