溃疡性结肠炎是什么?溃疡性结肠炎如何治疗?得了溃疡性结肠炎怎么办?“问上医”用美国家庭医生的智库为您介绍。
1 / 24 溃疡性结肠炎(UC)是什么?

溃疡性结肠炎是一种炎症性肠病,会导致直肠和结肠(也叫做大肠)内的细胞产生长期炎症。这种炎症会导致溃疡,而溃疡可能会出血或影响消化。患者可以使用一些药物来减轻炎症,并学习一些减轻疾病对日常生活影响的策略。
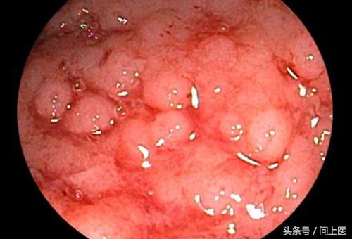
2 / 24 溃疡性结肠炎预警:腹痛

腹痛和血性腹泻可能是溃疡性结肠炎的迹象,这些症状的严重程度从偶尔轻度发生到持续重度发生。上图是一部分发生溃疡性结肠炎典型变化的大肠。
3 / 24 溃疡性结肠炎预警:体重降落

结肠中的长期炎症引起的消化问题会造成:
-
体重降落;
-
食欲不振;
-
恶心;
-
儿童生长发育不佳。
4 / 24 其他预警迹象

溃疡性结肠炎患者还会有除消化系统以外的症状,包括:
-
关节疼痛;
-
皮肤溃疡;
-
疲劳;
-
贫血;
-
经常发烧。
5 / 24 溃疡性结肠炎或克罗恩病?

溃疡性结肠炎的症状与另一种名为克罗恩病的炎性肠病相似。不同之处是溃疡性结肠炎只发生在大肠中,克罗恩病可以发生在整个消化道的任何部位,所以患者可能从口腔到肛门都出现症状。肠道易激综合征是另一种已知会出现腹痛和长期腹泻等症状的疾病,但它不会引起肠道的炎症和溃疡。
6 / 24 溃疡性结肠炎易感人群

在美国,约有70万人患有该病。任何年龄段的人群都有可能患病,但最常发生在15-25岁的人群中。溃疡性结肠炎倾向于在家人之间传播,而且更常见于白人。有东欧犹太血统的人患该疾病的风险较高。
7 / 24 溃疡性结肠炎的病因是什么?

确切原因尚不清楚,但研究人员怀疑该病与免疫系统(身体对细菌的防御)有关,溃疡性结肠炎患者的免疫细胞无法对肠道中的细菌做出正常反应,研究人员不确定这种情况是触发了溃疡性结肠炎,还是说它们是溃疡性结肠炎导致的结果。压力或不良的饮食习惯都会加重溃疡性结肠炎患者的症状,但不是导致溃疡性结肠炎的直接原因。
8 / 24 溃疡性结肠炎的诊断

溃疡性结肠炎最准确的检查方法是结肠镜检查,在该检查中,医生会将一个小型相机插入患者的直肠内,以近距离地视察结肠内部,可以视察到该部位是否有溃疡或炎症。医生也会通过该检查来排除克罗恩病、憩室炎和癌症。
9 / 24 溃疡性结肠炎的病程

患者的症状可能会反复。在症状消失期间,患者可能根本没有任何不适。症状可能会消失数月甚至数年,但最终会复发。
10 / 24 溃疡性结肠炎的急救

该疾病有时可能会导致一些需要急救的并发症,包括溃疡大量出血或严重腹泻引起的脱水。发生这种情况时,急救人员会阻止血液和液体的流失。如果患者的结肠有撕裂,则可能需要手术修复。
11 / 24 溃疡性结肠炎和结肠癌

整个结肠都长时间受到影响的溃疡性结肠炎患者,发生结肠癌的风险会升高,患溃疡性结肠炎8-10年后该风险也会升高(并随着患病时间的推移继续升高)。结肠镜筛查可以提高早期发现结肠癌的几率,而早期结肠癌也比较容易治疗。
12 / 24 其他并发症

一些溃疡性结肠炎患者也会有骨质疏松症、关节炎、肾结石,以及眼部疾病(如葡萄膜炎),极少数情况下也会有肝脏疾病。研究表明这些并发症是由于免疫系统触发了广泛的炎性反应。使用抗炎药物治疗溃疡性结肠炎可能会改善这些并发症。
13 / 24 溃疡性结肠炎的药物治疗

药物被用于消除结肠内的炎症,首选的是含氨基水杨酸的药物,如果无效,医生可能会开一些类固醇,如强的松。第三种选择是免疫调节剂,该药物通过改变免疫系统的活性来减轻炎症,可能需要3个月才能改善患者的症状。
14 / 24 生物疗法

生物疗法是治疗溃疡性结肠炎的最新方法,其中的大多数药物有助于身体破坏与炎症相关的蛋白质,即肿瘤坏死因子(TNF)。这种药物也称为抗TNF剂,通常通过静脉注射给药。一种名为维多珠单抗(vedolizumab)的新型生物制剂,以不同于靶向肿瘤坏死因子的方式作用。如果患者当前接受的治疗效果不佳,医生可能会建议生物疗法。
15 / 24 鞭虫疗法

该疗法是否可以对抗溃疡性结肠炎的研究结果尚不明确。这个想法来源于一个事实,即溃疡性结肠炎在发展中国家更少见,而发展中国家人口的肠道寄生虫更常见。一些研究者就认为蠕虫可能会改变免疫系统对该疾病的反应。该疗法还需要更多的研究。
16 / 24 溃疡性结肠炎手术

多达45%的溃疡性结肠炎患者需要通过手术修复撕裂或严重受损的结肠。手术切除结肠后,患者的溃疡性结肠炎不会复发。较新的手术技术意味着切除结肠的患者通常不需要收集粪便的体外袋,名为结肠造口袋。
17 / 24 儿童溃疡性结肠炎

溃疡性结肠炎患儿可能会有食欲不振的现象,患儿可能无法从食物中摄取足够的热量或难以吸收其中的营养。为避免生长问题,医生可能会建议高热量饮食。如果孩子因自己的如厕习惯感到尴尬,长期疾病治疗师可以帮助孩子学习管理这种情况。
18 / 24 溃疡性结肠炎患者的日常:减少发作

各种触发因素都会使溃疡性结肠炎的症状加重。一些常见因素包括压力、吸烟、药量不够和食用某些食物。尝试识别你个人的触发因素并尽可能地避免它们。例如,你可以尝试药物治疗来控制压力,或者使用每日药盒来保证每次使用的剂量。如果继续发作,请和医生谈谈改变治疗方案。
19 / 24 溃疡性结肠炎患者的日常:改变饮食习惯

饮食习惯不会导致溃疡性结肠炎,但某些食物可能会使症状加重。常见的“罪魁祸首”包括乳制品、油脂食品和会引起腹泻的过多的纤维素。记录自己吃的食物以及之后发生的症状有助于你发现其中的关联并避免可能的触发因素。如果体重减轻过多,就可能需要与营养师商量,以增加一些高热量饮食。
20 / 24 溃疡性结肠炎患者的日常:补充剂

因为溃疡性结肠炎常常会导致结肠出血,所以患者可能会出现贫血、体内缺铁。一些治疗溃疡性结肠炎的药物可能会干扰身体吸收营养素(如叶酸和钙)的方式。请咨询医生是否需要使用补充剂。
21 / 24 溃疡性结肠炎患者的日常:益生菌

益生菌通常类似于肠道中的有益菌群,有助于预防过多的有害细菌生长,但还需要更多的研究来证明益生菌是否能够缓解溃疡性结肠炎。一些酸奶、牛奶、豆奶和大豆饮料中都添加有益生菌,患者也可以购买益生菌的补充剂。
22 / 24 溃疡性结肠炎患者的日常:保持水分

长期腹泻的患者发生脱水的风险较高,这可能会导致虚弱和肾脏问题。为了保证身体的含水量,患者每天需要摄入足够的水分(每1千克体重需摄入30毫升水)。请咨询医生你每天需要摄入多少液体。
23 / 24 溃疡性结肠炎患者的日常:人际关系

溃疡性结肠炎不会影响患者与他人的亲密关系。患者可以坦诚地与伴侣沟通对症状影响的担忧。此外,还可以考虑看慢性疾病方面的专家。如果出现性问题,可以咨询医生。
24 / 24 溃疡性结肠炎患者的日常:旅行

大多数溃疡性结肠炎患者由于带有造口袋而不能舒适地旅行,请记住以下技巧:
-
通过网站或手机程序,提前在机场、火车站或其他大型场馆内找到洗手间;
-
多带一些内衣和湿巾;
-
为整个旅程准备足够的药物,以及处方的副本;
-
告知医生你的计划,看是否需要采取其他预防措施。