做正畸治疗前,牙医都会为患者出一套方案,然而有时你会发现你的方案“加了料”,需要做很多别人不用做的事情:片切、扩弓、支抗钉、拔牙、磨牙远移·····
片切 轻度拥挤的利器
首先大家要明确,矫正是让牙齿移动使之排列整齐,那么移动必须有足够的空间。片切就是为了给我们的牙齿创造移动的间隙。

通过上图你可以看到,我们的牙齿是两两相邻的,而片切呢,就是把牙齿与牙齿之间相邻的部分磨掉一丢丢,获取间隙,然后再通过矫正把缝隙收起来。

这磨掉的“一丢丢”也是很有讲究的,一般单颗邻间控制在 0.2-0.5 mm,对医生的操作要求很高。

(各种形状的牙齿)
片切这种方式就比较适合牙冠形态不好的、或者说本身牙齿拥挤度不大的。一方面可以不用拔牙,另一方面又可以改善牙冠形态,让牙齿看上去更加美观~

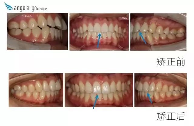
经典案例

这个女生其实牙齿情况还可以,乍一看挺整齐的,就是门牙被挤得有一点点突出。所以适当做一点片切获取间隙,就能把门牙内收进去。仔细看侧面对比,嘴巴是有内收一些哦~

(看牙齿形状,片切后形状方正了一些,更好看哦)
2.扩弓若牙弓又窄又短,扩弓能让笑的更好看
这里要先科普一个小知识:从二维平面看,我们的牙齿排列是呈弧形的,它就像一把弓箭,所以我们把它称之为牙弓。

从远古到现在,随着我们吃的食物越来越精细,牙弓就开始慢慢变小、变窄。然而牙齿数量却没随着牙弓的缩小而减少,这就导致了我们的牙齿容易出现拥挤错乱等情况,就像早高峰的公交车一样,挤一挤总能再多上两个人。

那么扩弓,顾名思义,就是把你的牙弓扩大,让每个牙齿都能有自己的座位。和拔牙、片切相似,都是为了获得牙齿矫正时需要的间隙,一般是扩大上下颌牙弓的宽度和长度。扩弓的方式分两种:
- 后牙扩弓,适合牙弓宽度窄的;
- 前牙扩弓(医生一般说唇倾),适合牙弓长度不够并且嘴不是很突的。

通过正畸进行扩弓,主要是使两侧后牙向颊侧移动而扩大牙弓,每侧可得到1-2mm的间隙,利用这个间隙就可以使牙齿移动到正确的位置上,完成牙齿矫正。
有一些同学又要问了,牙弓宽了我的脸岂不是也跟着宽了?这个请放心,牙弓宽度扩展的量非常有限,而且并不会改变基骨的宽度,所以不会导致脸也跟着变宽。
经典案例
看这个案例的前后对比!

是不是发现经过扩弓矫正后,不仅牙齿能够排齐,妹子的笑容也饱满了很多?
这是因为笑线饱满度取决于:咧开嘴笑的时候侧方的牙齿与口角之间的比例,这块明显的黑色空间,我们称之为齿颊间隙,空洞越小笑起来越开朗。

当你的牙弓过窄时,你的齿颊间隙自然会留出很大空,笑起来自然就不是很好看了。

所以案例中的妹子扩弓后效果很好,看矫正前后的两个口内对比照,明显矫正后牙弓圆了宽了很多对吧?笑容自然也随之饱满了。
3.磨牙远移国字脸的救星

简单来说,磨牙远移,就是让牙齿逐个往口内深处移动,以获得牙弓间隙,同时矫治磨牙关系。磨牙远移属于牙弓长度扩展的一种,适用于轻度牙列拥挤病例和部分中度牙列拥挤病例,必要时配合其他牙弓扩展方法。

上图,通过初始位与目标位的对比,可以看到方案采取了磨牙远移的手段,腾出的空隙排齐拥挤的前牙区域,让原本乱得不行的前牙通过矫治美得不行。

如果你本身属于“低角”面型,也就是我们说的国字脸,就特别适合磨牙远移。
因为牙齿在移动时,不止是水平向移动,它其实还伴有高低的变化。当你的牙齿往后走时也会带动你的面下部发生旋转,拉长面部比例。同时,推磨牙远移尤其适合通过隐形矫正来操作,对比起钢丝牙套,无论是力量的控制还是传导,隐形牙套都能做到更加精准高效。
另外一种比较常见的牙弓长度扩展是切牙唇向移动,适用于切牙较为直立或舌倾的牙列拥挤。
经典案例

这个女生矫正前有一定的拥挤,并且伴有深覆盖。

仔细看侧面的口内,她的牙齿上牙咬合太往前了。所以矫正方案采用远移上颌磨牙,使咬合稳定(磨牙及尖牙中性关系),并排齐牙列。前牙配合邻面去釉解除拥挤,原本“翘起来”的龅牙也完美内收了进去。
4.拔牙最没有办法的解决手段

矫正是让牙齿移动使之排列整齐,那么移动必须有足够的空间。针对重度拥挤的患者,采用片切、扩弓,效果都可能不理想,这时就需要拔牙了。
拔牙能创造的空隙足够大,当牙齿拔掉以后,周围的牙齿会因为矫治器的作用力产生骨改建,让其他牙齿按计划依次移动。治疗结束时,牙齿移动到新的位置上,一般经过两年的保持阶段又回归到平衡中,重头稳定下来。
拔牙不仅不会让牙齿松动,反而能排齐牙齿,利于牙周健康,使牙齿更稳固。
很多人认为矫正拔牙想拔哪颗就拔哪颗,但事实上并不是,这是有讲究的:
- 尽量拔除不能保留的病牙,不影响功能的牙。
- 参考影像和牙模,以及排牙实验后的结果,决定是否拔牙。
- 根据面型来决定是否拔牙。

通常,会选择前磨牙和智齿。前磨牙咀嚼效率低,影响最小。拔出前磨牙不易引起面型塌陷,同时也不影响美观。
至于智齿,它就像是“休眠火山”,拔了不但能消除隐患,还能助矫正、治前凸,你说拔了可惜吗?
拔牙通常会对称来拔,非常规情况下,例如牙齿有严重的龋坏、发育不良、畸形及错位等,医生也会根据矫正需要腾出的间隙和牙齿的情况,来拔除前磨牙以外的牙。
经典案例

这个女生是典型的拥挤+龅牙,开唇露齿、侧貌突出,放松态势也无法闭上嘴巴。
所以为了改善突出的面型,解除牙齿的拥挤,采用的拔牙矫治方案:拔除14、24、34(左下本身就缺了一颗前磨牙),最后收获了满意的效果。

拔牙矫正后,女生笑容变得自然有气质的多了!原先突出的侧貌内收,嘴巴可以自然闭上,侧面曲线符合直面型。
5.支抗钉精准控制牙齿移动
很多人在正畸的过程中遇到“打骨钉”,在牙槽骨里打钉子岂不是痛死了?别怕,跟拔牙比起来小菜一碟。
口腔种植支抗是将骨钉植入到患者的上颌后牙区、下颌后牙区、硬腭部,牙齿槽间隔等等的部位,利用这种植入的微种植钉作正畸治疗的支抗,牵引排列不齐的牙齿作移动。

正畸过程中,要将排列不齐的牙齿矫治成整齐有序,关键在于做好正畸支抗的设计与正畸支抗的控制,在正畸治疗时真正做到:该动的牙动、不该动的牙不动,在改正暴牙、露龈笑、深咬、臼齿过度萌出、齿列需后退等情况,都有很好的疗效,可以达成传统矫正很难做到的效果。

支抗钉植入的风险很小,松动脱落几乎是其唯一的风险。支抗钉松脱本身并不会造成伤害,只需换其它位置重头植入即可。刷牙时需要清洁支抗钉周围,并在植入后常规使用漱口水维持周围软组织的健康,减少发炎松脱的机会。
少数人的口腔黏膜可能会感到一些异物感,如果需要的话,可以白蜡覆盖骨钉,或者套上橡皮圈减轻不适。
6小总结
一般来说,轻度拥挤采用扩弓或邻面去釉,重度拥挤则采用拔牙矫治,中度拥挤者多为可拔牙也可不拔牙的边缘病例,此时应结合用户的牙颌面硬软组织形态,经全面测量分析后再决定矫治方案。
两个小建议:
1、方式有千千万万,适合自己的才是最好的。不要总想着和别人比较,每个人情况不同适应症不同,没有可比性哦。有这点时间还不如多刷牙。
2、找个好的医生,并相信你的医生。
文章底部评论留言功能已开通,大家可以一起来互动啦~!
把你想说的和想问的写下来吧!