病例连载介绍
常见的心肌病有哪些?心肌病该如何诊断和治疗呢?心在线每周四《心肌病·系列病例》带您轻松学习心肌病!
心衰、房颤、肺动脉高压、房间隔缺损、二尖瓣脱垂并重度关闭不全等多种疾病缠身,到底是何原因引起长达6年之久的心衰?患者到底所患何病?且看中国医学科学院阜外医院卢志南教授如何一步步抽丝剥茧找出"真凶"。
病史
61岁男性,因"反复夜间胸闷6年,下肢浮肿10个月,加重2个月"于2016年5月16日入我院急诊。
现病史
6年前,患者反复于夜间静卧休息时感胸闷不适伴烦躁,夜间睡眠不佳,无强迫坐位、咳嗽、咳痰,日间活动耐量良好,可从事重体力活动,就诊于外院,心电图提示"房颤",间断服用阿司匹林。
5年前,外院体检,多次行超声心动图检查提示双房、右室增大,二尖瓣前叶错位脱垂并二尖瓣中度关闭不全,未进一步诊治。
10个月前,患者夜间胸闷症状加重,多需半卧位休息,伴双下肢浮肿。外院胸片提示肺纹理增粗,心影增大,心胸比0.67。超声心动图提示LA 57 mm,LV 48 mm,LVEF 69%,RA 55 mm,RV 41 mm,三尖瓣收缩期反流峰值流速3.37 m/s,估测肺动脉收缩压55 mmHg,二尖瓣前叶轻度脱垂并中度关闭不全,三尖瓣轻中度反流,主动脉瓣轻度反流,肺动脉轻度增宽。心脏CT提示心脏增大,以右心左房增大为著,双肺动静脉增宽。腹部超声提示肝淤血,胆胰脾双肾未见明显异常,未见明显腹腔积液。动态心电图提示房颤,间歇性高度房室传导阻滞并交界性逸搏,偶发室早,短阵室速2次。给予华法林2.5 mg qd、呋塞米20 mg bid、螺内酯20 mg qd、依那普利5 mg bid,酒石酸美托洛尔23.75 mg qd,经治疗,患者夜间胸闷好转,下肢浮肿明显消退。
2个月前,患者下肢浮肿再发,且夜间发作一次阵发性呼吸困难,端坐休息后自行好转,且近2周患者夜间不能平卧休息,再次至外院就诊,加用地高辛及布美他尼口服,效果欠佳。患者呼吸困难加重,为进一步治疗转入我院急诊,给予抗心衰治疗后,患者尿量大于入量,胸闷症状缓解,于当天16:56收入病房。
既往史
1998年车祸外伤行部分小肠切除术。
个人史及家族史
吸烟40年,20支/日,未戒烟,吸烟指数800;无饮酒史。家族史无特殊。
体魄检查
慢性病容,强迫坐位。T 36.5℃,BP 110/60 mmHg,P 74次/分,R 20次/分。颈静脉怒张。双肺呼吸音粗,未闻及明显干湿啰音。心尖搏动范围弥散,心率80次/分,律绝对不齐,A2<P2,心尖部可闻及收缩期粗糙3/6级吹风样杂音,向左腋下传导。腹软,肝脾未触及,下肢轻度凹陷性水肿。
实验室检查
血常规
WBC 4.53×109/L,N% 73.1%,N 3.31×109/L,Hb 124.00 g/L,PLT 294×109/L。
肝肾功能
TP 41.9 g/L,ALB 19.9 g/L,ALT 31 IU/L,AST 34 IU/L,Cr 80.32 μmol/L,BUN 6.45 mmol/L,UA 435.26 μmol/L。
血气分析
(室温,双鼻导管吸氧2 L/min,桡动脉)PH 7.456,PO2110 mmHg,PCO230.1 mmHg,SO298.1%,HCO3- 20.9 mmHg,BE(B)-2.4 mmol/L,Lac 0.8 mmol/L。
心肌损伤标志物
cTnI,CK-MB,MYO均在正常范围。
NT-proBNP2848.48 pg/ml。
辅助检查
心电图
房颤,电轴右偏,不完全右束支传导阻滞(图1)(急诊)
房颤,电轴右偏,不完全右束支传导阻滞(图2)(病房)

图1

图2
超声心动图
LA 54 mm,LV 45 mm,LVEF 60%,RA 76 mm×58 mm,RV 39 mm,室壁厚度正常,运动欠协调,二尖瓣前叶稍厚,收缩期脱向左房,致对合不拢,三尖瓣中量反流,流速3.2 m/s,估测肺动脉收缩压51 mmHg。(急诊)
思考一:如何诊断?本例患者心衰病史时间较长,临床症状重;经积极抗心衰治疗后右心衰仍然非常明显,表现为仍有双下肢水肿,颈静脉怒张;房颤病史时间较长,超声心动图提示双房大尤其是右房增大,肺动脉高压较明显,合并二尖瓣脱垂、关闭不全;室壁厚度正常。综合考虑限制型心肌病可能,同时合并瓣膜病(二尖瓣脱垂、二尖瓣中度关闭不全、三尖瓣中度关闭不全),心律失常(永久性房颤、非持续性室速、间歇性三度房室传导阻滞)。
诊疗经过
患者入院后,加强管理和教育,控制入量在1500~1800 ml/d;加强利尿,每日保持负平衡,改善症状(图3)。规范抗心衰治疗:福辛普利5 mg qd、卡维地洛12.5 mg bid、螺内酯20 mg qd、地高辛0.125 mg qd、呋塞米40 mg qod,托拉塞米20 mg qod,氯化钾1.0 g tid,华法林2.25 mg qd;血管活*药性**物应用:多巴胺 2.0 μg/(kg·min)静脉泵入、左西孟旦 0.1 μg/(kg·min)静脉泵入。

图3
经治疗,患者NT-proBNP逐渐降落(图4),血浆蛋白水平逐渐升高(图5)。

图4

图5
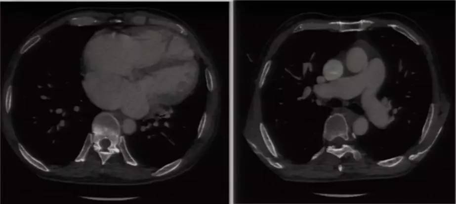
进一步完善相关检查:胸片提示双肺淤血,肺血增多,升主动脉及主动脉结增宽,肺动脉段平直,全心增大,心胸比0.63(图6)。复查超声心动图可见LA 58 mm,LV 53 mm,LVEF 60%,RV 41 mm;房间隔卵圆孔回声分离3 mm,后下部薄弱,探及数处回声脱落,大者约18 mm;二尖瓣前叶发育异常,收缩期瓣体向左房弯曲,致对合不拢。超声提示先天性心脏病(先心病)、Ⅱ孔型房间隔缺损(多发)、卵圆孔未闭、房水平左向右分流 ,二尖瓣脱垂并中大量反流,三尖瓣少中量反流,肺动脉高压49 mmHg。心脏CT提示先心病、房间隔缺损(下腔型),二尖瓣脱垂,双房右室扩大,少量心包积液(图7)。

图6

图7
思考二:上述检查提示先心病(房间隔缺损,房水平左向右分流),那么,肺动脉高压(右心扩大、三尖瓣反流、右心衰)是否为先心病所致,但左房增大(58 mm)不好解释。接下来应如何考虑?
进一步完善心脏MRI和右心导管检查。心脏MRI提示全心增大,LVEF 42%,RVEF 17%,右室整体收缩运动明显减弱,心包无增厚,二尖瓣脱垂,二尖瓣关闭不全(中重度),先心病、房间隔缺损,肺循环高压。右心导管检查可见肺动脉压56/20/31 mmHg、左房压22/27/20 mmHg、分流比例(Qp/Qs)3.16、肺血管阻力0.96 Wood U;提示单纯毛细血管后肺动脉高压,左心疾病导致肺动脉高压[依据:肺动脉压56/20/31 mmHg,肺动脉楔压(左房压代替)20 mmHg,肺动脉舒张压-肺动脉楔压=0 mmHg,肺血管阻力≤3 Wood U]。本例患者虽然有先心病、房间隔缺损,证实房水平左向右分流,但未导致第Ⅰ类肺动脉高压,因此肺动脉高压非先心病、房间隔缺损所致。
思考三:至此,诊断思路又发生改变。上述已证实肺动脉高压非先心病所致,那么其是否为左心疾病相关肺动脉高压?如此考虑的话,患者轻度升高的肺动脉压(56/20/31 mmHg)又和其右心扩大,右心衰不平行。此外,超声心动图提示的左房大(58 mm)、右心导管检查提示的左心疾病致肺动脉高压等检查结果均提示存在左心疾病(左心心肌病?瓣膜病?)。综上,本例患者初步考虑双心同时受累。
完善右房压力曲线,结果提示:巨大v波,深的y倾斜(表舒张早期,三尖瓣开放),且y倾斜幅度增大(因心包僵硬,心室舒张期充盈加快,"y"降支增大)(图8)。右室压力曲线提示:舒张早期下陷-高台状波形--"平方根样"。患者心室的全部充盈实际是发生在舒张极早期,因为大量、快速的舒张早期充盈,高台状是因舒张中晚期仅有很少心室容量扩充,提示心室舒张受限(图9)。左房压力曲线(导管通过房缺直接进入左房测压)提示:巨大v波,为二尖瓣反流所致(图10)。

图8

图9

图10
分析右室压力曲线"平方根样"波形改变原因:(1)缩窄性心包炎,但本例患者无结核病史、无心包钙化可基本排除;(2)限制型心肌病;(3)急性心肌梗死合并右心室缺血,可基本排除。
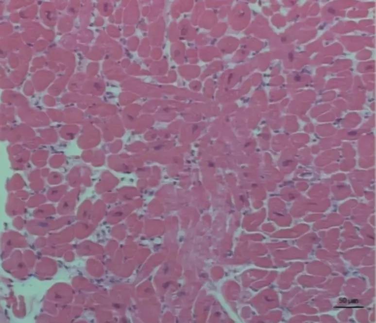
2016年5月26日,在局麻下行心内膜心肌活检,1周后病理结果回报提示:心内膜无增厚,心肌细胞肥大,极向略紊乱,心肌间质少量纤维性增生,以上形态学表现考虑肥厚型心肌病可能(因活检取材部位局限、组织量少、形态学诊断需结合临床)(图11)(图12)。

图11

图12
心肌活检虽然有部分肥厚型心肌病的特点,但是结合临床:(1)室壁厚度正常;(2)经积极抗心衰治疗后可平卧但右心衰仍非常明显,表现为仍有下肢水肿,颈静脉怒张--左右心不平行;(3)房颤病史时间较长;(4)双房大尤其但是右房增大,右心导管检查证实肺动脉高压,合并二尖瓣脱垂、关闭不全;(5)右心导管检查符合心室限制型病理生理特征:心室充盈时,心肌僵硬度增高或顺应性降低,而导致心室压力迅速上升,而心室容量只有不成比例的少许增加。基于此,请示上级医师,最终诊断:(1)限制型心肌病,心脏扩大,肺动脉高压;(2)心律失常,永久性房颤;(3)瓣膜性心脏病,二尖瓣脱垂,二尖瓣中重度关闭不全;(4)先心病,房间隔缺损(Ⅱ孔多发型)。
出院情况:患者出院时已无明显胸闷、气短,可安静平卧位休息。查体:BP 94/50 mmHg,颈静脉充盈;双肺呼吸音粗,未闻及明显干湿性啰音;心率80次/分,律绝对不齐,A2>P2,心尖部可闻及收缩期粗糙3/6级吹风样杂音,向左腋下传导;腹软,肝脾未触及,双下肢无水肿。给予患者长期药物治疗:福辛普利2.5 mg qd,卡维地洛12.5 mg bid,螺内酯20 mg qd,地高辛0.125 mg qd,呋塞米40 mg qod,托拉塞米20 mg qod,氯化钾1.0 g tid,华法林2.25 mg qd。
肥厚型心肌病是常染色体显性遗传性疾病,在本例中,为最终明确是肥厚型心肌病还是限制型心肌病,遂行遗传学检查(包含68个基因的遗传检测Panel)提示TTN基因3个错义突变,均不是已知(图13),TTN基因巨大,容易发生突变,但患者携带3个罕见突变,每一个突变均能影响蛋白编码。3个突变对蛋白影响可能具有累计效应,导致临床表型。

图13
思考四:本例患者心肌病临床表型不典型,致病基因的突变也不典型,是否为一种新类型心肌病?(不够之处:未进行家系遗传学筛选)
讨论
目前心肌病分型主要根据形态学和病理生理学特征分型,换言之为表现型分类。
肥厚型心肌病为左室壁厚度增加,不能单用异常负荷解释。限制型心肌病为心室限制型病理生理学(特征是心室充盈时,心肌僵硬度增高或顺应性降低,而导致心室压力迅速上升,而心室容量只有不成比例的少许增加),伴有单个或双心室舒张容量正常或减少,收缩容量正常或减少,且室壁厚度正常。
病例提供:中国医学科学院阜外医院 卢志南
病例征稿啦!
攻克疑难患者,您是否想传授经验、分享喜悦?遇到罕见病例,您是否想找“高手”指点,听取多方见解?那么,机会来了! “心在线”现面向全国征集心血管疾病相关病例啦!我们将为您提供传授经验、切磋技艺的平台,您不仅可以拓宽思路、丰富视角,还可获得丰厚稿酬!
投稿邮箱:[email protected]
作者授权“心在线”独家刊登,欢迎转发,谢绝转载,保护版权,违者必究。
心在线 专业平台专家打造
编辑 刘倩┆美编 柴明霞┆制版 田新芳