
近日,佛山市中医院骨病专科成功在CT引导下经皮穿刺,运用射频消融技术治疗骨样骨瘤。本次手术是我院运用先进的微创技术治疗骨肿瘤的又一例证,新技术的顺利开展为广大骨肿瘤患者带来了新的曙光。
首例应用微创疗法获成功
35岁的李先生因“反复左大腿疼痛不适半年余”入住我院骨病专科(骨十四科)。诊断为:左股骨上段骨样骨瘤。接诊后,科主任劳永锵副主任医师表示,因肿瘤所在位置附近有较多神经和血管,采用传统的切开病灶刮除术,手术难度高,创伤大,风险高,且存在难以在术中完全准确定位瘤巢等问题。

术前CT检查
为此,经骨病专科团队讨论,在麻醉科、医学影像科等的全程协助下,在院内首次创新性地采用CT引导下经皮穿刺射频消融术治疗骨样骨瘤。术后当晚患者疼痛症状消失,两天后康复出院。

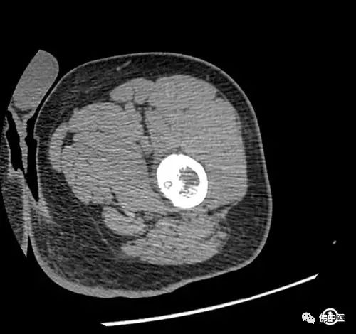
术中CT照片

术后X光片
骨样骨瘤局限疼痛源自骨内小瘤巢
据劳永锵介绍,骨样骨瘤为良性成骨性肿瘤,好发于8~18岁的年龄段,男女比例为2:1。病灶为一小的瘤巢,周围有许多成熟的反应骨,最常见部位为股骨小粗隆、肱骨近端内侧皮质、胫骨远端1/3,也可见于脊柱的附件,但很少见于扁平骨、髓腔内和松质骨。
该病的临床表现为非常局限的疼痛,多发生于夜间或休息时,疼痛强度不一,严重时可致关节活动受限,若病灶位于脊柱附件者,可出现疼痛性脊柱侧弯。
骨样骨瘤为可自愈性疾病,一般预后良好。少部分症状轻微者可运用水杨酸盐制剂对症保守治疗待其自愈,但绝大多数病例因症状较明显,持续时间较长,应行手术治疗。
传统手术刮骨疗伤创口大
劳永锵介绍,手术治疗的原则是“准确定位,彻底刮除巢穴”。传统的外科切开病灶刮除术创伤较大,需清除瘤巢附近大量的反应骨才能到达病灶部位,同时更要彻底切除肿瘤组织才能防止复发,因此常易合并病灶部位骨折、感染、出血、神经损伤等风险。另外,因病灶较小,且常在骨内生长,术者在术中往往难以准确定位瘤巢,病灶清除往往不够彻底。如何才能减少创伤,又准确定位瘤巢并完全清除病灶呢?临床医生在治疗骨样骨瘤疾病时往往会陷入两难的局面。

左图:骨样骨瘤传统手术切口
右图:CT引导下经皮穿刺射频消融术愈合的术口
CT引导经皮穿刺射频消融疗效好
CT引导下经皮穿刺射频消融术是近几年发展的微创新技术,其创伤少,能明显降低骨折、感染等风险;同时,该技术借助CT引导,能准确地定位瘤巢,经皮穿刺直达病灶,其后把冷循环单电极置入瘤巢中心,对病灶及周围约1.2cm组织进行连续射频消融。据劳永锵介绍,消融中心温度可高达90℃,持续或间断作用5-10分钟后,可对病灶进行热损毁,从而保证治疗效果。“这种术式一次治愈率约90%,复发病例二次治愈率可达100%。该技术的成功引进,将给患者带来更好的治疗体验和更安全的治疗效果。”

劳永锵教授开展CT引导下经皮穿刺射频消融术微创治疗骨样骨瘤
(骨病专科/图文)

骨病专科(骨十四科)简介
佛山市中医院骨病专科(骨十四科)2015年正式独立建科,现开放病床48张。科室成员参与科研课题多项,已在国内核心期刊发表学术论文多篇,形成集临床、科研、教学为一体的诊疗单元。

劳永锵教授带领其团队查房(资料图片)
科室成立至今,积极引入国内外骨病、骨肿瘤的先进技术和最新研究成果,诊治水平达国内先进。擅长应用中西医结合治疗四肢创伤骨折、骨折不愈合、骨不连及骨缺损、急、慢性骨髓炎、病理性骨折等获得良好疗效。特别开展了髋部肿瘤切除及重建、恶性骨肿瘤保肢术、髋、膝部巨大肿瘤切除人工肿瘤假体置换重建等高难度手术,其中创新性开展微创自固化磷酸钙人工骨修复小儿骨囊肿骨缺损取得良好疗效,明显降低小儿骨囊肿复发率。
◆ ◆ ◆ ◆ ◆

劳永锵教授(中)
专家简介:劳永锵
骨病专科(骨十四科)主任,广州中医药大学临床医学系,副主任中医医师,从事骨伤科临床工作十多年,在医疗实践中积累了丰富的经验,专注骨病,擅长各种良性骨肿瘤手术、恶性骨与软组织肿瘤的保肢治疗及骨转移癌的常见病治疗,手术如:人工膝、髋、肩关节肿瘤型假体置换术等。现任中国中医药研究促进会骨伤科分会骨肿瘤专委会常委,广东省医学会骨质疏松分会委员,广东省中西医结合学会骨肿瘤学组成员,佛山市中西医结合学会肿瘤专业委员会第一届委员会委员。
开诊时间:周三下午
开诊地点:1号楼骨伤科门诊18室
“牢记习*平近**总书记嘱托 推进广东佛山再创新局”:点击“阅读原文”有相关精彩H5。