股骨头坏死是一种常见的骨科疾病,严重威胁着患者的身体健康,患者在选择治疗方法前,一定要到正规的骨科医院接受检查治疗,以免导致误诊漏诊的情况。专家介绍,股骨头坏死大多因风湿病、血液病、潜水病、外伤等疾患引起,先破坏邻近关节面组织的血液供应,进而形成无菌性炎症,推动病情发展,造成股骨头坏死。

股骨头坏死主要症状,从间断性疼痛逐渐发展到持续性疼痛,再由疼痛引发肌肉痉挛、关节活动受到限制,最后造成严重致残而跛行。激素药亦会导致本病的发生。中医认为疾病发生原因为外因和内因,且内因外因相互作用,使人体阴阳失去平衡,气血的失恒而生疾,亦称"髀枢痹"、"骨痹"、"骨萎"。治疗股骨头坏死不能着急,股骨头坏死是一种难治的慢性病,相对其他疾病而言,该病的疗程较长、疗效较为缓慢。所以,治疗股骨头坏死是不能着急的。患者一定不要认为用上药或用一点药就会好。患病都是有一个过程的,治疗也需要一个过程,切不可急于求成。治疗股骨头坏死树立信心,坚持治疗针对股骨头坏死这一疾病,患者要树立信心,坚持治疗。不要短时间内效果不明显,就换地方、换用药,这样不系统治疗就等于前功尽弃,重头开始,钱没少花,病还没治好。因此,治疗股骨头坏死一定要系统、要坚持。
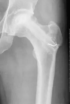
针对不同时期的股骨头坏死,其治疗时间也不尽相同的。

股骨头坏死Ⅰ期。治疗时间约半年以上的时间,早期及时诊断并按医嘱治疗,一个疗程可以有明显好转,股骨头不仅形态完好而且X线片显示死骨区吸收,骨密度恢复。疼痛缓解、股骨头基本可保住。

股骨头坏死Ⅱ期。治疗时间约十个月以上,早期及时诊断并按医嘱可使坏死囊变区的新骨再生。X片显示有新生骨小梁通过。

股骨头坏死Ⅲ期。治疗时间约一年以上,三个疗程后死骨已全部吸收,大部分骨小梁基本上通过,疗程结束后股骨头死骨全部吸收完,股骨头轮廓及部分的骨质变化清晰。

股骨头坏死Ⅳ期。治疗时间约一年半以上,坏死骨完全吸收,也能够将死骨区吸收。通过大量的新生骨小梁的增加、填植,股骨头能够重愈,但股骨头形态不饱满、圆滑。