糖尿病在病情发展到了一定阶段的时候,血糖难以平稳控制,必须采用胰岛素注射治疗,否则可能会增加并发症发生的几率,甚至导致生命危险。长期的胰岛素注射给很多糖尿病人带来了很大的痛苦和伤害,德国人发明的这项技术,改善了这种现状,让全球3.5亿糖尿病患者得益。

德国无针雾状注射技术
无针注射器在精密测定的压力下,瞬间将药物以“液体针”的情势,通过微孔穿过表皮细胞注入皮下组织。 均匀渗透吸收:药物通过高速射流注入皮下组织,以雾状情势均匀分布,大大提高药物吸收率,长期注射使用,避免皮下硬结。

无针头,通过压力将药液呈雾状压进体内
无针雾状弥散式注射,不会产生皮下硬结和脂肪萎缩。 反复在同一部位注射胰岛素会导致皮下脂肪组织代谢障碍,从而产生皮下脂肪增生、皮下硬结和脂肪萎缩现象。在皮下硬结上注射胰岛素会使胰岛素的吸收率降落,吸收时间延长,进而导致血糖控制不稳定。无针注射可以避免这种状况的发生。
药液呈雾状进入体内,分别均匀,吸收充分、完全
胰岛素应注射入皮下组织,以确保其稳定吸收。 注射过浅:胰岛素吸收不充分,造成血糖控制不理想。 注射过深:会将胰岛素注射入肌肉层,从而引起低血糖风险。传统针头注射很难确保每次注射的深度刚好在皮下,可能会出现注射过深或者过浅的风险。无针注射压力稳定确保注射入皮下组织。

无针注射,压力恒定,确保药液均匀注射入皮下组织
液体软针,超细微孔,没有针头入侵皮肤,保持组织完整性

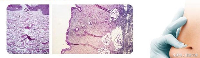
使用无针注射后皮下组织图片,皮下组织没有受到损失
避免交叉感染所有材料为拜耳模克隆(Makrolon®)医用塑料,为一次性使用耗材,能有效避免交叉感染。

材料为拜耳模克隆(Makrolon®)医用塑料
操作简单,便于使用;外形小巧精致,携带方便。使用起来很简单 可适用于市场上任何品牌胰岛素

适用于市面上各品牌所有的胰岛素品类
无针注射胰岛素在注射后20分钟时达到药物峰值,比有针注射高出近40%的吸收率 ,平稳控制血糖,长期使用可以有效控制并发症。
无针注射比传统针头注射高出近40%吸收率
无针注射系统,可以完成7000次精准注射。 injex无针注射器主要采用顶级钢材和拜耳模克隆(Makrolon®)医用塑料,经过德国TUV机构认证,确保可以精准注射7000次。
采用高品质材质,手工制作,确保7000次的超长使用寿命
停止扎针伤害! 全球每年有200-350万人收到扎针伤害。 调查表明有50%的医护人员不会报告他们的针扎伤害。无针注射技术的投入使用,给患者和医务工作者都避免了针扎伤害、减少了交叉感染的几率、减少了医疗垃圾的产生。
新技术,给人类更好的关怀