瓷娃娃、早衰症、渐冻人……这些罕见病近年来渐渐被大众所熟悉,但还有更多少见病种有些临床医生也未接触过,它们共同的特点就是发病概率不高,发病原因不详,社会普遍认知度不高。
近日,正兴医院儿科经过严谨的病理检测以及治疗验证,抽丝剥茧成功治愈一例患有少见“坏死性淋巴结炎、结核感染”的8岁小患者,坏死性淋巴结炎,属儿科少见病,极易造成误诊现象的发生。


2020年4月9号,儿科来了这样一位8岁小患者,反复发热1个月了,但没有其他的阳性发现,常规抽血、胸片、彩超等检查均未见异常。科主任立即组织了全科医护人员进行讨论,反复询问病史、多次体魄检查,努力寻找小患者不明发热的原因:
- 从感染性疾病出发,可能的病原体:肺炎支原体感染、EB病毒感染、结核、布鲁氏菌病等;可能的感染部位:肺部、颅内、泌尿道、血液等。
- 从风湿免疫类疾病出发,是否SLE(系统性红斑狼疮)、JIA(幼年特发性关节炎)等可能。
- 恶性肿瘤性疾病:白血病、淋巴瘤、其他实体瘤等。
病因可能性多,检查项目就多!为了给患儿减轻痛苦、节省治疗费用,最终在征得家属同意后,为患儿做了必要的检查,可是所有检查结果,只有T-SPORT提示阳性,于是我们根据结果给与抗结核治疗,治疗后患儿体温恢复正常!
抗结核有效吗?患儿出院后我们继续跟踪随访。

2020年4月27号,患儿再次出现发热,体温达到40℃。就诊后,发现这次患儿的颈部出现了肿大的淋巴结,血常规提示中性粒细胞减少,患儿患有血液病吗?科里医生立即为患儿进行了骨穿检查,排除了血液系统疾病的可能。
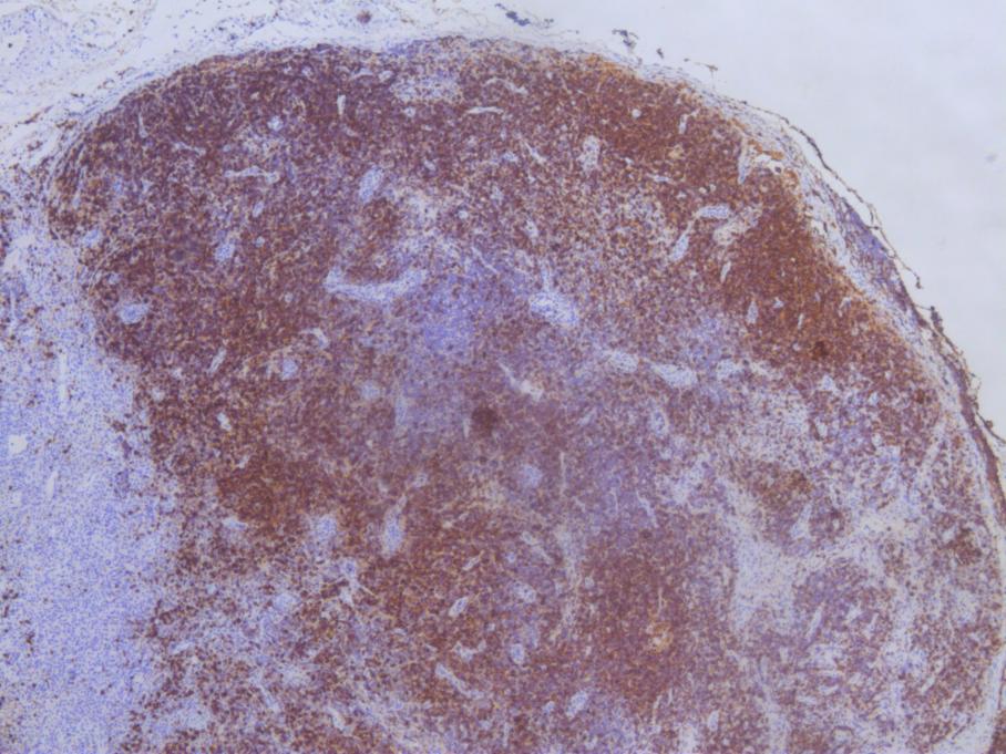
随后,儿科各专业再次会诊,结合专家分析讨论,并与家属多次沟通之后,及时进行了“淋巴结活检 —— 组织细胞学检测”,根据病理结果结合临床表现,最终确诊患儿为“坏死性淋巴结炎”。

小贴士
组织细胞坏死性淋巴结炎是一种非肿瘤性的以淋巴结肿大为主要临床表现的自限性疾病,因其临床表现无特异性,发病率低,极易漏诊、误诊,只有淋巴组织活检才能确诊。

困扰我们一个多月的发热病因终于找到,我们立即为患儿制定了规范的治疗方案,同时,在治疗过程中,为加快患儿的恢复进程,儿科主诊团队每天根据患儿情况组织研讨进行方案调整,截止发稿,患儿体温正常,定期门诊复诊至今,未再出现发热。

此次病例的诊治再次彰显了我院儿科的综合诊治水平,突显了我院多学科会诊优势。在整个过程中也使我院医护工作者针对病例诊断、鉴别有了更加深层的认识,进一步拓展了专业视野,在分享经验教训的同时,培养了正确的临床思维,提升了对疑难疾病的诊疗能力,提高了我院少见病例诊断技术,为今后此类少见病的准确诊断积累了宝贵的经验。我们将持续质量改进,不断提升患者满意度以及依从性,让患者及家属切实感受到正兴医院的无限关注、全程照护!
来源:漳州正兴医院