
第二期
本期主编|杨海华
单位|北京市大兴区人民医院
作者简介

杨海华
北京市大兴区人民医院神经内科,主治医师,首都医科大学附属天坛医院博士毕业,参加工作10余年,任北京神经内科脑血管病专业委员会委员、北京神经内科介入分会委员,曾参与多项国家级、市级科研究课题,在中文核心期刊发表论文15篇,SCI 2篇。
我们汇报一例颈动脉次全闭塞伴远端颅内大动脉栓塞局麻下血管内介入治疗过程,具体如下。
病例详情
患者男性,69岁,主因“突发言语不清、右侧肢体无力2.5小时”入院。
既往:高血压及糖尿病病史。
患者入院前2.5小时安静态势下出现言语不清,不能完成被他人理解,也不能完全理解他人语意,同时有右侧肢体无力,上肢可抬起,稍费力,下肢行走稍拖曳,上述症状持续不缓解,就诊于我院急诊,查头CT示脑内多发脑梗死,考虑为急性脑梗死,有溶栓治疗指征,立即予以阿替普酶63mg静脉溶栓,溶栓后患者肢体无力较前加重,右侧肢体完全瘫痪。
查体:血压 125/80mmHg,神清,混合性失语,双侧瞳孔等大等圆,D=3.0mm,对光反射灵敏,眼球活动自如,右侧鼻唇沟变浅,伸舌偏右,颈软、无抵抗,右侧肢上肢肌力0级,右下肢肌力2级,左侧肢体肌力5级,右侧针刺觉减退,右侧巴氏征阳性。NIHSS评分:12分。
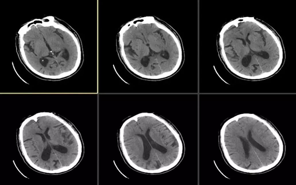
溶栓前头颅平扫CT检查未见明显新发病灶(图1),ASPECTS评分:10分

图1
溶栓后复查头颅CT检查未见出血,但左侧大脑中动脉有高密度征(图2)。

图2
患者溶栓前症状较轻,予以阿替普酶溶栓治疗后症状加重,复查头颅平扫CT未见出血,左侧大脑中动脉有高密度征,考虑有急性大动脉闭塞,向家属交待病情后,家属表示知情同意行全脑血管造影,如有大动脉闭塞,即时予以血管内取栓治疗。
DSA结果提示:左侧颈内动脉次全闭塞,远端未见显影,左侧大脑中动脉闭塞,前交通动脉开放,左侧椎动脉起始部重度狭窄(图3-5)。

图3

图4

图5
治疗策略
❖1.患者右侧肢体完全瘫痪,混合性失语,DSA检查提示左侧颈内动脉、左侧颈内动脉末端急性闭塞,为此次责任血管,有介入治疗指征。
❖2.患者目前混合性失语,尚能配合完成造影检查,考虑局麻下行血管内介入治疗,如果患者不能配合,再行静脉麻醉。
❖3.患者此次责任血管为串联病变,左侧颈内动脉起始部次全闭塞,远端有大动脉栓塞,考虑首先予以颈内动脉起始部球囊扩张,如果导引导管能越过狭窄段,可以上行至颈内动脉C1段远端,则先行远端大动脉取栓,取栓后则行颈动脉支架置入术;如果导引导管不能越过颈内动脉狭窄部上行至颈内动脉C1段远端,则先行颈内动脉支架置入术,然后导引导管越过支架上行至颈动脉远端行远端大动脉取栓术。
❖4.患者术前已予以阿替普酶溶栓,为减少出血风险不予以全身肝素化,但考虑血管条件差,需要血管成形,遂予以替罗非班抗栓治疗,以预防血栓形成。
治疗过程
局麻下,将8F导引导管上行至颈总动脉远端,在路径途指导下,将微导丝(Transcend)、微导管(Echelon-10)通过颈内动脉狭窄段至C2段,造影证实微导管位于真腔内,颈内动脉末端闭塞,交换出微导管,沿导丝送入Maverick(2.0x20mm)球囊至狭窄处,予以扩张球囊,造影提示狭窄有所改善,导引导管上行困难,遂沿导丝送入Wallstent(9x30mm)支架至狭窄处,释放支架,造影提示残余狭窄率约为60%,遂沿导丝送入LitePAC (4.0x30mm)球囊至狭窄处予以后扩张,造影提示狭窄明显改善,将球囊半充盈态势,导引导管沿球囊越过支架支颈内动脉C1段远端,再次造影示颈内动脉末端仍然闭塞,(图6)

图6
在路径途指导下,将微导丝(Transcend)、微导管(Rebar 027)沿导引导管送至左侧大脑中动脉M2段,撤出微导丝,经微导管造影,造影证实微导管位于真腔内,大脑中动脉远端血管通畅,将取栓支架Solitaire AB (6x30mm) 送至血栓处,释放取栓支架,静置5分钟后取出支架,可见支架内大量血栓,复查造影提示左侧大脑前动脉、左侧大脑中动下干通畅,左侧前大脑前动脉可向左侧大脑中动脉代偿供血,(图7)此时患者右侧肢体无力症状明显好转,仍有不完全混合性失语,视察10分钟后复查造影提示血流仍然通畅,颈动脉支架处血流通畅,遂结束手术,继予以替罗非班抗栓治疗。

图7
术后查体:神清,不完全混合性失语,右侧鼻唇沟浅,伸舌右偏,右侧肢体肌力4级,左侧肢体肌力5级,右侧针刺觉减退,右侧巴氏征阳性。NIHSS评分:4分。
术后复查头颅平扫CT可见左侧基底节区局部造影剂停留(图8)

图8
术后复查头MRI示(图9)

图9
患者术后替罗非班泵入24小时,再过度使用阿斯匹林100mg、氯吡格雷75mg抗栓及瑞舒伐他汀20mg口服强化降脂稳定斑块治疗。术后第3天,患者肢体无力症状恢复正常,混合性失语症状较前好转,NIHSS评分:2分。术后90天门诊随诊时,遗留轻度失语,mRS评分1分。
治疗体会
❖1.串联病变的患者占急性大动脉闭塞所致的缺血性卒中比例约15%,此种类型的病变特点是血栓负荷量大,血流动力学紊乱,静脉溶栓药物治疗效果不佳。
❖2.目前的研究(MR CLEAN, ESCAPE, REVASCAT)表明串联病变的患者仍然能从血管内介入治疗中获益。
❖3.串联病变处理的方法有三种,第一、由近及远:先处理颈动脉病变,行支架置入术,再行颅内动脉取栓;第二、由远及近:先预处理颈动脉病变,再行颅内动脉取栓,最后行颈动脉支架置入术;第三、单纯行颅内动脉取栓,不处理颈动脉病变。三种方法各有其优点及缺点,需要根据患者的具体病情、术者的操作习惯、技术再选相应的治疗方法。
❖4.本例患者为前循环串联病变,颈动脉起始部次全闭塞,远端栓塞,先处理颈动脉病变,再行颅内动脉取栓。
❖5.目前进行脑血管机械取栓是行静脉麻醉还是局麻,尚无定论,各有其优缺点,在我们中心,如果能行局麻进行介入治疗的尽量行局麻取栓,其优点是第一、节省时间;第二、在取栓过程中可以视察患者的病情变化,甚至影响你的治疗决策,在本例患者中,采用局麻取栓,当第一次取出血栓,患者肢体无力症状就明显好转,虽然前向血流为TICI 2b级,但是大脑中动脉供血区有大脑前动脉局部代偿,视察15分钟后患者肢体无力症状未再加重,仍有不完全混合性失语,复查造影示开通后血管仍血流通畅,遂结束手术,术后强化抗栓、他汀降脂治疗,症状逐渐好转。
专家点评

南方医科大学深圳医院神经内科刘亚杰主任:
成功的病例绝不是偶然的。此病例展示了术者对指南精准的掌握和对卒中发病机制深刻的理解。作者术前对术式、麻醉方式、抗栓治疗等做了充分的预案,且能根据术中实际情况调整方案。在缺血性卒中急性期血管内治疗快速普及,良莠不齐的今天,本病例术者的严谨,仔细的临床思路,娴熟的操作技术实为患者福音,值得提倡。
