钙调神经磷酸酶*制剂抑**(CNI)肾毒性可发生在治疗时的任一阶段,损伤肾脏或移植肾导致急性或慢性肾功能减退。虽然CNI肾毒性并非呈剂量依赖性,但血清CNI水平升高有助于确诊。CNI可引起血管收缩和血肌酐(Scr)升高,但无形态学变化。CNI肾毒性导致的急性损伤可经免疫抑制治疗后逆转;慢性肾损伤则不可逆转。

病理特征
光镜
CNI肾毒性导致的血管收缩无形态学变化。急性CNI肾毒性特征包括:近端肾小管上皮细胞空泡化,大小一致;血管损伤,平滑肌细胞丢失;肌细胞胞浆空泡化;细胞坏死或凋亡退化。肌细胞损伤最终发展为局灶性结节性玻璃样变和透明样变,可延伸至小动脉和动脉血管壁整个中层。CNI肾毒性还可引起血栓性微血管病变(TMA),主要累及小动脉和肾小球毛细血管袢。慢性CNI毒性特征为:条状间质纤维化,肾小管萎缩。
免疫荧光检查
小动脉IgM、C3染色阳性;纤维蛋白原染色阳性。
电镜
近端肾小管上皮细胞空泡化,大小相等,内质网扩张,大型溶酶体。动脉中层和外膜透明质酸积聚。TMA患者可出现肾小球内皮细胞肿胀,内层扩张和肾小球系膜溶解。

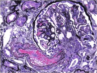
图1 CNI肾毒性TMA,小动脉(Jones 银染)

图2 CNI肾毒性TMA,肾小球毛细血管袢和血管极(Jones 银染)

图3 CNI肾毒性透明样变延伸至动脉中层和节段性肾小球硬化(Jones 银染)

图4 CNI肾毒性结节性透明样变延伸至肾小叶间动脉中层(Jones 银染)

图5 CNI肾毒性结节性透明样变延伸至动脉中层(PAS染色)

图6 CNI肾毒性条状肾间质纤维化(Jones 银染)
病因/发病机制
CNI可促进血管收缩物质的释放,包括内皮素,导致缺血性损伤。入球小动脉血管收缩可导致功能性CNI肾毒性,无形态学变化。CNI也可直接损伤血管内皮、血管平滑肌细胞和肾小管上皮。
鉴别诊断
其他病因引起的肾小管损伤,如渗透性肾小管损伤、缺血性急性肾小管损伤和肾病综合征脂肪尿相关性肾小管损伤,也可导致近端肾小管上皮细胞胞浆空泡化。
须排除抗体介导的排斥反应相关性TMA,通常表现为显著微循环炎症和管周毛细血管C4d亮染,且患者具有供体特异性抗体。导致TMA的其他病因包括:溶血性尿毒症综合征/血栓性血小板减少性紫癜、恶性高血压、复发性疾病和抗磷脂抗体综合征。
高血压和糖尿病相关性血管损伤也可发生小动脉和动脉透明样变。高血压相关性透明样变主要见于内皮下和内膜;但严重高血压者也可出现结节性中层透明样变。糖尿病肾病患者入球小动脉、出球小动脉均可出现透明样变。
确诊要点
◆ CNI暴露
◆ 可无形态学改变(CNI毒性导致血管收缩继而引起肾功能降落)
◆ 结节性透明样变可延伸至小动脉和动脉中层
◆ 条状间质纤维化
◆ 血栓性微血管病变
◆ 肾小管上皮细胞空泡化,大小相等
医脉通编译自:AJKD Atlas of Renal Pathology: Calcineurin Inhibitor Nephrotoxicity. AJKD. 2017,69(5):e21-e22