不想错过界哥的推送?
戳上方蓝字“医学界 呼吸 频道”关注我们
并点击右上角“···”菜单,选择“设为星标”

一起跟这些病例学习一下气胸的诊断吧!
文丨关关
来源丨医学界影像诊断与介入频 道
气胸的X线表现
胸膜腔内气体表现为均匀一致的,低密度影位于较高的部位,同时可见到受压的肺组织,其密度高于正常肺组织,并向肺门方向收缩。
分享几个病例,一起来学习一下吧!
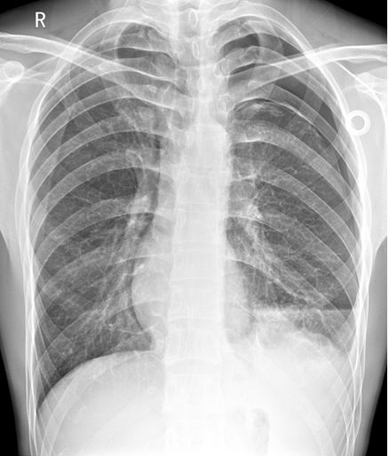
病例1

病例1患者的X线胸片
左上肺肺野可见肺叶压缩带边缘,肺叶压缩约30%(灰色区域)。左下肺野可见液-气平面,约与第5前肋相平(蓝色虚线),肺门影不浓。心影及纵隔向对侧轻度移位。

侧位片可见左侧肋膈角变钝,少量胸腔积液
病例2

病例2患者的X线胸片
-
黑色区域:无肺纹理区域。肺叶压缩约70%;
-
蓝色虚线:被压缩肺组织边缘;
-
紫色箭头:肋膈角可见液-气平面;
-
橙色实线:第3、4肋骨前端骨桥关节,肋骨骨桥(先天变异);
-
可见心影及纵隔向对侧轻度移位。
病例3

病例3患者的X线胸片
右上肺野见异常透亮无肺纹理区,内缘可见发线状肺组织压缩边缘,肺叶被压缩约30%(蓝色箭头)。心影及纵隔向对侧轻度移位(蓝色直线)。两膈面光滑,肋膈角锐利。
病例4

病例4患者的X线胸片
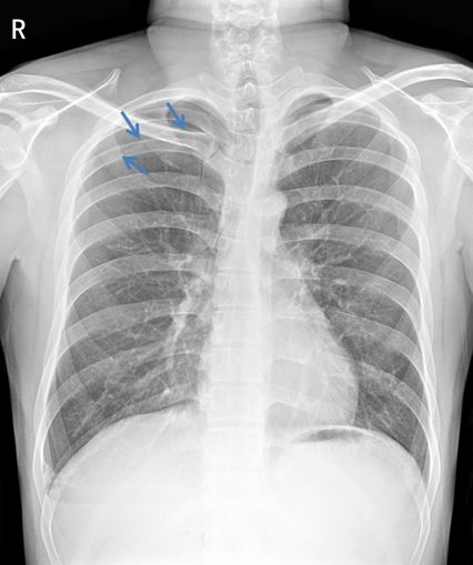
患者右肺上叶可见肺叶压缩带边缘,肺叶压缩约5% (蓝色箭头)。
病例5

病例5患者左肺野外带可见无血管纹理区及肺叶压缩带边缘(红色箭头),肺叶压缩约5%
点拨:有时肺组织压缩边缘全部或部分与肋骨走行重合,可以通过调节负相帮助进一步视察。
病例6
杨某,男,25岁,参加篮球比赛突发胸痛、呼吸困难,送医院检查。

病例6患者的X线胸片
患者右侧肺野内见带状异常透亮无肺纹理区,内侧缘可见发线状被压缩肺组织外缘(红色箭头),被压缩约75%以上,两肺门影不大,肋膈角清晰、锐利,心影形态、大小正常,纵隔稍向左移位。

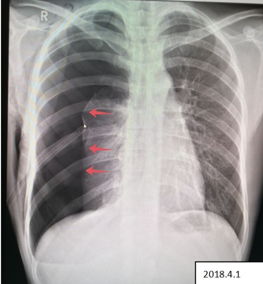
2018.4.1 患者复查X线图像
患者右肺气胸复查所见:右侧肺野外带(约占肺野4/5)见带状异常透亮无肺纹理区,内侧缘可见发线状被压缩肺组织外缘,被压缩约75%以上,内可见引流管置入影。 右侧胸壁可见气体影。

2018.4.6 气胸复张,右下肺见液平面

2018.4.17 气胸复张,右下肺见液平面已吸收

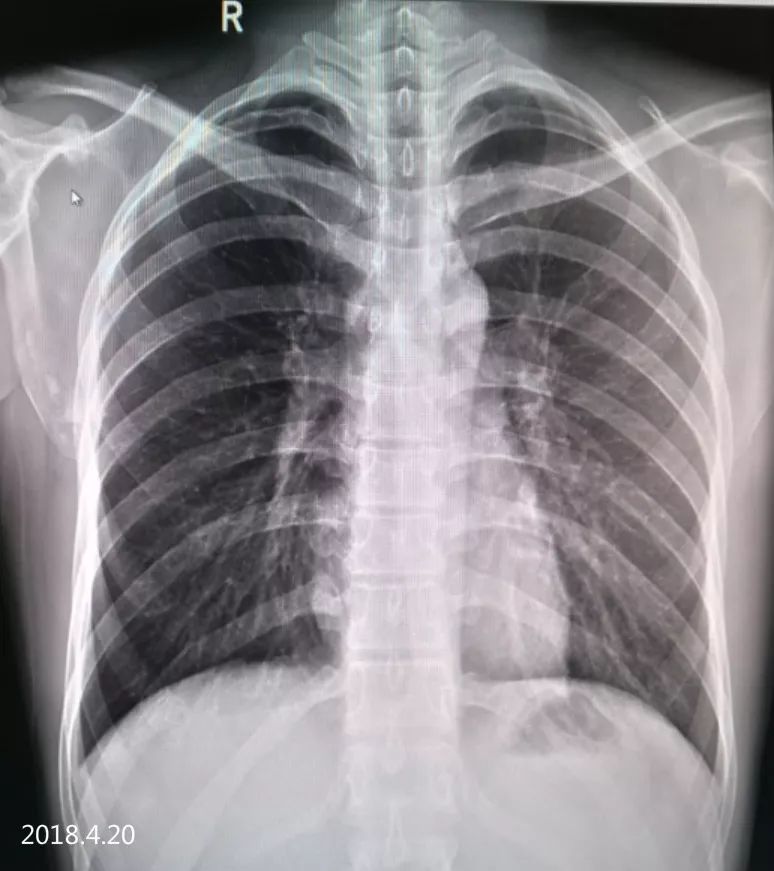
2018.4.20 经过约20天的治疗,肺组织已复张
参考文献:
1.《医学影像诊断学》人民卫生出版社 第2版
觉得好看,请点这里
↓↓↓↓