抗GABA-b受体脑炎概述
抗GABA-b受体脑炎仅占自身免疫脑炎(AE)的5%,和大多AE类似,癫痫发作、认知障碍、 精神行为异常、自主神经功能障碍等是抗GABAb 受体脑炎常见临床表现。抗GABAb受体脑炎与肿瘤关系密切,以小细胞肺癌(small cell lung cancer, SCLC)最常见,早期免疫调节和原发肿瘤 的治疗可明显改善疾病预后。2017年 《中国自身免疫性脑炎诊治专家共识急性或 亚急性起病(V3个月);(2)临床表现为精神行为异 常,认知障碍、癫痫发作等边缘系统的症状;(3)有以下一个或多个辅助检查或合并相关肿瘤:1)脑脊液白 细胞或淋巴细胞升高;2)头颅MRI可见边缘系统单 侧或双侧T2或Flair高信号;3)脑电图异常;(4)血 (和)或脑脊液抗GABAb受体抗体阳性;(5)排除外伤、 感染、肿瘤、中毒、代谢等疾病。
GABA受体
(1)GABA受体A型主要是调节快速抑制性突触传递的配体门控离子通道,是由8种基因编码的19个亚基组成的五聚体,在突触位点的GABA受体A型由α、β、γ亚基组成,而在抗GABA受体A型脑炎患者脑脊液中可检测到针对突触位点的α1、β3或两者产生抗体,引起突触位点处的GABA受体A型减少,进而致癫痫发作。α1亚基的基因突变也可以引起癫痫发作,且在癫痫发作过程中,也可能由于与GABA受体A型相互作用起抑制作用的桥蛋白减少,从而加重癫痫发作,而减少突触中GABA受体A型后不仅直接出现癫痫持续态势,甚至导致受体进一步减少,形成恶性循环。
(2)GABA受体B型是由B1和B2亚基组成的代谢型G蛋白偶联受体,主要存在于海马、丘脑、小脑。研究表明抗GABA受体B型脑炎患者的自身抗体主要是与B1亚基结合,导致抑制性递质减少,从而引起癫痫发作,并且抗原、抗体结合后会导致受体进一步减少从而引起癫痫持续态势。
抗GABA-b受体脑炎的临床特点
临床特点GABAb受体属于G蛋白耦联受体,由B1和B2两个亚基组成,广泛分布在丘脑、 小脑以及海马等部位,GABA与GABAb受体结合,使其构象发生改变,抑制神经元的活动。基因敲除GABAb受体的小鼠会出现癫痫、学习和记忆障碍、精神行为异常等。癫痫发作是抗GABAb 受体脑炎早期一个突出的临床特征,单独的抗癫痫药物治疗通常不能控制其发作,大约64.3%会 发展为癫痫持续态势。与抗N-甲基--天冬氨酸受体(NMDAR)脑炎和抗富亮氨酸胶质瘤失活1蛋白(LGI1)抗体脑炎相比,抗GABAb受体体脑炎更易发展为难治性癫痫。
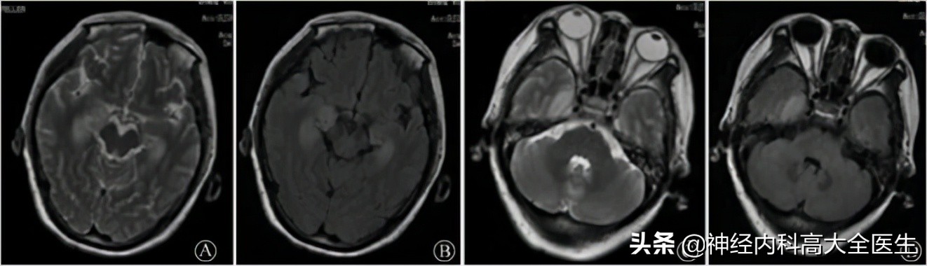
抗GABA-b受体脑炎影像学
抗GABAb受体脑炎急性期仅有 50%的患者头颅MRI异常,以颞叶和海马最易累及,多表现为T2/Flair高信号


抗GABA-b受体脑炎实验室检查
大约7% -40%可合并其他自身免疫性抗体阳性,其中包括 GAD抗体、Hu抗体、抗甲状腺抗体、SOX抗体 等。
抗GABA-b受体脑炎与肿瘤关系
大约50%抗GABAb受体脑炎患者伴发肿瘤,其中约90%为SCLC,胸腺癌、乳腺 癌等其他肿瘤也有报道