患者男,57岁,主因“肢体抖动3年半,记忆力减退3年,反复跌倒1年”收入神经变性病科。
现病史:
患者3年半前无明显诱因出现右下肢不自主抖动,静止时出现,随后出现左下肢不自主抖动,伴有运动迟缓,表现为洗脸、刷牙、穿衣、写字慢,行走时身体向右倾斜,步态慢,右上肢摆臂少。并逐渐出现记忆力减退,经常将钥匙锁在家里。给予森福罗、金刚烷胺等治疗,肢体抖动症状改善不明显。
2年10个月前出现尿频、尿急、排尿困难,伴言语不清,说话声音变小,音调降低,流泪、流涎。
2年半前出现全身乏力,行走时身体前倾、步幅小,步态慢,向前和向后各摔倒一次。伴性格改变、情绪暴躁、易怒,伴睡眠中大喊大叫、嗅觉减退,偶有尿*禁失**。伴便秘,3-4天1次。给予美多巴、森福罗、柯丹、金刚烷胺等治疗后,上述症状稍改善。
但症状逐渐加重,1年前出现反复跌倒,主要向后跌倒,1月1次至1天3次不等。病程中无幻觉,生活可自理,无迷路等现象。目前服用美多巴250mg早晚餐前1小时、柯丹0.2g早晚餐前1小时,森福罗1mg早晚餐后各一次,金刚烷胺早晚餐后各一次。疗效欠佳。
用药反应

既往:有高血压、糖尿病、高血脂、腔隙性脑梗死、前列腺增生,均规律服药。
入院查体:轻度构音障碍,面具脸,记忆力、计算力降落,定向力、理解判断力粗测正常。双眼球上下视活动受限。四肢肌张力呈齿轮样增高。双下肢及右上肢可见静止性震颤,左上肢可见姿势性震颤。站立时身体前倾,步态缓慢,双上肢联带动作减少,未见前冲步态。后拉试验阳性。双上肢腱反射正常对称,双下肢腱反射消失。
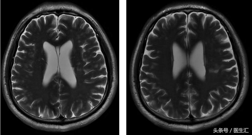
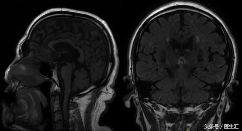
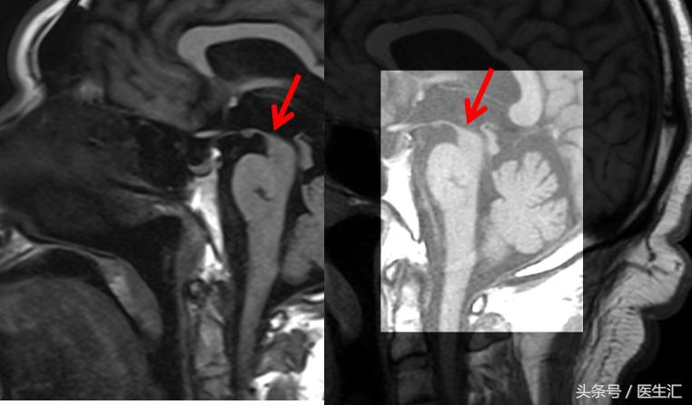
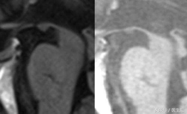
辅助检查

影像检查







诊断:
定位诊断:
1、锥体外系
2、广泛大脑皮层(额叶为著)
3、自主神经
4、周围神经
定性诊断:
进行性核上性麻痹-帕金森型
2013年、2014年均诊断为帕金森病