很多老百姓一有头痛脑热,就想到医院或者诊所去输液,俗称挂盐水,却不知使用不当,会带来很多问题。在以往的文章里,我提到这样的问题,不少就是短时间内大量输液导致病情恶化,特别是肺水肿的发生(参看细节就是魔鬼--论如何病史)。
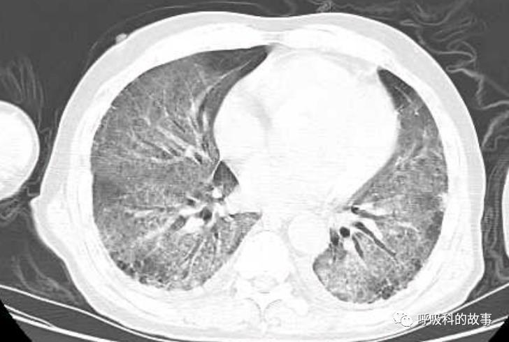
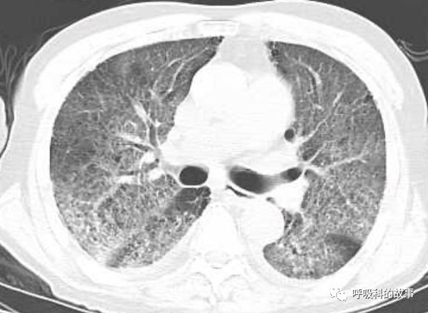
上周,我去会诊一个病人又出现了类似的情况,一个72岁的男性病人因为发生十二指肠球部溃疡穿孔入住我院胃肠外科,给予腹腔镜下十二指肠球部溃疡穿孔修补术。术后由于患者禁食就给予了大量的补液,大约有3000多毫升,其中0.9%氯化钠盐水(也就是我们通常所说的生理盐水)一共是补了接近2000ml,同时还补了1500ml的营养液呢。患者术后第二天晚上开始出现呼吸困难,程度进行性加重,到了术后的第五天,呼吸困难非常明显了,病人也出现端坐位呼吸,两肺出现严重的肺水肿转入ICU治疗。

我曾反复和规培医生交待,没有特殊情况,不要给病人全部输生理盐水,至少要糖盐各半。在日常实践中,我对生理盐水的认识是它的成份与人体血浆的成份不完全一样,因此过多输入最大的问题是导致血氯过多,从而引起高氯性酸中毒的情况发生。但输入过多的生理盐水问题还不至这些,最近有幸看到一篇文章,对此进行了深入的剖析。
我们日常用的晶体液成分以及渗透压如下:

从中我们可以看出,生理盐水的含量非常单一,只有钠离子和氯离子而且均是154mmol/L,均高于我们体内血浆的水平,特别是氯离子高出很多。而我们临床上能用到的林格氏液则模拟了人体正常情况下的含量,而且也含有钠、钾、钙、镁、氯以及一些弱酸盐。
因此输入不同的液体会产生不同的后果,例如在复苏和大手术时常用的乳酸林格氏液由于钠含量偏低有可能导致低钠血症,但氯离子平衡,酸碱度也保持稳定;血浆溶液A则是钠氯稳定,但会引起体内偏向碱性;生理盐水则导致高钠高氯以及酸中毒,并由此产生的低血压和微循环障碍的风险增加,以及肾脏动脉血管收缩导致的肾脏损伤。

国外有很多研究证实在危重病人的治疗中,采用平衡液输入总体上要比生理盐水安全性更高一些,分别能降低9-11个百分点的死亡率。当然针对普通病人国外由于输液很少,所以没有相关的研究。

因此临床医生们在选择输液类型的时候需要考虑更多的因素,切不可只会开生理盐水,还有不同药物的配伍禁忌,也需要我们关注。所以小小输液,可也是大大的学问。