颅咽管瘤是神经外科界公认的“难缠”肿瘤。鉴于肿瘤生长的部位特殊,完全切除肿瘤难度大、风险大;切除肿瘤后常常会出现全身性的内分泌紊乱,影响病人的生活质量,同时也大大的影响了病人的寿命。因此,即使颅咽管瘤得到完全切除,病人自己或病人家属常常觉得病人并没有恢复“健康”。 如果肿瘤没有得到完全切除,残余肿瘤几乎都会复发,病人将会面临再次作手术的风险。 所以,在完全切除颅咽管瘤的前提上,保护患者的正常生理功能一直是神经外科医生苦苦追寻的梦想。
由此不难想象“超大型”的颅咽管瘤治疗难度到底有多大。
自2016年一月至2016年九月我科总计行手术治疗45例颅咽管瘤病人,其中2016年7月我们为两例“超大型”颅咽管瘤患儿行手术治疗,取得满意效果。
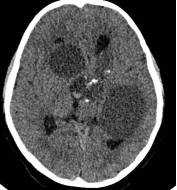
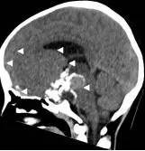
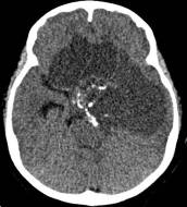
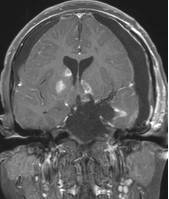
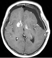
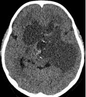
病例1:患儿男性,9岁。因反复出现意识丧失、视力降落半年收入院。入院后CT及 MRI显示颅内有形态不规则、“超大型”的颅咽管瘤,最大径约10厘米,见图1、图2。
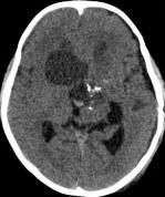
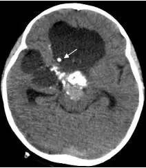
鉴于肿瘤体积超大,而且患儿间断出现意识障碍,直接作手术完全切除肿瘤的难度很大,为降低手术风险,所以我们采用先穿刺肿瘤囊减少肿瘤体积,降低颅压,二期手术争取完全切除肿瘤的策略。行肿瘤囊肿穿刺后,引流出约100多毫升囊液,肿瘤体积显著变小,见图3、图4。
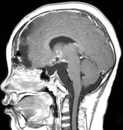
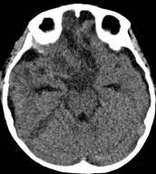
穿刺手术后患儿精神好,调养后3天行开颅手术切除肿瘤,经过14小时的艰苦奋战,顺利将肿瘤完全切除,手术后MRI见图5。患儿共住院23天,顺利康复、出院,出院时语言能力、四肢肌力均正常。

图1.术前CT显示典型的囊性颅咽管瘤

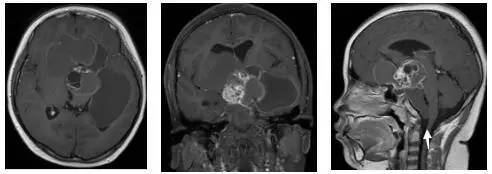
图2.术前MRI
白色箭头指示肿瘤下极达枕大孔区

图3.肿瘤囊穿刺术切口设计及囊液性状

图4.肿瘤囊穿刺手术后肿瘤体积减小
白色箭头示引流管

图5.手术后MRI显示肿瘤无残留迹象
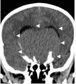
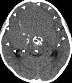
病例二:患儿女性,7岁,主因头痛2年,精神差1个月收入院。入院时头CT见典型的“超大型”颅咽管瘤,直径约9厘米,见图6。

图6.CT显示囊性颅咽管瘤
白色三角显示肿瘤边界
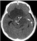
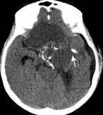
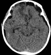
患儿入院后第三天,病情恶化,意识不清,急诊行肿瘤囊穿刺引流术,引流出囊液约200毫升,引流后患儿精神立即好转,肿瘤体积减小,引流手术切口设计及引流后CT见图7、图8。调养7天后在全麻下行开颅手术切除肿瘤,经过10个小时的努力,完全切除肿瘤,术后患儿清醒,语言交流正常,左侧上下肢肌力稍弱。患儿经历一系列的并发症,如电解质紊乱、脑水肿、癫痫发作等,共计住院47天后出院。术后CT见图9。
两例超大型颅咽管瘤病人采用先行肿瘤囊穿刺、二期切除肿瘤的策略,取得满意效果。超大型颅咽管瘤病人的治疗是一个系统工程,切除肿瘤只是治疗过程中的一个环节,完善的术前准备和精心术后管理也是决定治疗效果的重要环节!

图7.囊肿穿刺手术切口设计及引流囊液性状

图8.肿瘤囊引流后体积明显变小
白色箭头显示引流管

图9.术后CT显示肿瘤无残留。
-
姓 名:周忠清
-
职 称:副主任医师
-
出诊时间:周三/周五上午
专业特长:颅咽管瘤、颅底肿瘤、脑动脉瘤、血管畸形、生殖细胞瘤、畸胎瘤、痉挛性斜颈;颅咽管瘤手术后激素替代治疗、电解质紊乱的治疗。
首都医科大学三博脑科医院
卫生部国家临床重点专科(神经外科)
北京市三级医保、新农合定点医疗机构
医保号: 08159090
咨询预约: 400-0655-120
010-62856916/18
三博网址: www.sbnk.cn
公众微信 : sanbonaoke
连锁机构:
昆明三博脑科医院
重庆三博长安医院
重庆三博江陵医院