基本情况
患者,男,32岁,右上腹隐痛伴发热七天。
检查
当地医院B超:肝占位
全消化道造影:升结肠局部狭窄,肠壁僵硬,考虑升结肠癌
结肠镜:未见异常
实验室检查
WBC:10.3×109/L,ESR75mm/h
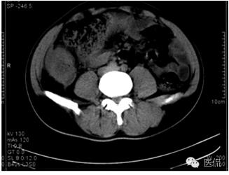
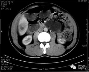
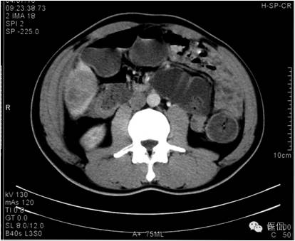
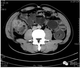
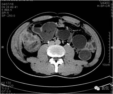
平扫示肝下缘局部隆突,密度减低,内部密度不均,隐约见分隔影,其下缘与升结肠界线消失,肠壁增厚、模糊。



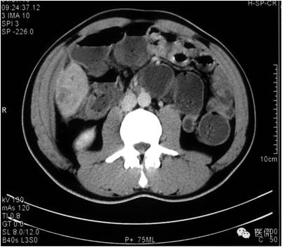
动脉期病灶显示小片状低密度影内,见不规则环状、核心样点状和间隔轻度强化,形态多种。



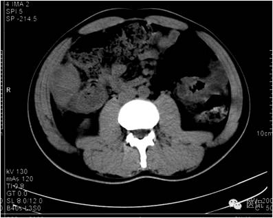
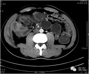
门脉期上述部位持续强化,程度加重,且环壁影增厚,核心样结节、分隔明显。



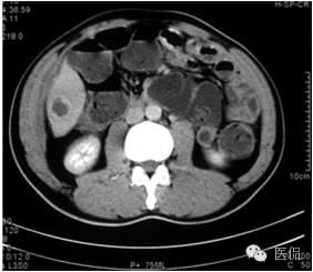
延迟期密度略有降落,但仍有强化,形态不规则。



手术病理诊断:
肝炎性假瘤,侵及周围结肠和腹壁,浸润组织有水肿,粘连。