近来,越来越多关心孩子口腔健康的爸爸妈妈都向我发来问题,问我许多关于宝宝牙齿保护的问题。我把特别集中的一些问题整理了一下,决定在这里每天回答一个小问题,帮助大家增进口腔保护的健康知识,更好地爱护宝宝和家人的口腔健康,拥有一口好牙,绽放自信微笑。
患者提问:鲍医生,我牙齿缝隙大,吃饭经常会塞牙,很多时候刷牙都刷不掉,牙签也不好使,像我这样牙缝大的平时怎么清洁口腔卫生好?

鲍医生:牙齿缝隙大,您可以使用牙线来配合刷牙清洁口腔卫生,牙签安全隐患大,建议尽量不要使用。相比口腔清洁的方法,您更应该到医院做一下牙齿检查,牙齿缝隙大,口腔不洁,容易发生牙周疾病和蛀牙,只有及时帮助牙缝闭合才是最好的办法,还能解决您塞牙的烦恼。
鲍医生:要想解决口腔问题,关键是找出问题的根源,口腔不洁和塞牙都是因为牙缝过大,所以解决牙缝大的问题,其它问题自然也就没了。
下面我们一起来看看造成塞牙的原因与处理方法吗?
1.人一老,牙缝变宽会塞牙
“年纪越大,吃饭越容易塞牙”,这也是人体退化的一个现象。因为人年纪大了之后,牙槽骨吸收,牙龈逐渐萎缩,牙龈乳头畏缩,也会让牙齿松动移位,使牙间隙增宽,自然就容易塞牙的。
2.患有牙病,经常塞牙
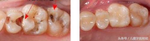
由于塞牙太常见,所以人们往往不会认为塞牙是什么大毛病,不引起重视。实际上,如果你经常塞牙,就应该去看看牙医。几乎所有的龋齿患者都发生过塞牙,其中有一种情况特别难受,就是龋齿发生两颗牙的邻接面,这里有一个龋洞,吃的东西都会塞进去。
针对年轻人来说,长得不好的智齿也是容易发生塞牙的一大原因,因为智齿长得不正,从后往前横着长,它跟前面的牙之间就出现了一道楔形的沟,吃啥塞啥。

下面介绍一下牙缝大的人如何清洁口腔卫生
【牙齿缝隙大的困扰】
牙齿缝隙大给我们带来的困扰,不止是吃饭塞牙,引发负面情绪。口腔不洁是生成蛀牙和牙周病的主要原因,牙缝间的食物残留清理不干净,时间长了,在菌斑的作用下会变坏腐败,造成牙齿邻面龋坏,牙缝变黑。
牙齿缝隙大小不一,牙齿受力不均匀,阻碍咬合、咀嚼功能的正常发挥,饮食和发音都会受到冲击。
口腔异味儿,口腔不洁同样会造成口腔异味儿,食物残留腐坏散发的口腔异味儿。
牙齿只有紧密,才会让人看着舒服。牙齿缝隙大,各个牙缝大小不一,外观上混乱,牙齿整体在视觉上也会变得不整齐,十分影响美观。
尽管正确刷牙和漱口是口腔清洁的最有效方法。但牙刷主要对颊面、唇面、舌面以及咬合面的菌斑去除效果好,不能完全清洁牙间隙的相邻面。要做好牙间隙清洁需要一些能够穿过牙间隙的工具,除了我们常用的牙签如牙线外,还有牙间刷、电动冲牙器等工具,到底哪一种更适合你?专家告诉你应该如何选择—
塞在牙缝中的食物,除了让人感觉不舒服外,更大的害处在于它会给牙菌斑提供营养物质。如不及时清除,牙菌斑很容易钙化,变成牙石积聚在牙根部,压迫和刺激牙周,使牙周萎缩和导致龋齿的发生。
牙签

大部分人剔牙都是使用牙签,但也有人说牙签用多了会使牙缝变大。那么牙签到底适不适合用于清理食物残渣呢?鲍医生介绍,作为最容易获得,且方便携带、使用的工具,牙签其实也是有其优点的,优点可以清洁凹的牙面或牙根分叉区等一般用牙刷及牙线均不能达到的区域。不过牙签比较适合用于牙龈乳头萎缩和间隙增大的情况,年轻健康的人群如果牙龈乳头没有萎缩,牙间隙不大,最好不要使用牙签,避免“牙越剔越稀”。
如何选择:市面上的牙签有多种类型,竹制、木制、橡胶……总的来说分为硬质牙签和软质牙签两种,以木制牙签的使用较为经济和普遍。翁志强介绍,合格的牙签其横断面应呈扁圆形或三角楔形,尖滑无毛刺,质硬而不易折断以减少剔牙时的损伤。
正确用法:使用牙签时应将牙签的头以45度角度慢慢滑行到牙缝内,顺着牙缝剔。如果是上面的牙齿应向下外侧剔拔,而下面的牙齿则向上外侧剔拔,如果是纤维食物塞住的情况,可以用“穿刺”的动作来剔牙。
医生提醒:牙签尖用力压入牙间乳头区,会造成原先并不存在的空隙,日久空隙变得更大,也就是长期使用牙签剔牙后感觉到“牙缝越来越大”。因此使用牙签时动作要轻柔,以免损伤龈乳头或刺伤牙龈软组织,引起局部感染。
牙线

近年来,牙线的使用越来越广泛。其实牙线的确是洁牙的“好帮手”,其纤维松散,在使用时纤维可四面散开容易穿过牙齿间隙,且不易伤及牙龈。翁志强介绍,牙线用来清洁牙的邻面菌斑很有效,特别是对平的或凸的牙面最好,年轻、老人均可以选用,尤其是患有牙周病的患者建议用作日常口腔清洁工具。牙线的好处是长期使用不会伤牙,当然也不会扩大牙缝。
如何选择:牙线是用尼龙线、丝线或涤纶线制成,有含蜡或不含蜡,也有含香料或含氟牙线。可根据个人需求选择,值得关注的是,不同厂家的牙线粗细不同,根据自己的牙缝疏密来选择适合的牙线。如果手指缠线操作不灵活,或者张口有困难,可购买“牙线签”,前端是一个弓形的架子,上面有段牙线,操作起来比较方便。
正确用法:牙线一般是盒装,使用牙线时拉下一段,将线的两端绕在两手中指上,两指控制牙线的距离一般不超过3厘米,用右手大拇指及左手食指绷紧牙线,然后把牙线放入相邻的牙缝中,缓慢通过接触点到牙齿根部近牙龈处,牙线紧贴牙面做上下移动或来回拉动,每一牙面建议上下刮4-6次,再在另一侧的牙面重复,速度不需要太快。值得关注的是,将牙线从牙邻面放入牙间时不要硬压入,以免压伤引起牙龈疼痛出血较多情况。
牙线清洁牙面后要彻底漱口清洁。如果是牙周炎患者,建议使用牙线前要到医院进行牙周基础治疗。去除牙周龈上、龈下结石,牙齿邻面有补牙物悬突要先磨光,使补牙物与牙齿的解剖外形一致,避免悬突补牙物钩住牙线使牙线磨损而容易拉断,损伤牙龈。
医生提醒:如果你还没有使用牙线的习惯,还是建议每周至少使用两次牙线洁齿。最好的清洁情况当然是每日早晚各一次。
另外还有牙间刷,电动冲牙器等,关注使用方法,别伤到牙齿。我们最容易拿到的还是牙线,所以首推牙线。
同时天天剔牙是很辛苦的。所以很多人出现塞牙问题,到医院后去问解决办法。医生都没什么好办法,甚至有些人误传:塞牙没法治。

鲍医生告诉我们:所有的塞牙都可以治。现在有些教科书上也说有些塞牙没法治,其实有误区。
一,塞牙的一种治疗方法是填充。如果牙与牙之间有牙缝儿,不管是天生的,还是龋坏的,用专门的材料填上就可以了。
二,咬合调整可治疗塞牙
另一种方式是咬合调整。如果相邻的两颗牙看起来没什么缝,但还是塞牙,就要去调整它的咬合关系,让你在吃东西的时候,上下牙之间不会因为互相推动的力量而产生缝隙。消除牙齿之间的牙缝儿力量
三,就是消除牙齿之间那些推来推去推出牙缝儿的力量。通常百分之七八十的塞牙都发生在最后面的两颗大牙处。因为最后的那颗牙无依无靠,对面牙一用力就把他推了进去,牙缝就出来了。这时只要改一改牙面上的沟槽,给咬合的力量改个方向,问题就解决了。
口腔问题的关键是要找出根源,单纯清洁口腔卫生和异味儿,口腔隐患依然存在,还会反复发作,易发其它的口腔问题,因此,如何能闭合过大的牙缝才是最重要的。
鲍医生提醒,牙齿缝隙大对我们的面目美观,吃饭咀嚼,发音说话,口腔卫生都会造成极大的负面影响,长期以往会诱发更多的口腔问题,希望牙齿缝隙大的人都能重视自己的牙齿,及早修复牙缝大的隐患。
