作者:中南大学湘雅医院感染病科 陈若蝉
Step.1
主诉、现病史及入院情况
主诉和现病史
患者女性,34岁,湖南永州人,因“乏力2月,发热1月余”于2017年5月25日入院。
患者于2017年4月初无明显诱因出现乏力,偶有心悸,无胸闷、胸痛、气促等不适,未予重视及治疗。4月17日晚,患者自觉发热,遂于当地县人民医院就诊。体温39℃,伴有干咳、胸闷、心悸,无畏寒寒战,筛查H7N9抗体(-),予以治疗(具体不详)后无明显好转。回家后最高体温39.3℃,物理降温后降至37℃以下,但发热反复出现,同时感牙龈肿痛,咳嗽咳痰(白色黏痰),厌油,食欲降落,小便深黄,于5月13日入住祁阳县人民医院。
入院诊断:①发热待查,可能为伤寒或者败血症;②肺部感染。
咽拭子结果:H7亚型禽流感病毒初筛(-);EB病毒(EBV)-DNA(+),巨细胞病毒(CMV)-DNA(-)。
腹部彩超结果:胆囊壁毛糙、胆囊炎、脾大、盆腔少量积液。
先后给予头孢替唑联合左氧氟沙星、头孢哌酮舒巴坦抗感染治疗,但效果不佳,患者仍有反复发
热,下午出现,最高体温波动于38℃~39℃。后予以地塞米松5 mg/日治疗,2天后体温恢复正常出院。但出院当晚患者再次发热,体温高达39℃,为求进一步明确发热原因收住我科。
患者自起病以来,精神、饮食、睡眠欠佳,小便颜色深黄,量正常,大便正常,体重降落约6 kg。
既往史、个人史及家族史
患者否认高血压、糖尿病、冠心病、甲状腺功能亢进症等慢性病史。否认肝炎、结核病史及密切接触史。否认外伤、手术、输血史以及食物和药物过敏史。
无血吸虫疫水接触史,无地方病或者传染病流行区居住史,无毒物、粉尘以及放射性物质接触史。无吸烟史,无饮酒史。个人史、婚育史、月经史和家族史无特殊。
入院后检查
-
查体
体温36.6℃,呼吸频率18次/分,脉搏75次/分,血压120/74 mmHg;患者神清,全身浅表淋巴结无肿大,未见肝掌及蜘蛛痣,皮肤及巩膜未见明显黄染;双肺呼吸音清,未闻及干湿啰音;心率75 次/分,心脏各瓣膜未闻及杂音;腹平软,无压痛及反跳痛,肝脏肋下6 cm 可扪及,质中有触痛,脾脏肋下4 cm可扪及,质软,有触痛,移动性浊音(-),双下肢无水肿。
-
检查
(5 月22 日,我院)血常规:白细胞(WBC)4.1×109/L,中性粒细胞(NE)% 63.2%,淋巴细胞(LYM)%24.7%,血红蛋白(Hb)106 g/L,血小板计数(PLT)152×109/L。
肝功能:白蛋白(ALB)40.1 g/L,总胆红素(TBIL)25.5 μmol/L,丙氨酸氨基转移酶(ALT)62.9U/L,天冬氨酸氨基转移酶(AST)60.6 U/L。红细胞沉降率(ESR)50 mm/L,C 反应蛋白(CRP)38.5 mg/L。肾功能、心肌酶学、乙型肝炎和狼疮等指标,以及结核抗体、肥达试验、结核感染T细胞斑点试验(T-SPOT)、胸片结果均正常。
初步诊断
发热原因待查;胆囊炎;轻度贫血

第一次临床讨论:
该患者入院诊断?进一步检查?
患者青年女性,主要临床表现为发热1月余,体魄检查提示“肝脾肿大”,可以从“发热待查”的角度切入分析。
-
感染性发热
本例患者主要临床表现为发热,具有一定的感染中毒症状,首先考虑感染性发热。患者病程偏长,酶学指标不高,暂不考虑一般病毒性感染,但患者外院EBV-DNA(+),因此需要进一步排除慢性EBV感染;同时患者的WBC和NE%不高,在外院使用多种广谱抗菌药物疗效均不佳,普通细菌感染可能性较小;患者发热伴肝脾肿大,网状内皮系统增生表现,需要重点考虑特殊病原体感染如真菌、结核/非结核分枝杆菌等。
-
非感染性发热
患者在外院使用抗感染药物疗效不佳,而试用地塞米松后体温可短暂恢复正常,存在非感染性发热的可能性.但目前无明确证据支持,可进一步完善相关检查以排除结缔组织疾病、血液系统疾病、肿瘤等非感染性发热疾病。
Step 2 进一步完善检查和治疗
尿常规+,沉渣镜检结果:潜血2 + ,细菌116.16 个/μl,碱性磷酸酶(AKP)627 U/L;大便常规、自身免疫性肝病指标、甲状腺功能三项、心肌酶学、免疫全套、肌钙蛋白、抗核抗体(ANA)谱测定、抗中性粒细胞胞浆抗体(ANCA)三项、凝血常规结果均正常;尿液高渗培养(-),多次血培养+厌氧培养(-),结核菌素试验(PPD)皮试(-)。
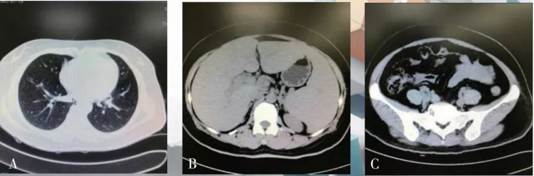
CT结果(图1)显示:双肺支气管血管束清晰,右中肺内侧段见小条片状密度增高灶,边界清,余肺内未见明显异常密度灶;气管支气管通畅,纵隔内可见数个小淋巴结,直径约5 mm,未见胸水征;肝脾形态饱满,脾脏增大,脾下缘超过肝下缘,胆囊体积不大,胆囊壁增厚,壁稍毛躁,囊内未见异常密度灶,肝内外胆管未见明显扩张;盆腔可见少量积液。
CT诊断为:① 右中肺内侧段少许炎症;② 胆囊壁水肿,可能为胆囊炎;③肝脾大;④盆腔少量积液。
心脏彩超结果:二、三尖瓣及肺动脉瓣轻度反流。

图1(5月25日)患者入院后CT结果,A为胸部CT;B为腹部CT;C为盆腔CT
(2017年6月2日)骨髓细胞形态学结果:骨髓增生明显活跃,粒系及红系细胞增生活跃,可见个别幼稚淋巴细胞及异型淋巴细胞,可见嗜血性网状细胞(1%),内铁减少,血象可见个别异型淋巴细胞;骨髓培养(-)。
肝脏穿刺病理结果(6月7日):肝细胞水变性及脂肪变性,汇管区纤维组织轻度增生,可见慢性炎症细胞,肝小叶内见肝细胞点状坏死,单核巨噬细胞/淋巴细胞浸润,未见明确结核感染证据。
免疫组化:细胞角蛋白(CK)19+,IgG4-,CD68+,CD163+,白细胞共同抗原(LCA)+,CD1a(-),S100(-)。
(6月13日)骨髓活检:苏木精-伊红(HE)及过碘酸希夫(PAS)染色示骨髓增生较活跃(80%~90%),粒红比例大致正常,粒系各阶段细胞可见,以中幼及以下阶段为主,红系各阶段细胞可见,以中晚幼红细胞为主,巨核细胞不少,分叶核为主,少数淋巴细胞散在分布,未见明显异性;网状纤维染色(MF-1级);未见明显原始细胞增多,未见寄生虫、真菌感染及肉芽肿形成,未见转移瘤细胞,未见纤维组织增生。
骨髓流式结果:P3区细胞占2.5%,考虑为少量髓系原始细胞及嗜碱细胞可能性大,余未见明显表型异常细胞群。
(6月14日)支气管镜结果:抗酸染色(-);支气管肺泡灌洗液(BALF)培养示咽喉杂菌。
(6月20日)骨髓细胞学结果:① 骨髓增生活跃,粒红系增生活跃,幼稚淋巴细胞及异型淋巴细胞占2%,铁染色细胞内铁减少,血片可见异型淋巴细胞(占8%),中性粒细胞可见核左移现象;②查找全片可见网状细胞吞噬一类生物体,考虑组织胞浆菌可能,建议进一步检查。
第二次临床讨论:
患者的最终诊断是什么?采取什么治疗方案?
根据患者的检查结果,首先视察其体温变化,暂时未给予任何病因治疗,发现患者仍有反复发热及感染中毒症状。结合患者尿沉渣镜检时发现有细菌,泌尿系统感染不能排除;给予左氧氟沙星经验治疗,并逐步完善骨髓穿刺、肝脏穿刺、血尿培养及骨髓培养检查,积极寻找病原学依据。患者对抗感染治疗效果仍较差,并有单核网状系统增生,骨髓细胞中可见异淋和嗜血网状细胞,因此,血液系统疾病不能完全排除。
邀请血液科会诊后,进一步完善了骨髓活检和荧光原位杂交(FISH)检查,并多次重复骨髓穿刺,使用地塞米松治疗,患者的体温降落后再次上升。经我科疑难病例讨论后,认为应考虑结核感染,诊断依据:① 中长程发热,普通抗感染无效;② 单核巨噬系统增生;③ 肺部CT提示有肺部感染。
予以四联抗结核治疗(HRZE)约1周,患者发热仍无法控制,一般情况较前变差,并且患者多次的骨髓穿刺和培养、活检、流式、病理均无有意义的阳性发现。患者由于经济原因拒绝行正电子断层扫描(PET)/CT检查,此时诊疗陷入僵局。
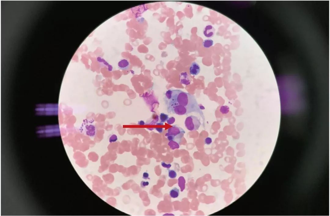
诊断分析患者有明显的感染中毒症状,且目前无明确非感染疾病依据,感染性疾病不能轻易排除,多次积极与血液科形态实验室以及病理科医生沟通后,反复复阅读检查结果,终于在骨髓片和肝组织活检病理片中找到了疑似组织胞浆菌的病原微生物(图2和图3)。

图2 骨髓涂片,红色箭头所示为吞噬细胞胞浆内的组织胞浆菌

图3 肝组织病理切片(PAS染色100x油镜),红色箭头所示为组织胞浆菌
治疗首先采用两性霉素B治疗(5 mg/日,增至25 mg/日),患者体温逐渐恢复正常。后因出现肾功能损伤改为伊曲康唑序贯治疗。经治疗患者发热、肝脾肿大消退,于7月27日出院。
后再次追溯病史发现,患者家住农村,时而会去山上采摘蘑菇,此次感染组织胞浆菌病可能是因吸入感染性孢子所致。
最终诊断:夹膜组织胞浆菌病(播散型);胆囊炎;轻度贫血;尿路感染;急性肾损伤(药物性)。
诊疗体会
播散型组织胞浆病是一种由组织胞浆菌引起的系统性真菌感染,常致肺损害,严重者进行性全身播散,主要累及单核巨噬系统,如肝、脾、骨髓、淋巴结,也可侵犯胃肠道、脑、心脏等脏器,并出现相应的临床表现,称为进行性播散型组织胞浆病(PDH)。
该病主要分布于北美和拉丁美洲,但可见于世界各地,包括亚洲国家,近年来我国不断有关该病的报道。PDH患者的主要临床表现为发热伴感染中毒症状,肝脾淋巴结肿大,可累及不同脏器部位,临床表现多样,常规生化及影像学检查也缺乏特异性,故临床极易误诊。
通过骨髓涂片或者淋巴结活检来发现组织胞浆菌是诊断PDH快速而可靠的方法。但应关注,单次检查可能会漏诊,可采取多部位、多次活检的方法提高组织胞浆菌的检出率。
组织胞浆菌骨髓涂片特征:吞噬型细胞网状细胞增多,其内可见大小不一散在或成堆分布的卵圆形小体,偏于一段,核大,呈深紫色或红色,胞浆淡蓝色,边缘有一层荚膜。根据美国传染病学会组织胞浆菌病诊疗指南(2007年修订版),针对中重度PDH患者,建议使用两性霉素B脂质体治疗,连续用药1~2周,后改为伊曲康唑(200 mg,bid),持续治疗至少12个月。
人群主要通过吸入含有组织胞浆菌孢子感染本病。因此,应加强对高危人群的监测及职业防护,避免接触可能含有动物及鸟类粪便的土壤及尘埃;在有组织胞浆菌尘埃污染的场所工作,应戴口罩或在可能有真菌孢子的地区洒水。目前,接种组织胞浆菌疫苗主要用于人免疫缺陷病毒(HIV)感染者、职业人员及易感者的预防。
结合此例患者的诊疗经过,我们有以下几点体会:①感染科医生,不可轻易排除感染性疾病;② 认真寻找病原学依据,反复多次、多部位组织检查;③ 加强与辅助科室沟通交流,包括骨髓形态室、病理科和检验科等。
编辑 | 徐嘉惠