作者:穆星星 玉溪市中医医院
云南医师讯 近期,玉溪市中医医院小儿骨科收治了一名11岁的双侧复杂僵硬性扁平足患者。患者家属发现患儿双侧扁平足多年,近1年多来左足站立及行走疼痛明显加重,并且随疼痛行走出现跛行,扁平足症状越来越明显。为了使孩子能像正常的同龄人一样生活学习,父母带着孩子多处多次就诊,保守治疗效果不理想,近期来到玉溪市中医医院寻求治疗。

上图为患者扁平足负重位外观


上图为患者扁平足负重位影像学资料
患者入院后,科室针对患者病情及时召开病历讨论专题会,经分析:患者相关查体及检查后考虑患者为:1.双侧僵硬性扁平足;2.双侧副舟骨;3.双侧踇外翻畸形。患者右足无明显疼痛,暂不考虑手术,左足症状明显,考虑手术治疗。但该复杂僵硬性的扁平足单纯给予副舟骨切除或距下关节制动器置入不能纠正足弓,左侧跟骨外翻严重,需给予跟骨内移截骨,距舟关节根据术中情况必要时需给予内侧楔骨截骨植骨,增加内侧足弓,因跟腱处紧张,考虑术中先给予腓长肌松解,切除副舟骨后胫后肌腱止点重建等。
手术顺利完成
根据病情,小儿骨科积极邀请昆明医科大学第二附属医院骨科足踝专家进行会诊及手术指导。经医院小儿骨科和昆明医科大学第二附属医院骨科足踝专家的配合,对该复杂僵硬性扁平足患者进行了左侧扁平足跟骨内移截骨钢板固定,距下关节制动器置入,副舟骨切除,胫后肌腱止点重建术,腓长肌松解,内侧楔骨截骨植骨钢板固定,取同侧髂骨植骨术等多处复杂性手术治疗,手术历经2小时,圆满顺利完成。

上图为患者扁平足术中影像资料


上图为患者扁平足术后外观


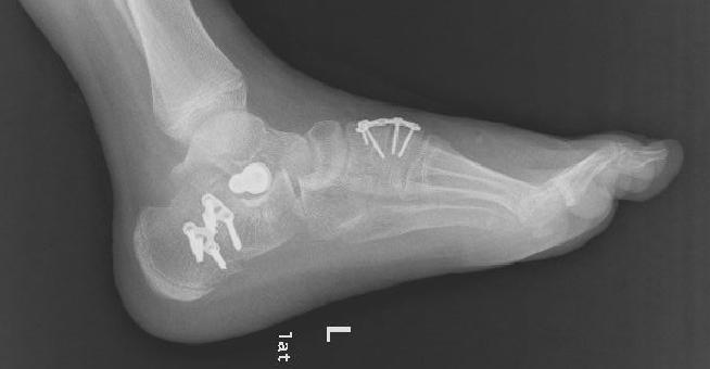
上图为患者扁平足术后影像资料
术后小儿骨科按照术前制定的护理及康复方案,从术后伤口护理、体位护理、下床训练、扶拐行走训练等各方面指导患者进行康复。患者于近期治愈出院,现经门诊复诊治疗效果满意。这是玉溪市中医医院完成的第一例复杂僵硬性扁平足手术,标志着医院治疗青少年扁平足进入了一个新的阶段。
关于扁平足
又称平足症,指足弓低平或消失,患足外翻,站立、行走的时候足弓塌陷,引起足部疼痛的一种畸形。足弓是人类脚的重要结构,足弓使足部富有弹性,既可吸收地面对脚的冲击力量,又可锁定中足关节,使脚变得坚硬,更好地推动人体行走。很多平足患者特别是儿童平足为柔韧性平足,是足在非负重态势下足弓存在,负重后足弓即消失。此时由于关节的活动性尚存在,称为可复性平足或柔韧性平足,大部分柔韧性平足没有症状,也不需要治疗。只有少部分儿童平足可能会逐渐引起整个身体体态的变化,可能合并足部骨结构异常,如垂直距骨、跗骨融合畸形等。此类患者常常出现关节病变、活动受限,畸形不能复位,就称为僵硬性平足。