
❤ 涵盖霍奇金淋巴瘤、非霍奇金淋巴瘤和白血病等患者的具体病例。
❤ 展开疾病诊断、病理描述及治疗方向的详细阐述,包含医学影像,图文并茂,深入浅出。
❤ 对当今血液恶性肿瘤放疗的价值、具体的实施方式、剂量和时机等,做了很详细的经验总结并提出了未来的研究方向。
❤ 对放射肿瘤学医师的临床决策提供宝贵的帮助,对血液病医师的临床诊疗也有指导意义。
图书简介
美国MD安德森癌症中心肿瘤放疗科、美国哈佛大学布莱根妇女医院癌症研究所专家主编;国内放疗科权威专家团队主译。
2019年7月出版。
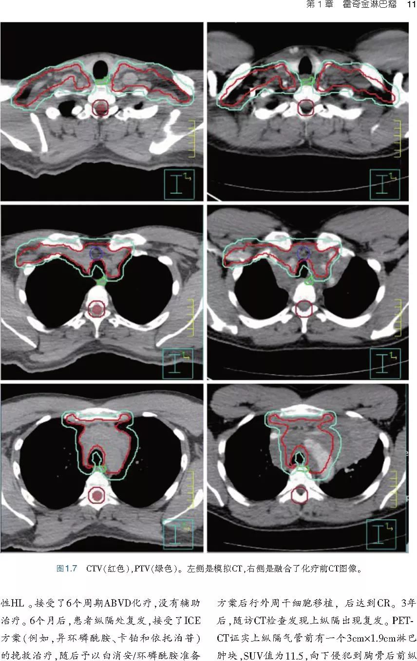
本书旨在帮助临床医生对常见血液系统恶性肿瘤疑难病例进行管理,包括霍奇金淋巴瘤、非霍奇金淋巴瘤和白血病患者,并通过多个病例进行阐述。案例讨论遵循标准格式,包括临床描述,其次是与诊断相关的病理描述和分期,然后详细讨论治疗选择。最后,确定治疗方案,并提供所使用的规划放疗技术/方式的图像。对放射肿瘤医生进行临床决策非常有帮助,针对血液病临床医生也有很好的指导作用。

主编介绍
卜赛伊娜•什比卜•达巴贾(Bouthaina Shbib Dabaja)系德克萨斯大学MD安德森癌症中心肿瘤放疗科教授。
安德里亚•K. Ng(Andrea K. Ng)系哈佛大学布莱根妇女医院DanaFarber 癌症研究所教授。
两位学者长期致力于恶性淋巴瘤的综合治疗研究,在JCO、Int J Radiat Oncol Biol Phys、Blood等血液系统肿瘤和放射治疗领域的一流专业期刊上发表多篇论著,参与制订恶性淋巴瘤NCCN临床实践指南。

主译介绍
何侠 江苏省肿瘤医院放疗科主任,江苏省放疗中心主任,江苏省放射治疗医疗质量控制中心主任,江苏省重点临床学科和江苏省“135工程”医学重点学科放射治疗科的学科带头人。南京医科大学放射治疗教研室主任。任江苏省医学会放射肿瘤治疗学分会前任主任委员、江苏省医师协会肿瘤放疗医师分会前任主任委员、江苏省抗癌协会理事、江苏省抗癌协会肿瘤放射治疗专业委员会主任委员、江苏生物医学工程学会副理事长、江苏生物医学工程学会医学物理专业委员会主任委员、江苏省核学会副理事长、江苏省核学会放射治疗专业委员会主任委员、中国老年学学会老年肿瘤专业委员会放射治疗分委会常务委员、中华医学会放射肿瘤治疗学分会委员。主译、主编《肿瘤放射治疗学》《实用肿瘤调强放射治疗》《肿瘤放射治疗危及器官勾画》等多部放射肿瘤学著作。
本书价值与特点
近年来,放射治疗技术得到了迅速发展,调强放疗、图像引导放疗及其他新技术方法等,对恶性肿瘤治疗产生了巨大影响。现代放疗技术使精确定位、靶区勾画及给量成为可能,实现了肿瘤局控率和生活质量的双赢,对血液系统恶性肿瘤的临床治疗也产生了一定的影响。此书内容上不仅反映了血液系统恶性肿瘤综合治疗的进步,更是对其中放射治疗的新变化进行了系统、详细的阐述,这对当前血液系统恶性肿瘤放射治疗临床实践具有非常好的指导作用和参考价值。
先睹为快,我们来看看书中的样章吧

如何购买本书?
医学界携手华中科技大学出版社,诚意为您推荐这本《 血液系统恶性肿瘤放射治疗: 实用图解指南 》,原价128, 现价98元出售,正品保证!
↓
界哥书店专为中国医护提供精品好书,所卖图书均为正版~
本文首发:界哥书店
责任编辑:陈家伟