今天和大家分享的是一位晚期肺癌的患者,2021年8月份来接诊。男性 67岁老人,由于平时不注重体检,发现咳嗽伴痰中带血才来就诊,CT发现肺内占位,肿瘤指标多项升高。发现时病灶最大径已经超过8cm,病灶累及相邻胸膜,肿瘤T分期达到T4期,相邻胸膜受到明显累及,M分期达到M1a,淋巴结转移未知,一起来看看这个巨大的肿块。

软组织肿块,最大径超过8厘米

多平面重建,病灶累及胸膜

多项肿瘤标记物升高
这个肿块CT诊断诊断不难,能明确是肺癌,但下一步处理必须进行肿瘤分期。一定要明确全身情况,进行肿瘤分期。通过第一次PET/CT检查的图像,我们做一个肿瘤分期,看看这个病变有没有转移。肺癌包括其他恶性肿瘤治疗,第一步就是进行肿瘤分期。
请关注我,在主页观看视频《 不临床分期的肺癌等恶性肿瘤治疗就是耍流氓,癌症的早中晚期是什么 》https://www.ixigua.com/6967636463160656420?wid_try=1

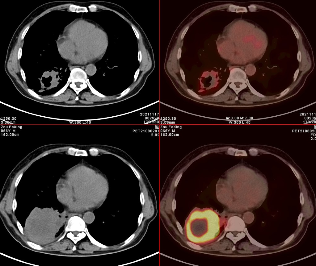
病灶FDG代谢明显增高
我们看着一团"火"一样的病灶就是这个肺癌,由于肿瘤生长速度快,血供跟不上,中心出现液化坏死区,中央出现一个“窟窿”。

病灶累及胸膜

胸腔少量积液
上面两张图提示病灶累及胸膜胸腔出现少量积液。非常幸运的是该患者没有出现明显的区域淋巴结转移及远处转移。由于病灶太大,相邻胸膜受到累及。依据NCCN、AJCC最新指南我们进行肿瘤分期。

T分期:T4

N分期:N0

M分期:M1a

综合分期:Ⅳa期

四期肺癌指南不建议手术,为了后续治疗,患者进行了病理活检。
病理结果:低分化鳞癌
依据影像学分期,该患者后续进行了综合治疗:免疫+化疗+靶向治疗,其中化疗3期,免疫治疗2期及靶向治疗。3个月后患者再次进行了PET/CT检查,对治疗效果进行了评估。2021年11月PET/CT检查结果:

肿瘤病灶明显缩小、实性成分明显减少,肿瘤FDG代谢明显减低,相邻胸膜浸润明显改善,已经没有胸水征象。另外,全身其他部位未见明确转移性病变。

上面两张为治疗后,下面为治疗前

上面两张为治疗后,下面为治疗前

上面两张为治疗后,下面为治疗前

上面两张为治疗后,下面为治疗前

上面两张为治疗后,下面为治疗前
复查后PET/CT诊断:右肺下肺癌综合治疗后,肿瘤病灶明显缩小,FDG代谢明显减低,相邻胸膜未见高代谢病变,考虑肿瘤治疗后疗效显著,仅少量肿瘤活性残留。
根据我们PET/CT诊断,患者第二天就进行残余右肺癌病灶的手术切除。通过上述综合治疗,将一个原本没有手术机会的患者从死神的手中抢回来。虽然愈后情况有待进一步视察,但是通过PET/CT评价,患者病情明显好转,身体素质明显好转,生活质量明显提高,将不可能变为可能。后续进一步疗效,我会密切关注,后期随访再和大家分享。
小结及说明:
1.PET/CT在恶性肿瘤分期、分级及疗效评估中起到了其他影像学不可替代的作用。
2.晚期肺癌并非完全没有治疗机会,在经济能力满足的情况下,我们需要去尝试性去治疗。目前靶向、免疫治疗等新技术和新方案的出现确实提高了很多人的生存质量。
3.家属也要对晚期癌症患者体现人文的关爱,去体现生命的价值,不放弃就会有奇迹。
4.本例是省人民医院新药物临床试验的病例,取得了一定的疗效。本例是同批次8个人中效果较好的一例。所以,随着医学的发展会越来越造福于肿瘤患者。
声明:巫医生是影像科医生,只是给大家将所见分享给大家,综合影像科医生只是全身综合评估及参与一部分治疗方案和疗效评估,具体治疗方案要以临床医生为主,请勿咨询治疗方面的事宜。

PS:四期肺癌中位存活率13个月,5年存活率仅百分之几,所以针对肺癌即其他肿瘤性疾病,只有通过早发现、早诊断、早治疗。随着近些年大家更注重体检,很多疾病都会在萌芽期得到相应的处理和治愈。针对我们广大注重体检、注重健康的人,大家不要对此惶恐。
(所有病例均来自巫医生自真实病例,未经许可,盗用图片,必将追责)