针对肺炎,相信大家再熟悉不过了,而肺炎中最为常见的,便是支气管肺炎。今天刘医生就带大家认识认识支气管肺炎的相关知识和影像学表现。
概述:
当病原体侵犯周围呼吸道上皮,引起支气管及周围肺组织炎症,即为支气管肺炎也称小叶性肺炎,病原体经支气管入侵,引起细支气管、终末细支气管及肺泡的炎症。
病理学上多为 金黄色葡萄球菌、肺炎双球菌及链球菌 感染所致的细支气管、终末细支气管及远端肺泡的感染。病变范围为小叶性,呈散在分布,亦可融合呈片。致病菌由支气管或细支气管蔓延,使肺泡壁及细支气管管壁发生炎性充血、水肿,白细胞、吞噬细胞、纤维素等炎性渗出物充填肺泡和细支气管,形成肺小叶性实变。病程中,若细支气管发生不同程度的阻塞,可出现小叶性肺气肿或肺不张。
支气管肺炎多见于婴幼儿、老年人及长期卧床身体衰弱的患者,昏迷或手术后的患者也易于感染。临床上可见发热、咳嗽、咳泡沫黏液痰或脓性痰、胸痛和呼吸困难等症状,听诊可闻及干啰音。因患者虚弱,抵抗力低,故体温及白细胞可不升高。

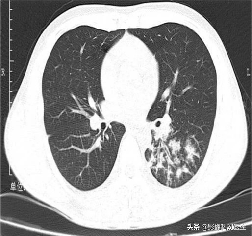
影像学表现:
支气管肺炎累及多肺叶、多肺段,沿支气管血管束分布,下叶多见,常表现为多发、边界不清的结节样阴影,为腺泡结节,多位于小叶中央;部分呈磨玻璃密度影,部分病灶可融合;由于炎症导致终末细支气管阻塞,可引起局限性肺气肿,当化脓感染时,可出现大小不等的空洞。
X 线表现:沿着肺门、中下肺野、内中带斑片状密度增浓影,边缘模糊。
CT 表现:表现为两肺中下野内中带云絮状、斑片状、结节状高密度影,沿支气管走行分布,边缘模糊,散在的小片状影,可以融合成大片状,可并发小叶性肺气肿及肺不张。

CT表现


鉴别诊断:大叶性肺炎
大叶性肺炎:青壮年;病原体为肺炎链球菌;大体病理单一肺叶或肺段弥漫分布;影像表现为实变及磨玻璃灶,支气管气相,病变肺体积可增大,不跨叶间裂;炎症类型为纤维素性炎症;转归大部分病例短期完全吸收。
支气管肺炎:婴幼儿、老年人;病原体多样;大体病理双肺沿支气管血管束不均匀分布;影像表现多发磨玻璃灶、小叶中心结节,可融合呈斑片状实变影,病变肺体积可缩小;肺气肿及空洞,胸腔积液;炎症类型为化脓性炎症;转归吸收缓慢,并发症常见。

总结:支气管肺炎是一种影响肺部支气管的肺炎。这种情况通常由细菌感染引起,但病毒和真菌感染也可引起细菌感染。
症状可能有所不同,但通常包括咳嗽,呼吸困难和发烧。如果不治疗或某些人,支气管肺炎可能会变得严重,有时会导致死亡。这种疾病对幼儿,老年人和某些其他健康状况的人尤其危险。
通常情况下,没有受到其他健康问题影响的人会在几周内通过适当的治疗恢复。根据感染的严重程度,治疗可以在家中或在医院进行。接种疫苗可以帮助保护有风险的人免于支气管肺炎。
我是影像科刘医生,专注分享医学、健康方面相关知识,如果您觉得文章不错,欢迎转发、点赞或加个关注,我会定期更新医学健康方面相关知识,共同进步。
#关注新型肺炎# #2020医路守护# #清风计划# @青云计划 @头条健康