


炎症性肠病,近些年来发病率显现增长趋势,好发于中青年。这是一种肠道的慢性非特异性炎症,临床特点有反复发作、迁延不愈、容易出现并发症,主要表现为慢性腹泻、腹痛、腹胀、便血等。
炎症性肠病的诊断是比较复杂的,需要综合病史、临床表现、结肠镜检查、血液化验检查、影像学检查、以及病理活检检查等,综合判断,方能确定诊断。最常见最直接的检查方法主要有结肠镜及病理活检。
那么病理组织学主要有哪些表现呢?
隐窝分支(crypt branching):隐窝分成2 个或多个分支。
隐窝缩短(crypt shortening):隐窝长度变短,底部不与黏膜肌层相贴,伴或不伴基底浆细胞增多。
隐窝加长(crypt elongation):与周围正常黏膜隐窝相比,隐窝长度明显加长。
隐窝缺失(crypt dropout or loss):隐窝数量减少,黏膜肌层完整而隐窝之间距离显著增宽,超过1 ~ 2 个隐窝宽度。
幽门腺化生(pyloric gland metaplasia):胃窦及十二指肠以外的肠黏膜出现黏液性腺体,形态同胃窦黏膜的幽门腺或十二指肠的Brunner腺,可见于空肠、回肠或结肠,但末端回肠更常见。
潘氏细胞化生(Paneth cell metaplasia):结肠脾区远端的结直肠(降结肠、乙状结肠和直肠)黏膜隐窝底部出现潘氏细胞,胞质含大量嗜酸性粗颗粒,位于靠腺腔侧。基底浆细胞增多(basal plasmacytosis):黏膜基底部大量浆细胞浸润,位于隐窝底部与黏膜肌层之间,使隐窝底部与
黏膜肌层不相贴。
小肠绒毛萎缩或变平(villous atrophy or flattening):在黏膜方向良好的切片中,连续的小肠绒毛长度变短、增粗,或小肠绒毛完全消失。
结肠黏膜表面绒毛化(villiform change or transformation):病变部位结肠黏膜表面显现长短不一的绒毛样结构,类似小肠黏膜。
炎性息肉(inflammatory polyp):慢性炎症刺激,使黏膜呈息肉状突起,伴或不伴隐窝结构改变。
假息肉(pseudopolyp):由于黏膜全层溃疡残留的黏膜岛相对突起形成,或肉芽组织增生突起于黏膜面,表面被覆肠上皮。
隐窝炎(cryptitis):中性粒细胞浸润隐窝上皮内。
隐窝脓肿(crypt abscess):中性粒细胞聚集于隐窝腔内,常伴隐窝上皮破坏。
慢性肠炎(chronic enteritis/colitis):指黏膜固有层大量淋巴细胞、浆细胞浸润,同时黏膜结构异常,包括隐窝结构改变、化生性改变、基底浆细胞增多、炎性息肉等。慢性肠炎是IBD的组织学基础,但慢性肠炎也可见于慢性感染性肠炎、慢性缺血、药物损伤等多种病变。
活动性肠炎(active enteritis/colitis)指中性粒细胞浸润、破坏上皮,包括隐窝炎、隐窝脓肿、糜烂、溃疡。单纯的活动性肠炎没有隐窝结构的改变、化生等慢性肠炎的形态学特征,多见于急性自限性肠炎。IBD通常不表现为单纯的活动性肠炎。
活动性慢性肠炎(active chronic enteritis/colitis):在慢性肠炎的基础上有活动性改变(隐窝炎、隐窝脓肿、糜烂、溃疡等),IBD或其他慢性肠炎的活动期一般都会表现为活动性慢性肠炎。
非活动性肠炎(inactive enteritis/colitis):无活动性表现的慢性肠炎,无隐窝炎、隐窝脓肿、糜烂、溃疡等。
静止期IBD(quiescent IBD):见于治疗后的IBD,不伴活动性改变的慢性肠炎,固有层炎症细胞数量无明显增多。
局灶增强性胃炎/肠炎(locally enhanced gastritis/colitis):在背景正常的胃、肠黏膜中出现局灶性淋巴细胞、浆细胞围绕单个或小灶腺体浸润,中性粒细胞浸润引起上皮破坏。
医生会根据所取组织来识别分析判断,是否符合炎症性肠病的诊断。

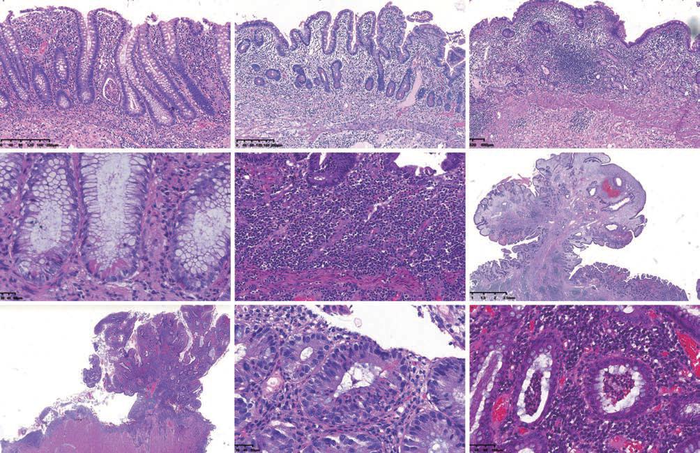
图1 炎症性肠病常见黏膜病变病理图
A(HE × 4物镜):隐窝分支;
B(HE × 4物镜):隐窝缩短,隐窝长度变短,底部不与黏膜肌层相贴;
C(HE × 4物镜):隐窝缺失及幽门腺化生,隐窝数量减少,回肠黏膜内见黏液性腺体;
D(HE × 20物镜):潘氏细胞化生,黏膜隐窝底部出现潘氏细胞;
E(HE × 20物镜):基底浆细胞增多,黏膜基底部大量浆细胞浸润,位于隐窝底部与黏膜肌层之间,使隐窝底部与黏膜肌层不相贴;
F(HE× 2物镜):炎性息肉,黏膜呈息肉状突起;
G(HE × 2物镜):假息肉,黏膜全层溃疡残留的黏膜岛相对突起形成;
H(HE × 20物镜):隐窝炎,中性粒细胞浸润隐窝上皮内;
I(HE × 20物镜):隐窝脓肿,中性粒细胞聚集于隐窝腔内
参考文献:中国炎症性肠病病理诊断专家指导意见 中华炎性肠病杂志2021 年1 月第5 卷第1 期Chin J Inflamm Bowel Dis,January 2021,Vol.5,No.1