编者按
本期博览群术带来菏泽市立医院卒中中心团队应用Tubridge®治疗海绵窦段宽颈动脉瘤,欢迎阅读!
病例基本资料
患者,女,81岁,主诉:视物重影1月余。
现病史:患者1月前出现视物重影伴右侧眼睑下垂,无头痛及眼部不适。
检查:经颅脑MR平扫+MRA检查考虑右侧海绵窦段动脉瘤。在局麻下行DSA,结果示:右侧颈内动脉海绵窦段动脉瘤;右侧颈内动脉C1段严重迂曲;右侧大脑中动脉M1段中度狭窄。
本次首先治疗风险较高的右侧颈内动脉海绵窦段动脉瘤。
手术材料
- 8F动脉鞘
- 6F NEURONMAX
- 125cm 5F Navien
- TRAXCESS 14
- Tubridge® 5.0×45
- T-track
术前影像


术前测量:动脉瘤大小为12x11mm,瘤颈为13mm,动脉瘤远端血管直径3.8mm,近端血管直径4.5mm。
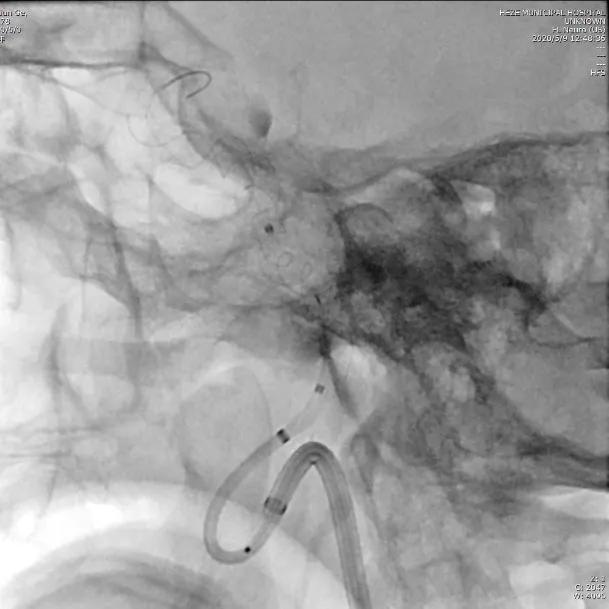
手术过程
患者全麻下行右侧颈内动脉海绵窦段Tubridge®置入术。
患者取仰卧位,常规消毒铺巾,Seldinger技术穿刺右股动脉,置入8F鞘,将6F NEURONMAX置入右侧颈内动脉,125cm 5F Navien导管头端置入颈内动脉岩骨段。
通过导引导管,在TRAXCESS 14微导丝的配合下将T-track微导管置入右侧大脑中动脉。


选择5.0×45mm Tubridge®支架,成功释放,覆盖动脉瘤,造影见动脉瘤腔内造影剂明显停留。


结束手术,患者麻醉清醒后安全返回病房,无神经功能缺失。5天后,患者康复出院。
术者思考
该患者为海绵窦段大型宽颈动脉瘤,临床症状为动脉瘤占位效应引起海绵窦内颅神经麻痹所致。因该病例路径及其迂曲,会增加支架释放难度,故建立稳定的路径支撑非常重要。
治疗海绵窦段大型宽颈动脉瘤时,放置Tubridge®需考虑该病例路径迂曲且瘤颈较宽,需选择较长规格 (5.0×45) 以充分覆盖动脉瘤瘤颈。
医生简介
李文帅
菏泽市立医院神经外科
副主任医师 副教授
本文首发于脑血管介入(id:i-neuro)