
神经介入在线原创文章,如需转载请留言

作者|崔凯,张义森,姜鹏,马宁
单位|首都医科大学附属北京天坛医院
本
周我们汇报一例右椎动脉V4段重度狭窄短期进展闭塞的血管内介入治疗过程,具体如下。

病例详情
患者,男性,65岁,因“间断发作头晕一月余”入院。
患者一个月前劳累后出现头晕,间断发作,每次持续约5-6分钟,可自行缓解。初未引起重视。其后因症状反复且程度加重,当地医院就诊,行MR提示桥脑及左侧小脑有新发梗死灶(图1)。

图1
MRA:基底动脉中远段重度狭窄,右后交通动脉开放,左胚胎型大脑后动脉,双颈内动脉颅内段及双大脑中动脉多发轻-中度狭窄(图2)。

图2
DSA:右侧椎动脉V4段重度狭窄,前向血流减慢,基底动脉近中段未见顺行显影,左侧椎动脉V4段远心端闭塞,右后交通动脉开放,经右颈内动脉造影可见基底动脉中远段显影,左胚胎型大脑后动脉(图3-5)。

图3

图4

图5
既往史:糖尿病,高血压病。
查体:右跟膝胫试验欠稳准,余阴性。
化验检查:LDL:1.46mmol/L;血栓弹力图:AA 96.9% ADP 19.8%;糖化血红蛋白13%。
入院后给予双抗抗血小板(拜阿司匹林100mg/日+氯吡格雷75mg /日)、调脂稳斑(阿托伐他汀20mg /日)及降糖等治疗。
入院后后循环CTP:后循环区域低灌注(图6)。

图6
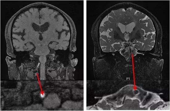
HR-MRI:右椎动脉V4狭窄段管腔斑块强化,基底动脉管壁增厚,可见管腔流空(图7)。

图7
术前讨论
●1.手术指征:患者有反复后循环缺血发作,内科药物治疗下右椎动脉V4重度狭窄进行性加重甚至存在闭塞可能,左侧椎动脉V4闭塞,椎基底系统考虑为责任血管,基底动脉造影未见顺行显影,结合高分辨核磁信息,考虑管腔通畅,但不除外存在狭窄。拟处理右椎动脉V4段狭窄。
●2.治疗策略:拟采用小球囊预扩张,然后放置自膨式支架。
●3.相关风险:高灌注,边支、穿支闭塞,动脉夹层,急性、亚急性血栓形成等。
治疗过程简述
全麻下右股动脉穿刺置入6F动脉鞘,将6F导引导管至右椎动脉V1段,造影:右椎动脉V2段近段及远段狭窄。右椎动脉V4闭塞,右椎动脉V4远段经由脊髓前动脉代偿显影,左椎动脉由对侧椎动脉肌支及脊髓前代偿部分显影(图8)。

图8
路径图下沿导引导管送入Echelon-10微导管携带Pilot 50(0.014” ,190cm)微导丝,通过右侧椎动脉V4闭塞段,撤出微导丝微量造影证实微导管位于闭塞远端正常管腔(图9)。

图9
经微导管送入Transend(0.014” ,300cm)微导丝至基底动脉中段。撤出微导管沿微导丝送入Sprinter Legend RX球囊(2.0mm×15mm)准确定位于病变处预扩张,扩张后造影显示,前向血流改善,残余狭窄50%(图10)。

图10
撤出球囊导管,沿Transend微导丝送入XT-27微导管,撤出微导丝后沿微导管送入Neuroform EZ(3.0 mm×30mm)自膨式支架至病变处释放,造影显示前向血流好,TICI分级 3级,残余狭窄率约10%,同侧PICA显影良好(图11)。视察10分钟无变化后结束治疗。

图11
术后查体同前。
术后立即复查头CT:未见出血。
术后复查头颅CTA:右椎动脉V4段支架通畅(图12)。

图12
讨论
高分辨核磁有助判断颅内重度狭窄或者闭塞病变远端血管情况;选择Off-label Pilot 50微导丝,因其超滑且兼有一定的硬度,结合微导管,有助于通过颅内闭塞性病变。本例右椎动脉V2段和基底动脉狭窄,因狭窄程度未超过70%,未予以同期干预。针对其远期疗效,我们会加强远期随访,未来再向大家汇报。
欢迎大家在下方留言区讨论关于本病例的看法~

往期精彩回顾
Recommended reading
