
*弹子**栓塞心脏是一种罕见情况。本病例介绍了一位40岁女性中枪患者,*弹子**由其右锁骨处进入右心室,最后使用套圈技术经皮取出。
医脉通编译整理,未经授权请勿转载。
学习要点
1. 目前,在无症状患者的心脏中取出*弹子**存在争议。尚无随机试验进行取出*弹子**与保守治疗的疗效对比。
2. 在右心室腔内取出*弹子**可行且相对安全,但应根据患者所在医院的经验和资源来确定。
病例介绍
40岁女性,因“枪击伤”在8天前由综合医院转入本院心脏中心。
患者既往无病史或合并症。CT误以为*弹子**位于心脏外。床旁超声未发现*弹子**踪影。胸外科医生在胸骨下做了一个切口,同样未发现*弹子**,故用胸骨线缝合伤口,并将患者转入本中心。
转入心脏中心时,患者的血流动力学稳定,心率为96 bpm,血压为110/70 mmHg,呼吸频率为17 次/分。心电图及肌钙蛋白T等血液指标均正常。
患者告诉其丈夫,其在身体前倾时受到枪击。检查显示,*弹子**在右侧锁骨内侧约1/3处进入。胸部X线显示,*弹子**在心脏下缘的心脏阴影内,无气胸和锁骨骨折,如图1左。经校正后显示,*弹子**位于右心室内,如图1右。

图1 左:心脏阴影处为*弹子**,无气胸或锁骨骨折,有两条胸骨下切开缝合线(胸骨切开取出失败);右:右心室隔膜上有*弹子**,周围有伪影。
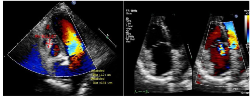
经胸超声心动图(TTE)后角心尖四腔观显示*弹子**位于右心腔内,如图2左。四腔观显示,轻度三尖瓣反流,室间隔完整,无心包积液,如图2右图。

图2 左:后角心尖四腔观显示*弹子**位于右心腔内;右:四腔观显示轻度三尖瓣反流。
注:在常规四腔视图中,未发现*弹子**在右心室。
取弹历程
经过长时间的讨论,我们决定尝试经皮取出*弹子**。
在患者清醒、镇静态势下,通过TTE引导,使用16-Fr的E鞘管进行右股静脉穿刺。在治疗时斜切鞘远端,以允许更大的流入。在本病例中之所以选择此种鞘管,是因为它可以扩展到24-Fr。
在治疗过程中,运用了下面的组件:尖端可偏转的AGILIS NXT可控导管鞘,5-Fr Judkins Right指引导管和15 mm单向鹅颈管套圈。
首先,我们试图将*弹子**从右心室腔内捕捉到三尖瓣下。此时,TEE显示三尖瓣反流由轻度增加到中度,但三尖瓣叶和瓣膜下结构未受到机械影响。
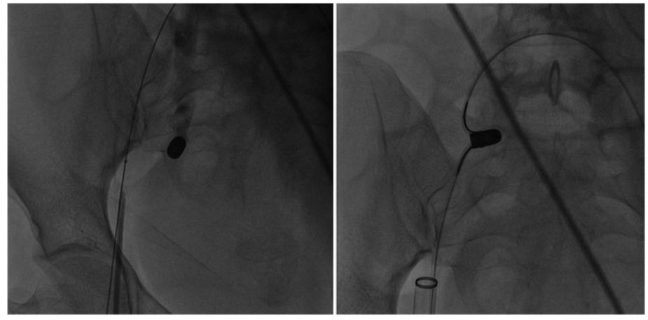
用套圈将*弹子**从外到内捕捉,以保证其适用于任何结构,如图3左;随后认真操作Agilis导管,并逆时针旋转到右心房。*弹子**进入右心房后,三尖瓣反流降低至轻度。在下腔静脉中,曾试图将整个组件与16-Fr结合,但最终以失败告终,因此将*弹子**拉至腹股沟,如图3右。

图3 左:*弹子**卡在右心室;右:用16-Fr鞘在右腹股沟捕获*弹子**
之后,*弹子**滑出向上移动到髂总静脉,并向下移动至右侧髂内静脉,如图4左。为了避免*弹子**滑脱,应在腹股沟*弹子**附近画一8字形缝合线。之后,选择由24-Fr鞘、JR 5-Fr引导管和15 mm的鹅颈管圈套组成的组件通过右侧股静脉,并在右侧股静脉内处理鹅颈管套圈。同时使用两个套圈捕捉*弹子**(图4右侧),并通过24-Fr鞘将*弹子**在右股静脉内安全取出,最终使用8号缝合线缝合静脉。

图4 左:*弹子**在套圈中滑脱,向上移动至右侧髂总静脉,之后又向下移动至右侧髂内静脉;右:两个股静脉套圈均捕获*弹子**
手术后,没有任何心律失常,取出的*弹子**(长12 mm,宽6 mm),如图5右所示。

图5 左:将*弹子**从右股静脉的24-Fr鞘中取出;右:取出套圈中的*弹子**(长12 mm,宽6 mm)
2d后,患者出院。1个月后,门诊随访显示患者病情稳定,TTE正常。
病例讨论
本病例的发布增加了一例成功在心脏内取出*弹子**的例子,并鼓励专业的介入心脏病学医生利用经皮手术而非开心手术取出*弹子**。
本病例中,*弹子**入心脏的过程较为罕见,其从远处发射,击中右锁骨,并进入右锁骨下静脉、无名静脉,再进入上腔静脉达到右心房,并通过三尖瓣,定居于右心室。
1982年,Cysne等报告了一个类似的过程,其通过手术将*弹子**取出。Yoon等在过去55年内,对心脏*弹子**栓塞处理进行了非常有趣的调查,证明大部分*弹子**栓塞在右心腔。在30例报告中,19例患者进行了手术移除,6患者进行视察,5例患者尝试了血管内移除。在进行血管内移除的5例患者中,3例失败,另外2例在右心室腔内各成功取出一颗*弹子**。其中,1980年,Hartzler通过血管内介入治疗在右心室内成功取出一颗*弹子**(首例)。*弹子**入口在左颈,其通过颈内静脉运用活体钳取出。1992年,Nazir等报道了第二例相关病例,*弹子**入口在背部,其用球囊将*弹子**取出。
本病例展示了在右心室腔内成功取出*弹子**的套圈技术。Alan Elison等认为,目前还没有关于可移动*弹子**处理的相关指南。在25%的病例中,*弹子**残留的死亡率为6%,且与并发症相关;取出*弹子**后,患者死亡率降至1%-2%。Carter等认为,只要在技术上可行,则*弹子**就可在血管内取出。在作者中心还曾报道过1例*弹子**部分嵌入室间隔左室侧的病例。当时,*弹子**周围已形成血栓,有栓塞风险,于是进行经皮介入治疗将*弹子**取出。
结语
1. 随着血管内技术和设备的发展,我们认为在心脏内将*弹子**取出安全可行。
2. 在治疗过程中,强烈建议进行超声心动图,以利于早期发现并发症。另外,可准确使用X线、超声心动图、计算机断层扫描等工具,进行精确诊断。
3. 建议有*弹子**栓塞风险的患者快速转诊至可进行介入治疗的心脏中心,并立即取出*弹子**。
4. 目前,尚没有随机试验对比取出*弹子**和保留*弹子**(保守治疗)的疗效。因此,在大多数病例中尝试取出心脏中的*弹子**,但在无症状稳定患者中的证据尚不够。
5. 是否取出*弹子**的决定还应根据每个心脏中心的经验和可获得的资源进行决定。
医脉通编译自:Hesham Abdo Naeim, Reda Abuelatta, Hasan Sandogji, et al. Percutaneous retrieval of an embolized gunshot bullet fromright ventricle: a case report and review of literature. European Heart Journal - Case Reports. 2019; 3: 1-5. Doi:10.1093/ehjcr/ytz059.