这例病人的首发症状非常不典型,腰痛三个月,只是最后出现血尿了才到医院就诊。腰痛平常几乎每个人都经历过,但是这个小小的症状真的可以隐藏着严重的疾病。

【一般资料】
患者女,49岁
【主诉】
反复右腰部疼痛3个月伴肉眼血尿3d。
【现病史】
无畏寒、发热,无咳嗽及咯血,无尿频、尿急、尿痛。
【体魄检查】
右腰部叩击痛
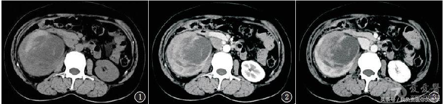
【辅助检查】
泌尿系CT平扫+增强:右肾见95mm×79mm×94mm囊实性肿块,囊性为主,部分边界清,密度不均匀,内见多发斑片状高密度影,增强扫描实性成分中度不均匀强化,静脉期持续强化,部分集合系统扩张,肾周间隙密度稍增高(图1~3)。腹腔及腹膜后未见肿大淋巴结。

【初步诊断】
影像诊断:右肾占位性病变并出血,考虑肾盂癌或肾癌。
【治疗】
术中所见:右肾周围粘连严重,行右肾全切除术。术后剖开右肾见肿瘤位于中部,直径约6.5cm,部分呈鱼肉样,内见陈旧性凝血块。病理:右侧肾脏大小约13cm×8cm×6cm,切面见一6cm×6cm×5cm灰红肿物,部分见包膜。肿物切面灰红,见出血及坏死,与肾脏组织分界欠清。光镜所见:肾组织内见异型细胞增生,细胞排列呈束状,层次增加,极向紊乱,见病理性核分裂及坏死(图4)。肾周围脂肪组织、输尿管断端及腹主动脉旁淋巴结未见肿瘤细胞累及。免疫组化:Vimentin(+),EMA(+)(图5,6)。病理诊断:右肾单相纤维型滑膜肉瘤。
